
Ayesha Baig MD MSc FRCPC
@abaigmd
#Cytopath Fellow @UCalgary, Global health Ambassador @ASC; APResident @McgillU, poet and script writer; passion for teaching, patient advocacy and philanthropy.
ID: 1336110074801106959
08-12-2020 00:47:53
99 Tweet
260 Followers
127 Following



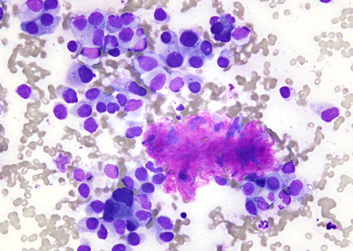
A044. Clear cell thyroid carcinoma. Reference article: doi.org/10.1111/cyt.12… #CytoJ #CytoJQuiz #thyroid #thyroidcancer #thyroidpath Pepe Jiménez Heffernan



Thank you for attending our #JASCChat #ASCejournalchat tonight! We would like to thank our authors for joining in! Dr. Bui Pathologist🌼 Evita Henderson Jackson MD Syeda Mahrukh Naqvi MD, MPH ! Do not forget to register/attend tomorrow’s live journal webinar at 1pm EST. Registration link: register.gotowebinar.com/register/24745…



💉🫁#EBUSFNA #cytology of 71 yo male w/ Mediastinal lymphadenopathy (high #FDGPET uptake) without pulmonary nodule 🔬🥑Nice central macronucleoli 🎬NKX3.1 positive confirms diagnosis: Recurrence of prostate ACa 10 years after diagnosis. #cytopath Jose A. Espinoza







Calling Global Pathologists: this webinar series will provide an understanding of the CAP cancer protocols, including development, application, and case studies on integration. Click here to register for this free webinar: cap.org/calendar/cap-f… cc: Maya Ogden Eva Wojcik, MD







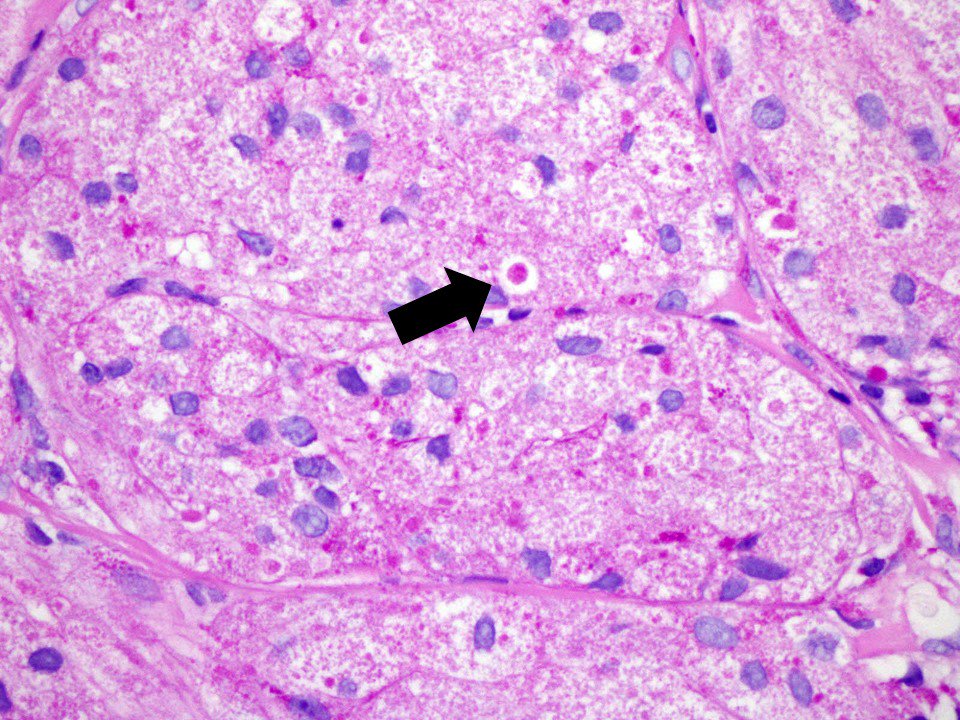
Pustulo-ovoid bodies of Milian granular cell tumor #pathology #SurgPath #bstpath Marypoppins Laura G. Pastrián MD Dr Phil Bryant ncbi.nlm.nih.gov/pubmed/17448196
