Vascular Institute of Atlantic Medical Imaging (@ami_vascular) 's Twitter Profile
Vascular Institute of Atlantic Medical Imaging

@ami_vascular

Vascular Institute of Atlantic Medical Imaging. Drs. Nick Petruzzi, Raj Patel, Mike Schmidling, Chris Kim, Jacinto Camarena, and Mike Watts

ID: 1119756389444923392

linkhttp://www.vi-ami.com calendar_today21-04-2019 00:15:02

21 Tweet

183 Followers

143 Following

Mike Watts (@watts_ir) 's Twitter Profile Photo

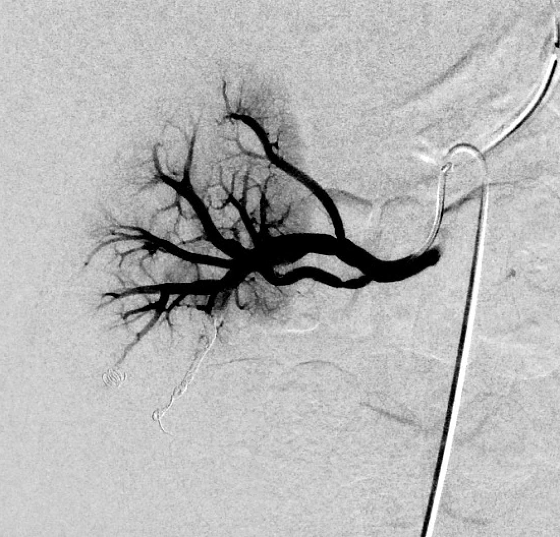
Huge renal PSA 9 days post pNX w/ persistent hematuria. Coiling starts in the outflow! Back door --> Front door or risk continued bleeding! Double team w/ Christopher Kim #ImpeccableCoilTechnique #SoMuchKidneyLeft! #iRad Vascular Institute of Atlantic Medical Imaging @AMIRadiology @MdPetruzzi Alexandria CVIR @ABrandisVIR

Huge renal PSA 9 days post pNX w/ persistent hematuria.  Coiling starts in the outflow!  Back door --&gt; Front door or risk continued bleeding! Double team w/ <a href="/cek_VIR/">Christopher Kim</a> #ImpeccableCoilTechnique #SoMuchKidneyLeft! #iRad <a href="/AMI_Vascular/">Vascular Institute of Atlantic Medical Imaging</a> @AMIRadiology @MdPetruzzi <a href="/AlexCVIR/">Alexandria CVIR</a> @ABrandisVIR
Mike Watts (@watts_ir) 's Twitter Profile Photo

Why do #CLIFighters do what we do? Antegrade/retrograde pop, pero, and PT recan with excellent supply to DP. Baseline, 2 week, 4 week pics. Now getting 2 toe amps instead of BKA. Life changing! Vascular Institute of Atlantic Medical Imaging @MdPetruzzi @AMIRadiology CLI Global Society AMP the CLTI Meeting Kumar Madassery Sabeen Dhand

Why do #CLIFighters do what we do? Antegrade/retrograde pop, pero, and PT recan with excellent supply to DP. Baseline, 2 week, 4 week pics. Now getting 2 toe amps instead of BKA. Life changing! <a href="/AMI_Vascular/">Vascular Institute of Atlantic Medical Imaging</a> @MdPetruzzi @AMIRadiology <a href="/CLI_Global/">CLI Global Society</a> <a href="/AMPSymposium/">AMP the CLTI Meeting</a> <a href="/kmadass/">Kumar Madassery</a> <a href="/SDhandMD/">Sabeen Dhand</a>
Amit Bhakoo (@indoventional) 's Twitter Profile Photo

Aawesome and inspiring story of how a mechanic in Cleveland went back to school to become a physician..props to Mike Watts for being this man’s inspiration to go into medicine (and for being able to teach a semester long college class while in residency) cleveland.com/tipoff/2019/07…

Mike Watts (@watts_ir) 's Twitter Profile Photo

Congrats are in order for @MdPetruzzi for pulling off the 5th annual Vascular Institute of Atlantic Medical Imaging Flow to the Toe CME Conference including live case from Dr . Raj Patel, talks from IR, IC, VS, pain mngmt, pod, and wound care. Unbelievable job. Hard work paid off! #CLIFighters

Congrats are in order for @MdPetruzzi for pulling off the 5th annual <a href="/AMI_Vascular/">Vascular Institute of Atlantic Medical Imaging</a> Flow to the Toe CME Conference including live case from Dr . Raj Patel, talks from IR, IC, VS, pain mngmt, pod, and wound care. Unbelievable job. Hard work paid off! #CLIFighters
Mike Watts (@watts_ir) 's Twitter Profile Photo

9 y/o Trapease with sudden thrombosis of both legs to the ankles. Give me some @MdPetruzzi and Zelante to clear it all out, a dry-seal sheath to #GTFO, Philips Healthcare IVUS, with Vici and Wallstent to clean up the mess. Single session marathon! Jeff Mirviss #irad #5AccessSites

9 y/o Trapease with sudden thrombosis of both legs to the ankles. Give me some @MdPetruzzi and Zelante to clear it all out, a dry-seal sheath to #GTFO, <a href="/PhilipsHealth/">Philips Healthcare</a> IVUS, with Vici and Wallstent to clean up the mess. Single session marathon! <a href="/bsc_pi/">Jeff Mirviss</a> #irad #5AccessSites
Elliot K Fishman / CTisus.com (@ctisus) 's Twitter Profile Photo

This amazing document was provided by Ana Kolansky and her team and Harold Litt and his team at the University of Pennsylvania. We hope you find it helpful. We thank them for sharing it with us to share with you. #Covid_19 #medtwitter #foamrad

This amazing document was provided by Ana Kolansky and her team and Harold Litt and his team at the University of Pennsylvania. We hope you find it helpful. We thank them for sharing it with us to share with you. #Covid_19 #medtwitter #foamrad
Mike Watts (@watts_ir) 's Twitter Profile Photo

Instructional recent case showing devastating effect of loss of neuroprotection and tibial artery disease in young diabetic. 20 minutes case will hopefully have a long lasting impact working hand in hand with my podiatry colleague. #CLIFighters #IRAD SIR RFS Kumar Madassery Mark Lessne, MD

Instructional recent case showing devastating effect of loss of neuroprotection and tibial artery disease in young diabetic. 20 minutes case will hopefully have a long lasting impact working hand in hand with my podiatry colleague. #CLIFighters #IRAD <a href="/SIRRFS/">SIR RFS</a> <a href="/kmadass/">Kumar Madassery</a> <a href="/LessneVIR/">Mark Lessne, MD</a>
Ryan Morrison DO (@dr_ryanmorrison) 's Twitter Profile Photo

Check out this DETOUR like procedure using off-the-shelf equipment from @MdPetruzzi and Mike Watts! A PTFE conduit bypassed the proximal SFA -> femoral vein -> popliteal vein -> posterior tibial vein -> into the PTA bit.ly/30qVArD Vascular Institute of Atlantic Medical Imaging SIR RFS Society of Interventional Radiology

Check out this DETOUR like procedure using off-the-shelf equipment from @MdPetruzzi and <a href="/Watts_IR/">Mike Watts</a>! A PTFE conduit bypassed the proximal SFA -&gt; femoral vein -&gt; popliteal vein -&gt; posterior tibial vein -&gt; into the PTA bit.ly/30qVArD 

<a href="/AMI_Vascular/">Vascular Institute of Atlantic Medical Imaging</a> <a href="/SIRRFS/">SIR RFS</a> <a href="/SIRspecialists/">Society of Interventional Radiology</a>
Mike Watts (@watts_ir) 's Twitter Profile Photo

First 🇺🇸 case with Philips Healthcare 1.5 Phoenix atherectomy. Ca++ occluded CFAs preclude access. Iliac occlusion treated transradial. 4Fr access to PT with 1.5 Phoenix making short work of tibial calcium. Restored three vessels to the wound. #irad #CLIfighters #HumbledandHonored

First 🇺🇸 case with <a href="/PhilipsHealth/">Philips Healthcare</a> 1.5 Phoenix atherectomy.  Ca++ occluded CFAs preclude access.  Iliac occlusion treated transradial. 4Fr access to PT with 1.5 Phoenix making short work of tibial calcium.  Restored three vessels to the wound. #irad #CLIfighters #HumbledandHonored
Austin Bourgeois (@austinbourgeois) 's Twitter Profile Photo

Clinically submassive saddle PE removed intact w a single pass - one of the few times I thought to catch on video! Systolic PAP ⬇️ 21mmHg. Discharged 2 days later Ps- I’m told this is our group’s 500th mech thrombectomy case! 🎉 #iRad

Bill Beckerman (@billbeckerman) 's Twitter Profile Photo

That’s a wrap on the 45th Annual VSNJ mtg. What a day w/ incoming President Elliot B. Sambol, MD! @MdPetruzzi gave a great primer on #DVA for no-option #CLI. Dan Fremed won the #PE tx debate with his passionate case for Inari, now part of Stryker thrombectomy. (And great to see friends from across NJ!)

That’s a wrap on the 45th Annual VSNJ mtg. What a day w/ incoming President <a href="/esambolmd/">Elliot B. Sambol, MD</a>! @MdPetruzzi gave a great primer on #DVA for no-option #CLI. <a href="/DanFremed/">Dan Fremed</a> won the #PE tx debate with his passionate case for <a href="/InariMedical/">Inari, now part of Stryker</a> thrombectomy. (And great to see friends from across NJ!)
AHA Peripheral Vascular Disease Council (@pvdcouncil) 's Twitter Profile Photo

With only ⚠️19 days⚠️ left to apply in the 2023 #FAHA cycle, today’s PVD Council showcase features @MdPetruzzi. Dr. Petruzzi is a vascular interventional radiologist & director at Vascular Institute of Atlantic Medical Imaging, specializing in #CLI and #limbsalvage.

With only ⚠️19 days⚠️ left to apply in the 2023 #FAHA cycle, today’s PVD Council showcase features @MdPetruzzi. 

Dr. Petruzzi is a vascular interventional radiologist &amp; director at <a href="/AMI_Vascular/">Vascular Institute of Atlantic Medical Imaging</a>,  specializing in #CLI and #limbsalvage.