Amanda Ireland (@amandaireland1) 's Twitter Profile
Amanda Ireland

@amandaireland1

Anatomical pathologist and cytopathologist with special interest in Dermatopathology (RCPA post graduate diploma of Dermatopathology)

ID: 291625768

calendar_today02-05-2011 10:35:06

3,3K Tweet

990 Followers

618 Following

Charles Herndon (@drcyclopath) 's Twitter Profile Photo

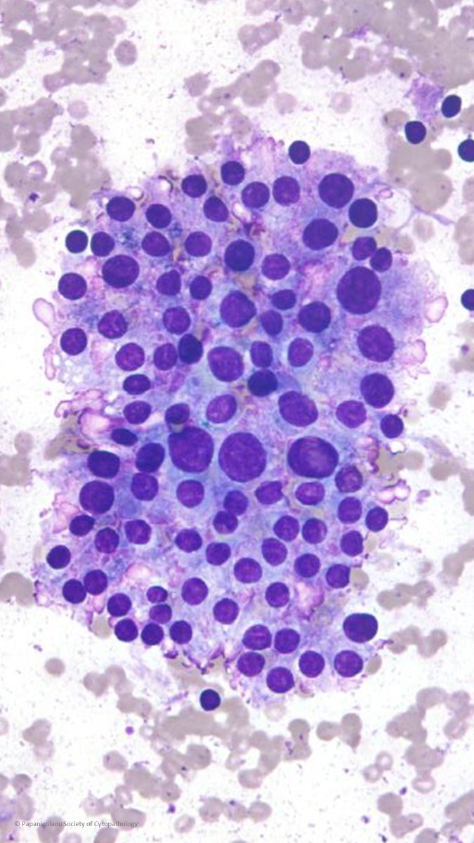
FNA from a diffusely enlarged thyroid in a 30-year-old female. What is your interpretation?🧐 A) Non-Diagnostic B) Benign C) Follicular neoplasm D) Atypia of undetermined significance (AUS) #CytoPath #PathTwitter #Pathology

FNA from a diffusely enlarged thyroid in a 30-year-old female. 
What is your interpretation?🧐
A) Non-Diagnostic
B) Benign
C) Follicular neoplasm
D) Atypia of undetermined significance (AUS)
#CytoPath #PathTwitter #Pathology
Charles Herndon (@drcyclopath) 's Twitter Profile Photo

43F, left facial mass. FNA reveals one hyaline globule. What is your interpretation?🧐 A) Non-Diagnostic B) Neoplasm - Benign C) Suspicious for malignancy #pathology #cytopath #pathtwitter

43F, left facial mass.
FNA reveals one hyaline globule.
What is your interpretation?🧐
A) Non-Diagnostic
B) Neoplasm - Benign
C) Suspicious for malignancy
#pathology #cytopath #pathtwitter
Charles Herndon (@drcyclopath) 's Twitter Profile Photo

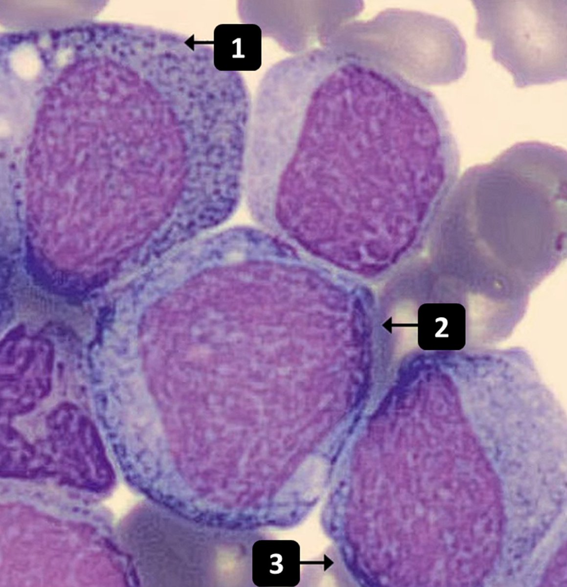
3 cells, can you get them all right!? What is cell #1? A) Myeloblast B) Promyelocyte C) Myelocyte D) Metamyelocyte #HemePath #Hematology #pathology #PathTwitter

3 cells, can you get them all right!? 
What is cell #1? 
A) Myeloblast 
B) Promyelocyte
C) Myelocyte
D) Metamyelocyte
#HemePath #Hematology #pathology #PathTwitter
Charles Herndon (@drcyclopath) 's Twitter Profile Photo

Part 1 of 2: Voided urine, interpretation? A) Negative for high grade B) Atypical urothelial cells #GUPath #PathTwitter #CytoPath #Pathology

Part 1 of 2: Voided urine, interpretation?
A) Negative for high grade
B) Atypical urothelial cells
#GUPath #PathTwitter #CytoPath #Pathology
Charles Herndon (@drcyclopath) 's Twitter Profile Photo

#1 of 2 Macule on the cheek. Diagnosis? A) Solar lentigo B) Lentigo simplex C) Junctional nevus #DermPath #PathTwitter #Pathology

#1 of 2
Macule on the cheek. Diagnosis?
A) Solar lentigo
B) Lentigo simplex
C) Junctional nevus
#DermPath #PathTwitter #Pathology
Dr Travis Brown 🎧 (@drtravisbrown) 's Twitter Profile Photo

Episode 76: Osteoporosis | Blasts and clasts This is the story of osteoporosis This Medical Life podcast on all podcast services & Spotify Our guests: Dr Alecia Macrow: GP Dr Nick Kasmeredis: Endocrinologist Dr Steve Soukoulis: Periodontist

Episode 76: Osteoporosis | Blasts and clasts

This is the story of osteoporosis

This Medical Life podcast on all podcast services & Spotify

Our guests:
Dr Alecia Macrow: GP
Dr Nick Kasmeredis: Endocrinologist
Dr Steve Soukoulis: Periodontist
Charles Herndon (@drcyclopath) 's Twitter Profile Photo

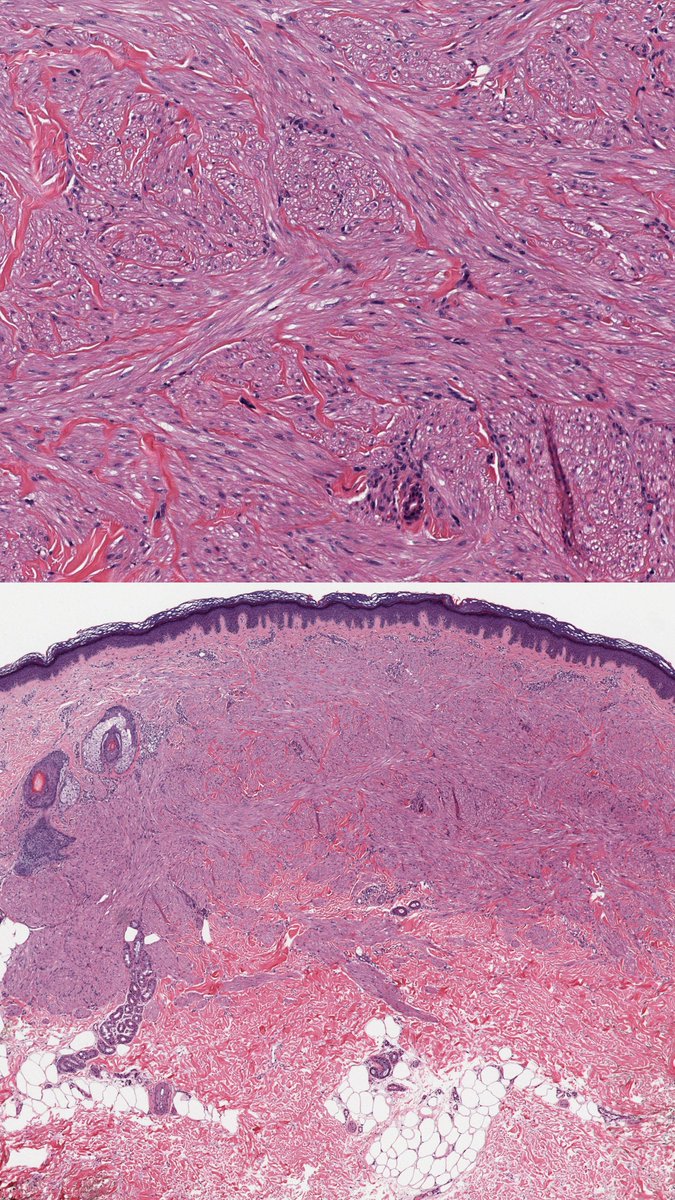
#1 of 3 spindle cell lesions: cutaneous _____ A) neurofibroma B) schwannoma C) leiomyoma D) something else πŸ”¬dpa-dapa.com/public/display… #BSTPath #PathTwitter #Pathology #DermPath

#1 of 3 spindle cell lesions: cutaneous _____
A) neurofibroma
B) schwannoma
C) leiomyoma
D) something else
πŸ”¬dpa-dapa.com/public/display…
#BSTPath #PathTwitter #Pathology #DermPath
Allison Osmond MD MSc FRCPC πŸ•Š 🌎 πŸ•Š (@redsnapperpath) 's Twitter Profile Photo

πŸ‘€ πŸ‘€πŸ‘€πŸ‘€πŸ‘€πŸ‘€ CSDP APRIL 1st @ 1 PM EASTERN TIME ✍️✍️✍️✍️✍️ join us after #USCAP2025 #USCAP25 #USCAP to test your knowledge #dermpath USCAP American Society of Dermatopathology International Society of Gynecologic Pathologists International League of Dermatological Societies Int Soc Dermpath IntSocDerm #PathTwitter #dermatologia #dermtwitter #pathologic

Kaitlin Vanderbeck, MD, FRCPC, FCAP, FASDP (@kaitvanderbeck) 's Twitter Profile Photo

Come one come all to this CSDP zoominar with the legendary and amazing Dr. Priya Nagarajan!! Requirements: Dermpath expert ❌ Dermpath enthusiast βœ… #dermpath #pathtwitter #dermtwitter

Charles Herndon (@drcyclopath) 's Twitter Profile Photo

Bronchial nodule in a 20-year-old 🚭 What is it ? 🧐 A) Adenocarcinoma B) Squamous cell carcinoma C) Both D) Neither #PathSky #PathTwitter #Pathology #CytoPath

Bronchial nodule in a 20-year-old 🚭

What is it ? 🧐

A) Adenocarcinoma 
B) Squamous cell carcinoma
C) Both
D) Neither
#PathSky #PathTwitter #Pathology #CytoPath
Allison Osmond MD MSc FRCPC πŸ•Š 🌎 πŸ•Š (@redsnapperpath) 's Twitter Profile Photo

mirror mirror on the wall, who knows a practical approach to lymphoid infiltrates of them all? πŸͺž πŸͺž 😩 😩😩 Join the CSDP on April 16 @ 1 pm to get you out of shit creek! 🚣🚣🚣🚣🚣 #CSDP #Zoominar #dermpath #dermtwitter #PathTwitter #pathboards #pathresidents #CME #pathology

mirror mirror on the wall, who knows a practical approach to lymphoid infiltrates of them all? πŸͺž πŸͺž 😩 😩😩 Join the CSDP on April 16 @ 1 pm to get you out of shit creek! 🚣🚣🚣🚣🚣 #CSDP #Zoominar #dermpath #dermtwitter #PathTwitter #pathboards #pathresidents #CME #pathology
Charles Herndon (@drcyclopath) 's Twitter Profile Photo

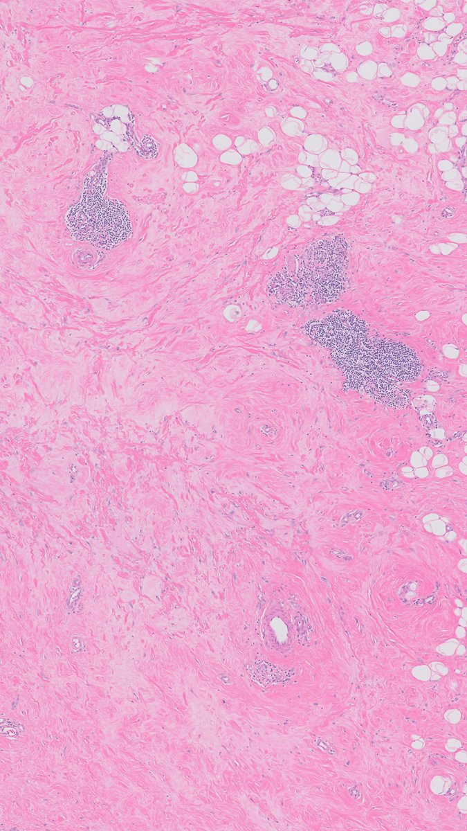
Breast biopsy shows epithelioid cells, dense collagen, and lymphocytic aggregates. What could it be?🧐🧐 A) Myofibroblastoma B) Fibroadenoma C) Lymphocytic mastopathy D) Fibromatosis #BreastPath #Pathology #PathTwitter| πŸ”¬ learn.mghpathology.org/index.php/DZI1…

Breast biopsy shows epithelioid cells, dense collagen, and lymphocytic aggregates. 

What could it be?🧐🧐

A) Myofibroblastoma
B) Fibroadenoma
C) Lymphocytic mastopathy
D) Fibromatosis
#BreastPath #Pathology #PathTwitter| 
πŸ”¬ learn.mghpathology.org/index.php/DZI1…
Charles Herndon (@drcyclopath) 's Twitter Profile Photo

Breast core needle biopsy. Diagnosis? A) Myofibroblastoma B) Myoid hamartoma C) Fibrous mastopathy D) Fibromatosis #BreastPath #Pathology #PathTwiter πŸ”¬dpa-dapa.com/public/display…

Breast core needle biopsy. Diagnosis?
A) Myofibroblastoma
B) Myoid hamartoma
C) Fibrous mastopathy
D) Fibromatosis
#BreastPath #Pathology #PathTwiter 
πŸ”¬dpa-dapa.com/public/display…
Dr Travis Brown 🎧 (@drtravisbrown) 's Twitter Profile Photo

Episode 82: Pharmacogenomics | Personalised medicines Our genes affect the way we process different drugs. Pharmacogenomics provides a guide for certain medications. This is the story of pharmacogenomics This Medical Life podcast available on all podcasting services & Spotify

Episode 82: Pharmacogenomics | Personalised medicines

Our genes affect the way we process different drugs. Pharmacogenomics provides a guide for certain medications. 

This is the story of pharmacogenomics

This Medical Life podcast available on all podcasting services & Spotify
Charles Herndon (@drcyclopath) 's Twitter Profile Photo

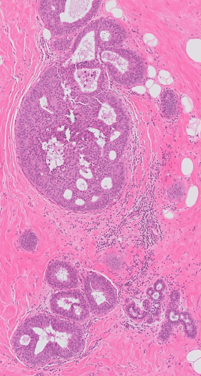
Breast biopsy. What is the most appropriate diagnosis? A) Atypical Ductal Hyperplasia (ADH) B) Ductal Carcinoma In Situ (DCIS), Low Grade C) Usual Ductal Hyperplasia (UDH) D) Flat Epithelial Atypia (FEA) WSI: learn.mghpathology.org/index.php/DZI1… #PathTwitter #Pathology #BreastPath

Breast biopsy.

What is the most appropriate diagnosis?

A) Atypical Ductal Hyperplasia (ADH)
B) Ductal Carcinoma In Situ (DCIS), Low Grade
C) Usual Ductal Hyperplasia (UDH)
D) Flat Epithelial Atypia (FEA)

WSI: learn.mghpathology.org/index.php/DZI1…
#PathTwitter #Pathology #BreastPath
Charles Herndon (@drcyclopath) 's Twitter Profile Photo

A 65-year-old patient undergoes a screening colonoscopy. A flat, 8mm polyp covered by a mucus cap is found in the ascending colon. What's the diagnosis for this right-sided polyp? A) Sessile Serrated Lesion (SSL) B) Hyperplastic Polyp C) Traditional Serrated Adenoma (TSA) D)

A 65-year-old patient undergoes a screening colonoscopy. A flat, 8mm polyp covered by a mucus cap is found in the ascending colon. 
What's the diagnosis for this right-sided polyp?
A) Sessile Serrated Lesion (SSL)
B) Hyperplastic Polyp
C) Traditional Serrated Adenoma (TSA)
D)