MD BABU MIA, PHD (@babuudx) 's Twitter Profile
MD BABU MIA, PHD

@babuudx

Assistant Professor @IcahnMountSinai @MountSinaiNYC ;
@IndianaUniv (alum) ; DM for Collaboration!

ID: 77709481

calendar_today27-09-2009 10:38:13

1,1K Tweet

483 Followers

69 Following

MD BABU MIA, PHD (@babuudx) 's Twitter Profile Photo

The way of research evolving pretty fast! Single thoughts can be expanded with multi-agents! I started a project year ago to explore similar context, but the companies like Anthropic is leading is best way! What a exciting time to live!

MD BABU MIA, PHD (@babuudx) 's Twitter Profile Photo

Can AI build a virtual cell? Ewen Callaway asked the question! My answer is simple, building a virtual cell have 40% to do with AI, but 60% with the effort of compiling all relevant cellular wet lab findings into one integrated digital format! nature.com/articles/d4158…

MD BABU MIA, PHD (@babuudx) 's Twitter Profile Photo

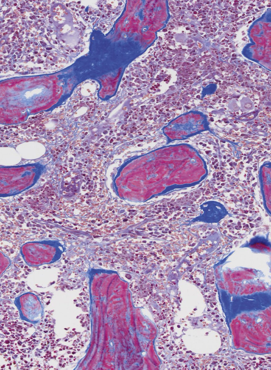
It's absolute please to share our newly minted article at ASH Blood Journals Portfolio . "Thrombocytopenia in #myelofibrosis is characterized by inflammatory megakaryocytes with reduced G6B expression" ashpublications.org/blood/article/…

MD BABU MIA, PHD (@babuudx) 's Twitter Profile Photo

Just wrapped up an unforgettable day at the - "Amazon Web Services Summit New York City" -arguably the world’s premier cloud & AI gathering.! Started with keynote of Swami Sivasubramanian on agentic AI , whole summit was an absolute flow of AI innovation! Thank you for the invitation!

Just wrapped up an unforgettable day at the - "<a href="/awscloud/">Amazon Web Services</a>  Summit New York City" -arguably the world’s premier cloud &amp; AI gathering.! 

Started with keynote of Swami Sivasubramanian on agentic AI , whole summit was an absolute flow of AI innovation! 

Thank you for the invitation!
MD BABU MIA, PHD (@babuudx) 's Twitter Profile Photo

" Building Domain-Tuned Resoning Agentic LLMs on a Personal Computer" I built two fully-local, biomedical reasoning models : Model Bases : 1. Med-Llama-7B-Chat Meta Llama-2-7B ( Meta ) 2. BioGPT-Large BioGPT (Microsoft) OpenAI Anthropic Google Icahn School of Medicine at Mount Sinai

" Building Domain-Tuned Resoning Agentic LLMs on a Personal Computer" 
I built two fully-local, biomedical reasoning models :
Model Bases : 
1. Med-Llama-7B-Chat Meta Llama-2-7B ( <a href="/Meta/">Meta</a>  )
2. BioGPT-Large BioGPT (<a href="/Microsoft/">Microsoft</a>)
<a href="/OpenAI/">OpenAI</a> <a href="/AnthropicAI/">Anthropic</a> <a href="/Google/">Google</a> 
<a href="/IcahnMountSinai/">Icahn School of Medicine at Mount Sinai</a>
MD BABU MIA, PHD (@babuudx) 's Twitter Profile Photo

" Building Personalized​ Biomedical, Clinical and Genomics Agentic LLM ​in Personal Computer​​ " --> Watch the tutorial: youtu.be/zHTrIidTlJ4 Explore code from my GitHub Meta Anthropic OpenAI Groq Inc Icahn School of Medicine at Mount Sinai #Bioinformatics #Genomics #AI #LLM #Gradio

MD BABU MIA, PHD (@babuudx) 's Twitter Profile Photo

"Why Language Models Hallucinate?" An important question explained well by Adam Kalai , Ofir Nachum , @Edwin Zhang of OpenAI & Santosh S. Vempala Recommended reading... cdn.openai.com/pdf/d04913be-3…

MD BABU MIA, PHD (@babuudx) 's Twitter Profile Photo

Thank you Blood Journals Portfolio for making our recent paper figure " Cover Page of Volume 146, Issue 13"! Also, special thanks to Isabelle C. Becker for writing commentary on our recent article at Blood. Cover page link: ashpublications.org/blood/issue/14… Commentary: ashpublications.org/blood/article/…

Thank you <a href="/BloodPortfolio/">Blood Journals Portfolio</a> for making our recent paper figure " Cover Page of Volume 146, Issue 13"!
Also, special thanks to Isabelle C. Becker for writing commentary on our recent article at Blood.
Cover page link: ashpublications.org/blood/issue/14…
Commentary: ashpublications.org/blood/article/…
MD BABU MIA, PHD (@babuudx) 's Twitter Profile Photo

Incase it makes sense, all of my coding setups completed writing in total " One hundred thousands line (100,000) of code" in last 5 days! Living in a different world! Clinical Genomics & Life Science research is going to change rapidly! Thanks Anthropic , OpenAI , Google