Bibi Shazeeda Razak (@bibirazak) 's Twitter Profile
Bibi Shazeeda Razak

@bibirazak

Masters of Science in Clinical Research - Icahn School of Medicine at Mount Sinai | International Medical Graduate | Internal Medicine

ID: 1105533266206035968

calendar_today12-03-2019 18:17:25

2 Tweet

7 Followers

67 Following

DeBakey CV Education - World Class CV Training (@debakeycvedu) 's Twitter Profile Photo

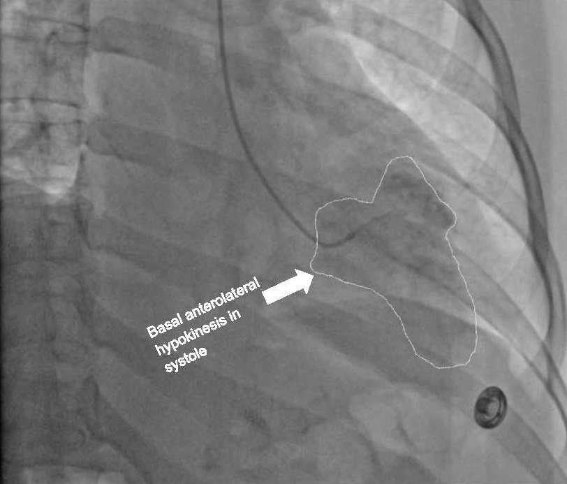
New case report! "A Rare Case of Iatrogenic Inverted Stress Cardiomyopathy” by Drs. Parviz-Ali Lotfian, Arun Umesh Mahtani, Seyed Zaidi, & Richard Grodman RUMC in Staten Island. #cardiotwitter #MedEd #DeBakeyCVJournal doi.org/10.14797/mdcvj…

New case report! "A Rare Case of Iatrogenic Inverted Stress Cardiomyopathy” by Drs. Parviz-Ali Lotfian, Arun Umesh Mahtani, Seyed Zaidi, &amp; Richard Grodman <a href="/RUMCSI/">RUMC</a> in Staten Island. #cardiotwitter #MedEd 

#DeBakeyCVJournal doi.org/10.14797/mdcvj…