Brian K. Goh (@briankgoh) 's Twitter Profile
Brian K. Goh

@briankgoh

Hepatopancreatobiliary & Transplant surgeon, Singapore General Hospital/ National Cancer Center Singapore

ID: 1419127885764337665

calendar_today25-07-2021 02:50:51

14 Tweet

231 Followers

106 Following

SGH HPB & Transplant Surgery (@sgh_hpbtx) 's Twitter Profile Photo

Systematic review showing no difference in learning curves for lap vs robotic panc surgeries: Whipple (34.1 vs 36.7 p=0.82); distal panc (25.3 vs 20.7 p=0.60) surgjournal.com/article/S0039-… SURGERY Journal Zhongkai Wang Nicholas Syn

SGH HPB & Transplant Surgery (@sgh_hpbtx) 's Twitter Profile Photo

Further evidence that minimally invasive liver resection has superior peri-operative outcomes with comparable long-term oncologic outcomes (to open surgery)! pubmed.ncbi.nlm.nih.gov/34061361/ @briankgoh Nicholas Syn

SGH HPB & Transplant Surgery (@sgh_hpbtx) 's Twitter Profile Photo

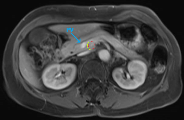
Laparoscopic resection of functioning PNET (red) at the uncinate process between the PV (blue) and SMA. Combined cephalad and caudal approach to uncinate to define transection line (yellow) #SoMe4Surgery

Laparoscopic resection of functioning PNET (red) at the uncinate process between the PV (blue) and SMA. Combined cephalad and caudal approach to uncinate to define transection line (yellow) #SoMe4Surgery
SGH HPB & Transplant Surgery (@sgh_hpbtx) 's Twitter Profile Photo

Better selection of patients and refinement of surgical management over time creates demonstrable improved outcomes after partial hepatectomy for HCC sciencedirect.com/science/articl… @briankgoh Ek Khoon Tan

SGH HPB & Transplant Surgery (@sgh_hpbtx) 's Twitter Profile Photo

Surgery for patients with AJCC T4 HCC from macrovascular invasion cf. adjacent organs/rupture is associated with early recurrence. Pre-op identification selects for those with better survival outcomes! Singapore General Hospital (SGH) yexin_koh Ek Khoon Tan Brian K. Goh #SoMe4HPB sciencedirect.com/science/articl…

Robert Sutcliffe (@liverpancsurg) 's Twitter Profile Photo

Proud to be involved in this international collaboration. Great leadership from Brian K. Goh Propensity score-matched analysis comparing robotic versus laparoscopic right posterior sectionectomy academic.oup.com/bjs/advance-ar… Prashant Kadam Mathieu D’Hondt MD, PhD Nicholas Syn BJS IHPBA

STITCHES - the Best Papers in General Surgery (@stitchestoday) 's Twitter Profile Photo

🎯left lateral sectionectomy 🥊Robotic🤖 VS Laparoscopic🔭 🥇Robotic: ⬇️open conversion rates and blood loss 🟰 Operating time, length of stay, morbidity and mortality Chong Y (...) Brian K. Goh Surgical Endoscopy link.springer.com/article/10.100…

SGH HPB & Transplant Surgery (@sgh_hpbtx) 's Twitter Profile Photo

Here’s a publication from our dept showing that major MIS-HPB surgery is possible even after recent major abdominal surgery in the same region! Lap completion pancreatectomy after RAL-whipples 🎉💪 video in supp section! Annals of Surgical Oncology #SoMe4Surgery link.springer.com/article/10.124…

Steven D Wexner MD, PhD (@swexner) 's Twitter Profile Photo

Impact of body mass index on perioperative outcomes of laparoscopic major hepatectomies - ⁦SURGERY Journal⁩ ⁦AHPBA⁩ ⁦E-AHPBA⁩ ⁦IHPBA⁩ surgjournal.com/article/S0039-…

Giovanni Marchegiani (@gio_marchegiani) 's Twitter Profile Photo

Early stage oligo nodular 🫧 HCC (BCLC A) 🔪 Liver resection 🤜🤛 radiofrequency ablation or trans arterial chemoembolization 💥 📈 Despite not indicated as per BCLC, resection had better survival 🪜Therapeutic hierarchy concept should be applied! academic.oup.com/bjsopen/articl…

Early stage oligo nodular 🫧 HCC (BCLC A)

🔪 Liver resection 🤜🤛 radiofrequency ablation or trans arterial chemoembolization 💥

📈 Despite not indicated as per BCLC,  resection had better survival 

🪜Therapeutic hierarchy concept should be applied! 

academic.oup.com/bjsopen/articl…