Cleveland Clinic MD (@cleclinicmd) 's Twitter Profile
Cleveland Clinic MD

@cleclinicmd

News and insights for physicians and clinical professionals from @ClevelandClinic. Research, case studies and CME opportunities.

ID: 17442457

linkhttp://consultqd.clevelandclinic.org/ calendar_today17-11-2008 14:46:49

50,50K Tweet

295,295K Followers

1,1K Following

Cleveland Clinic MD (@cleclinicmd) 's Twitter Profile Photo

Empowering individuals with the ability to self-test for cervical cancer can lead to earlier diagnosis and improved outcomes. This innovative approach enhances accessibility to screening, making it easier for people to take charge of their health and well-being:

Cleveland Clinic MD (@cleclinicmd) 's Twitter Profile Photo

A preclinical study shows why it’s critical to consider sex in eye disease research. Retinas in males have a different protein makeup than in females: cle.clinic/3EPPqZp

Cleveland Clinic MD (@cleclinicmd) 's Twitter Profile Photo

A 40-year-old man presented with inflammatory arthritis, rash, facial swelling, abdominal pain and weight loss: cle.clinic/3uHBbAQ

Cleveland Clinic MD (@cleclinicmd) 's Twitter Profile Photo

Obesity affects about one in five U.S. children and adolescents, and obesity rates continue to increase for those age 12 and older. Innovative approaches are transforming the way we understand and treat adolescent obesity. Discover the latest advancements in care and support

Obesity affects about one in five U.S. children and adolescents, and obesity rates continue to increase for those age 12 and older. 

Innovative approaches are transforming the way we understand and treat adolescent obesity. 

Discover the latest advancements in care and support
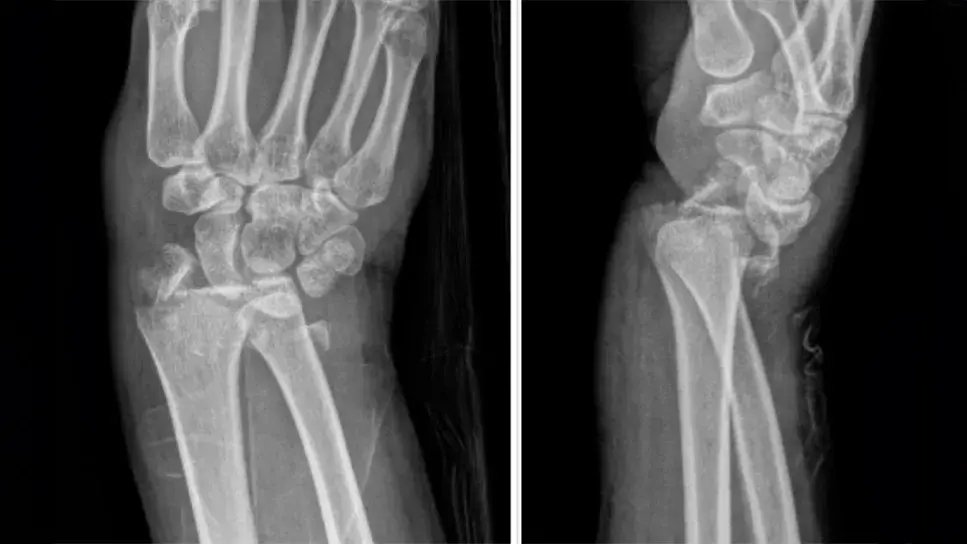
Cleveland Clinic MD (@cleclinicmd) 's Twitter Profile Photo

Treatment for wrist fractures depends on the nature and severity of injury. A hand and wrist surgeon explains the variations: cle.clinic/3WXz3k0

Treatment for wrist fractures depends on the nature and severity of injury. A hand and wrist surgeon explains the variations: cle.clinic/3WXz3k0
Cleveland Clinic MD (@cleclinicmd) 's Twitter Profile Photo

Integrated care models are proving invaluable for patients with Alzheimer's disease, offering a comprehensive approach that addresses both medical and psychosocial needs. This holistic strategy ensures that patients receive coordinated and continuous care, enhancing their quality

Cleveland Clinic MD (@cleclinicmd) 's Twitter Profile Photo

Recent study finds bladder-sparing treatment for nonmuscle invasive bladder cancer with variant histology effective in most cases, opening doors for personalized cancer care: cle.clinic/3OfE9Di

Cleveland Clinic MD (@cleclinicmd) 's Twitter Profile Photo

Explore practical approaches to managing the psychological symptoms of dementia. Learn how to improve the well-being of both patients and caregivers through effective strategies and support: cle.clinic/4i08Id5

Cleveland Clinic MD (@cleclinicmd) 's Twitter Profile Photo

A first-ever classification of tuberous sclerosis complex into 4 distinct subtypes promises to guide future disease surveillance, treatment strategies and clinical trial design: cle.clinic/43CIp8X

Cleveland Clinic MD (@cleclinicmd) 's Twitter Profile Photo

A 13-year-old girl was told she needed immediate surgery to remove a noncancerous facial nerve tumor. This would prevent later complications but also paralyze the left side of her face. Learn how a novel approach helped preserve her smile: cle.clinic/3E4Y1XM

Cleveland Clinic MD (@cleclinicmd) 's Twitter Profile Photo

Recent study compared outcomes of people who replaced the prandial insulin component of their daily injection regimen with a weekly semaglutide: cle.clinic/3RhumPa

Cleveland Clinic MD (@cleclinicmd) 's Twitter Profile Photo

Study uncovered proteomic signatures associated with frailty and mortality risk in older adults undergoing TAVR finding age is not a primary determinant of frailty: cle.clinic/3wplpLP

Cleveland Clinic MD (@cleclinicmd) 's Twitter Profile Photo

We are participating in new research that centers on the use of engineered T cells to support the immune system in directly targeting ovarian cancer cells: cle.clinic/4ahUSyw

Cleveland Clinic MD (@cleclinicmd) 's Twitter Profile Photo

New approvals of the first transcatheter tricuspid valve therapies underscore that the heart team required for tricuspid care is even a bit broader than what's needed for aortic or mitral valve care: cle.clinic/4bgcr3c

Cleveland Clinic MD (@cleclinicmd) 's Twitter Profile Photo

A 50-year-old male presented with intermittent headaches, forgetfulness, cognitive and personality changes and right upper/lower extremity weakness: cle.clinic/43ZBHXJ

A 50-year-old male presented with intermittent headaches, forgetfulness, cognitive and personality changes and right upper/lower extremity weakness: cle.clinic/43ZBHXJ
Cleveland Clinic MD (@cleclinicmd) 's Twitter Profile Photo

The opioid epidemic continues to evolve, posing complex challenges to public health, healthcare systems, and communities. An expert discusses current progress in response efforts, the ongoing burden of opioid use disorder and the need for coordinated, data-informed solutions:

Cleveland Clinic MD (@cleclinicmd) 's Twitter Profile Photo

A historic transcontinental high-intensity focused ultrasound procedure marks a leap forward in how expert care can be delivered remotely. This case signals a new era in global, technology-enabled surgical collaboration. More about this first-of-its-kind procedure:

Cleveland Clinic MD (@cleclinicmd) 's Twitter Profile Photo

Researchers have demonstrated that adding a figure-of-8 stitch to conventional bicuspid aortic valve repair methods is safe and achieves good long-term outcomes: cle.clinic/3Pc6QBZ

Cleveland Clinic MD (@cleclinicmd) 's Twitter Profile Photo

New findings suggest that bariatric surgery can effectively alleviate or improve symptoms related to idiopathic intracranial hypertension: cle.clinic/3EJISLO

Cleveland Clinic MD (@cleclinicmd) 's Twitter Profile Photo

Large, genetically diverse study of Parkinson's disease to date identifies 12 novel loci containing nearly 25 associated genes: cle.clinic/48uNRu1