Mariana Dalaqua | MD, CHM, EDiNR, EDiPNR, EDiHNNR
@dalaquamd
Neuro & HN Rad🇨🇭 • Former #NeuroRad Academic Director & Prof of Neuroanatomy @hosp_einstein - #1 in 🇧🇷 • @NEUROsky_med • @health4theworld🇨🇭 • 💘#MedEd
ID: 419048951
http://linkedin.com/in/mariana-dalaqua-md-chm-mrcr-6378452b 22-11-2011 22:00:28
681 Tweet
587 Followers
700 Following
Very happy to share our new study, out now on Stroke AHA/ASA DWI lesion reversal is definitely a thing! It is a sign of successful MT and predicts good functional outcomes, no matter the age! Marco Pasi Charlotte Cordonnier Laurent Puy Martin Bretzner Gregoire Boulouis
Please join & RT 🙏 John W Ibrahim MD Roser Porta karen read💙 Praveen Mariana Dalaqua | MD, CHM, EDiNR, EDiPNR, EDiHNNR @jdhammondMD Joanna Seliga
Mark your calendars - the 36th ENRS Annual Meeting will be Four Seasons Hotels in Georgetown, Washington DC. August 8-11, 2024. New ideas in interesting sessions, sneak previews upcoming, don't miss it! #ENRS2024 #Neuroradiology #Neurorad
Honored to present LASTE results SLICE - Worldwide / Next Frontiers / Workshops together with Montpellier Team Cases Caroline Arquizan lapergue Bertrand, MD, PhD. Strong benefit of thrombectomy within 7 hrs in unlimitedly large core.NNT 4.Equal benefit in ASPECTS 0-2 vs 3-5 & lower mortality. No more reasons to exclude pts based on imaging !!
Meta-Analysis shows: Combination of #thrombolysis and subsequent #thrombectomy only superior to thrombectomy alone if thrombolysis starts very early after onset of symptoms. Read more: jamanetwork.com/journals/jama/… Urs Martin Fischer Johannes Kaesmacher Universität Bern Faculty of Medicine, University of Bern
Thanks to Dr.Yoshimi Anzai for her lecture on #Imaging of #Cervical #LymphNodes at the #Health4theworld International Grand rounds. Check it out on YouTube: buff.ly/3SvUC87 #meded #medtwitter #radxx #HNrad University of Utah Health UofURadiology #Radres #medstudenttwitter
In #stroke, LESS imaging is BETTER for the patient. Great session from Dr. Wim van Zwam in keeping with my previous talks in Brazil. Share! Correlated video on Felice D'Arco YT channel. #neurorad #neurology #ECR2024 #noLVOleftbehind #goopenthevessel
Yup, we’ve said it….current #AI does not significantly improve today’s radiology. Keep the bigger picture in mind; healthcare accessibility for all. European Radiology open-acces preview 👉 rdcu.be/dADrF Hugh Harvey #radiology #AI
CT Selected Thrombectomy vs Medical Management for Late Anterior LVO Raul G Nogueira, MD, FAHA, FSVIN MMQ Mohamad AbdalKader Simon Nagel RaymondJeanMD Volker Puetz Sunil Sheth, MD Marc Marta Olivé Gadea Tudor G. Jovin, MD Jim Siegler (@jimsieglermd.bsky.social now) Diogo Haussen Mahmoud H. Mohammaden Cerebrovascular & Neurointerventional Lab neurology.org/doi/10.1212/WN…
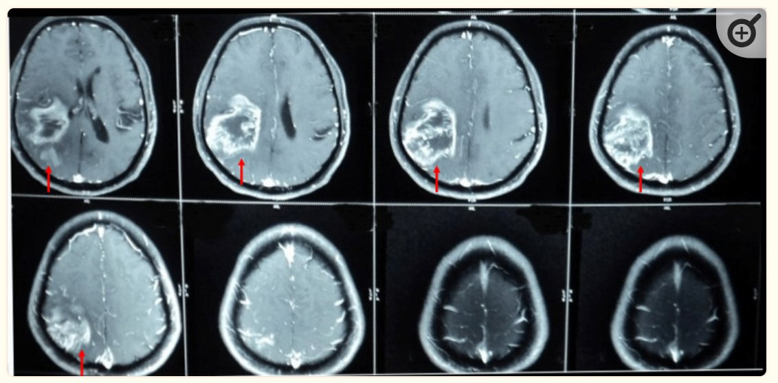
Mohamad AbdalKader Thanh Nguyen 🇺🇦 "Contrast staining can be seen outside the infarcted tissue after EVT of AIS and is likely due to a reversible milder degree of BBB disruption. Although potentially benign, knowing its characteristics is important because it may mimic pathologic conditions."
In the real world, sometimes we don't have all the answers and we seek help from colleagues. This platform brought these global 'colleagues' together for consult and brainstorming! Thank you to our expert panelists Erik Middlebrooks, MD and Mariana Dalaqua | MD, CHM, EDiNR, EDiPNR, EDiHNNR for their amazing insights into