Dan Fremed (@danfremed) 's Twitter Profile
Dan Fremed

@danfremed

Vascular Surgeon, good eater, terrible golfer.

ID: 739913193615659008

calendar_today06-06-2016 20:13:47

115 Tweet

538 Followers

142 Following

Dan Fremed (@danfremed) 's Twitter Profile Photo

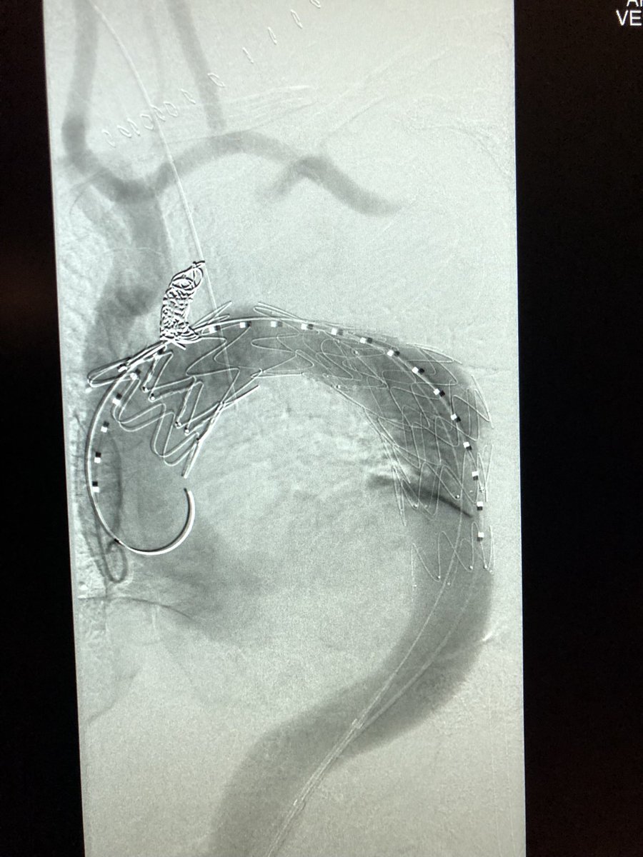
Live from #TCVCG 7cm arch aneurysm, right carotid to left subclavian bypass, left carotid transposition, TEVAR with @CookEVAR alpha. Courtesy of crezayat and bbrener

Live from #TCVCG 7cm arch aneurysm, right carotid to left subclavian bypass, left carotid transposition, TEVAR with @CookEVAR alpha. Courtesy of <a href="/crezayat/">crezayat</a> and <a href="/bbrener1/">bbrener</a>
Dan Fremed (@danfremed) 's Twitter Profile Photo

Prior CERAB, redo obese infected groin, PFA-BK pop bypass occluded. Radial access for imaging, PT access with 5/6 Slender. Zilver recan of native SFA, DCB for pop via PT access #ThinkRadial Cook Medical Cook Vascular TERUMO

Prior CERAB, redo obese infected groin, PFA-BK pop bypass occluded. Radial access for imaging, PT access with 5/6 Slender. Zilver recan of native SFA, DCB for pop via PT access #ThinkRadial <a href="/CookMedical/">Cook Medical</a> <a href="/cookvascular/">Cook Vascular</a> <a href="/terumo/">TERUMO</a>
Dan Fremed (@danfremed) 's Twitter Profile Photo

Grateful for the neat ideas discovered on #medtwitter thanks to Osman Ahmed for the tip! Bentson through the delivery tip of the argon for retrieval of tilted filter #filterout

Grateful for the neat ideas discovered on #medtwitter thanks to <a href="/TheRealDoctorOs/">Osman Ahmed</a> for the tip! Bentson through the delivery tip of the argon for retrieval of tilted filter #filterout
Dan Fremed (@danfremed) 's Twitter Profile Photo

High flow AVG with ischemic steal, severe persistent rest pain and paresthesia. Before/after proximalization of arterial inflow (PAI), now with palpable radial pulse and resolution of symptoms. #VascularSurgery #dialysisproblems #dialysis

High flow AVG with ischemic steal, severe persistent rest pain and paresthesia. Before/after proximalization of arterial inflow (PAI), now with palpable radial pulse and resolution of symptoms. #VascularSurgery #dialysisproblems #dialysis
Reid Ravin (@reidravin) 's Twitter Profile Photo

While I fully endorse this post and our excellent training program, I agree with my co-chief Dan Fremed that the positioning of the fire alarm between our portraits is unfortunate and propose the following change:

While I fully endorse this post and our excellent training program, I agree with my co-chief <a href="/DanFremed/">Dan Fremed</a> that the positioning of the fire alarm between our portraits is unfortunate and propose the following change:
Dan Fremed (@danfremed) 's Twitter Profile Photo

Diabetic with non healing digital amps, new ulcers. Brachial to radial bypass at the snuffbox with GSV #comprehensivevascularcare

Diabetic with non healing digital amps, new ulcers. Brachial to radial bypass at the snuffbox with GSV #comprehensivevascularcare
Daniel K. Han (@danhan) 's Twitter Profile Photo

COVID 19 has limited our ability to have a visiting sub-internship, but we are excited to offer this alternative at Mount Sinai Vascular for 4th year students looking for a vascular residency program. Contact us!

Westley Ohman (@westleyohman) 's Twitter Profile Photo

Something about a certain road paved with good intentions. I (nor USPTF) am not aware of any evidence that screening for PAD reduces costs, anxiety, or amputations in any population. There is ample evidence that overtreating “low grade” PAD leads to CLTI and, thus, amputation. 1/

Bill Beckerman (@billbeckerman) 's Twitter Profile Photo

March 3, 2022: Come to the Vascular Society of NJ Spring Meeting and celebrate Francis Caputo MD’s triumphant return to the Garden State where he will give our keynote lecture on Aortic Surgery in the 21st Century! Trainees/students attend free Register at vsnj.org

March 3, 2022:
Come to the Vascular Society of NJ Spring Meeting and celebrate <a href="/FrankCaputoMD/">Francis Caputo MD</a>’s triumphant return to the Garden State where he will give our keynote lecture on Aortic Surgery in the 21st Century!
Trainees/students attend free
Register at vsnj.org
Dan Fremed (@danfremed) 's Twitter Profile Photo

First case in NJ with new low profile 014 Hydro balloons, courtesy of Cook Medical. Non healing DFU, balloon catheter to cross CTO and treat. #CLIFighters #VascularSurgery #stopthechop

First case in NJ with new low profile 014 Hydro balloons, courtesy of <a href="/CookMedical/">Cook Medical</a>. Non healing DFU, balloon catheter to cross CTO and treat. #CLIFighters #VascularSurgery #stopthechop