Feng Yin (@fengyinmd) 's Twitter Profile
Feng Yin

@fengyinmd

Gastrointestinal, liver, and pancreatic pathology, The University of Texas MD Anderson Cancer Center

ID: 1205847111788613632

calendar_today14-12-2019 13:49:00

19 Tweet

141 Followers

209 Following

Innovative Science Press (@science_press) 's Twitter Profile Photo

This is an incidental finding overlying an anal fibroepithelial polyp. It is termed "pagetoid dyskeratosis" but it is simply reactive. The same finding is known in prolapsed uterine cervices. A few GI Survival Guides are still around. Try innovativesciencepress.com

This is an incidental finding overlying an anal fibroepithelial polyp.  It is termed "pagetoid dyskeratosis" but it is simply reactive.  The same finding is known in prolapsed uterine cervices. A few GI Survival Guides are still around.  Try innovativesciencepress.com
Elizabeth Montgomery, MD (@lizmontgomerymd) 's Twitter Profile Photo

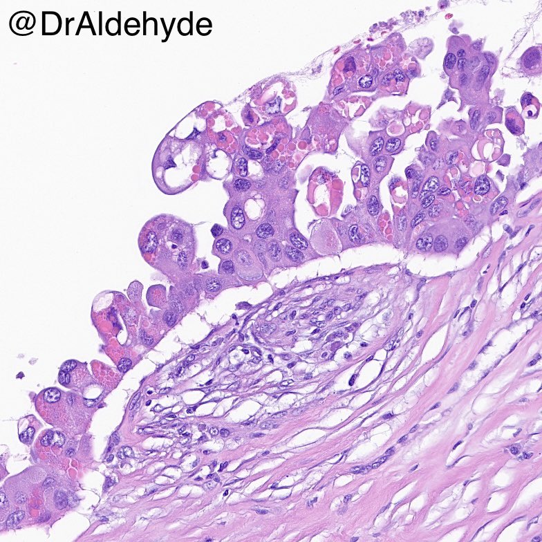
Oxyntic gland adenoma (or chief cell adenoma or gastric adenocarcinoma with chief cell differentiation). A parietal cell is indicated. The PAS/AB stain shows normal foveolar cells at the surface. These are associated with a benign outcome following polypectomy. PMID: 22472957.

Oxyntic gland adenoma (or chief cell adenoma or gastric adenocarcinoma with chief cell differentiation). A parietal cell is indicated.  The PAS/AB stain shows normal foveolar cells at the surface.  These are associated with a benign outcome following polypectomy. PMID: 22472957.
Judith Ferry (@judith_ferry) 's Twitter Profile Photo

Hi #Pathologists- what do you think of this infiltrate in the wall of gallbladder? Patient was an older lady with biliary colic. Cholecystectomy showed stones and no grossly seen mucosal lesion. IHC: CD3+, CD56+, neg for CD5, CD4, CD8, EBER

Hi #Pathologists- what do you think of this infiltrate in the wall of gallbladder? Patient was an older lady with biliary colic. Cholecystectomy showed stones and no grossly seen mucosal lesion. IHC: CD3+, CD56+, neg for CD5, CD4, CD8, EBER
Wei (@liverwei) 's Twitter Profile Photo

Cirrhotic patient with duodenal ‘polyps’. Cool to see the collections of ectatic capillaries in the lamina propria. Features of portal gastropathy in the duodenum resulting in a polyploid endoscopic appearance. #gipath #liverpath

Cirrhotic patient with duodenal ‘polyps’. Cool to see the collections of ectatic capillaries in the lamina propria. Features of portal gastropathy in the duodenum resulting in a polyploid endoscopic appearance. #gipath #liverpath
Adam L. Booth, MD (@alboothmd) 's Twitter Profile Photo

Plexiform fibromyxoma 🔸multinodular/plexiform 🔸arise in gastric muscularis propria 🔸bland oval/spindle cells 🔸myxoid/fibromyx/collagenou stroma 🔸prominent capillaries 🔸SMA+/Desmin-/C-kit-/DOG1- 🔸MALAT1-GLI1 fusion 🔸ddx: GIST/IFP/Schwannom/neurofibr #gipath

Plexiform fibromyxoma
🔸multinodular/plexiform
🔸arise in gastric muscularis propria
🔸bland oval/spindle cells
🔸myxoid/fibromyx/collagenou stroma
🔸prominent capillaries
🔸SMA+/Desmin-/C-kit-/DOG1-
🔸MALAT1-GLI1 fusion
🔸ddx: GIST/IFP/Schwannom/neurofibr
#gipath
Texas Soc of Pathol (@texpathol) 's Twitter Profile Photo

73 yo F with ischemic bowel. Sampling of lymph nodes is important! This lymph node (left) shows microscopic foci of subcapsular metastatic gastric adenocarcinoma (left). This incidental finding on sampling of lymph nodes led to a work-up that detected gastric cancer.

73 yo F with ischemic bowel. Sampling of lymph nodes is important! This lymph node (left) shows microscopic foci of subcapsular metastatic gastric adenocarcinoma (left). This incidental finding on sampling of lymph nodes led to a work-up that detected gastric cancer.
David Hernandez Gonzalo (@dhggipath) 's Twitter Profile Photo

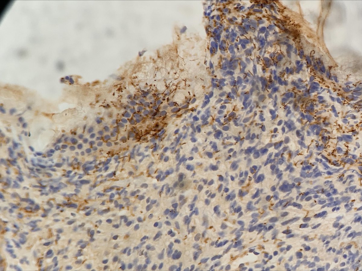
Pitfall alert in perforated appendicitis: Detached CAM5.2 + cells can mimic malignancy. Key: calretinin coexpression and background organizing inflammation. Myofibroblasts appear in subserosal area around the perforation as highlighted with CAM5.2. #GIpath #pathology

Pitfall alert in perforated appendicitis:  Detached CAM5.2 + cells can mimic malignancy. Key: calretinin coexpression and background organizing inflammation. Myofibroblasts appear in subserosal area around the perforation as highlighted with CAM5.2.  #GIpath #pathology
Xia & He Publishing (@xiahepublishing) 's Twitter Profile Photo

This review presents the histomorphology and molecular profiling of the conventional type and the rare variants of the esophageal well-differentiated squamous cell carcinoma. Feng Yin Xiuli Liu xiahepublishing.com/2771-165X/JCTP…

Kevin Kuan (@kkuanmd) 's Twitter Profile Photo

Pancreatic heterotopia: ➡️Ectopic pancreatic tissue composed of glands, ducts and smooth muscles ➡️When only ducts and muscles are present, the terms "adenomyoma" and "myoepithelial hamartoma" are used in literature

Pancreatic heterotopia: 
➡️Ectopic pancreatic tissue composed of glands, ducts and smooth muscles
➡️When only ducts and muscles are present, the terms "adenomyoma" and "myoepithelial hamartoma" are used in literature
MD Anderson Cancer Center (@mdandersonnews) 's Twitter Profile Photo

First-in-class YAP/TEAD inhibitor VT3989 was well-tolerated with durable antitumor responses in patients with advanced malignant mesothelioma, other tumors with NF2 mutations, says Dr. Timothy Yap of first clinical proof-of-concept for drugging the Hippo-YAP-TEAD pathway. #AACR23

First-in-class YAP/TEAD inhibitor VT3989 was well-tolerated with durable antitumor responses in patients with advanced malignant mesothelioma, other tumors with NF2 mutations, says Dr. Timothy Yap of first clinical proof-of-concept for drugging the Hippo-YAP-TEAD pathway. #AACR23
Huamin Wang, MD, PhD (@huaminwang6) 's Twitter Profile Photo

It is my distinguished honor to be selected as the Vice President of the Pancreatobiliary Pathology Society. I look forward to contributing to the society and serving our members and anyone who is interested in pancreatobiliary pathology. Pancreatobiliary Pathology Society Huamin Wang, MD, PhD

Qing Ding, MD/PHD (@qqingding) 's Twitter Profile Photo

TRPS1 in huge number of tumor by Dr. Lennartz et al. High expression in breast and some sarcoma (synovial, osteo/chondro), weak to moderate in some SqCC (most organ), salivary gland and GYN tumors, rare in others. This study shows the balance of sensitivity and specificity nicely

TRPS1 in huge number of tumor by Dr. Lennartz et al. High expression in breast and some sarcoma (synovial, osteo/chondro), weak to moderate in some SqCC (most organ), salivary gland and GYN tumors, rare in others. This study shows the balance of sensitivity and specificity nicely
Woo Cheal Cho, MD (@draldehyde) 's Twitter Profile Photo

🌟 Exciting Opportunity Alert! 🌟 Join MD Anderson's prestigious Surgical Pathology fellowship for 2025-2026! Learn from the nation's top experts in a renowned program. If interested, contact Dr Phyu P Aung today! Don't miss out on this career-defining experience. #MDACCPath 😆🔬

🌟 Exciting Opportunity Alert! 🌟 Join MD Anderson's prestigious Surgical Pathology fellowship for 2025-2026! Learn from the nation's top experts in a renowned program. If interested, contact <a href="/DrPhyuPAung2/">Dr Phyu P Aung</a> today! Don't miss out on this career-defining experience. #MDACCPath 😆🔬
Pancreatobiliary Pathology Society (@pbpath) 's Twitter Profile Photo

The new #PBPS Case of the Quarter is now available.. 81 yo lady with incidental pancreatic body cyst.. well, this is just the tip of the iceberg! Log in today to learn more about this fascinating case! pbpath.org/case-5-quarter… Thank you Feng Yin for sharing!

The new #PBPS Case of the Quarter is now available..
81 yo lady with incidental pancreatic body cyst.. well, this is just the tip of the iceberg!
Log in today to learn more about this fascinating case!
pbpath.org/case-5-quarter…
Thank you <a href="/FengYinMD/">Feng Yin</a> for sharing!