Francesca Rigiroli MD (@frarigi) 's Twitter Profile
Francesca Rigiroli MD

@frarigi

Physician Scientist @BIDMCRad @BIDMC_AbdImg @harvardmed -
@AJR_Radiology Assistant Editor -
@RadIC_Editor Associate Editor - @SABImaging Early Career

ID: 931270962829582337

calendar_today16-11-2017 21:21:14

876 Tweet

1,1K Followers

919 Following

Olga R Brook, MD, FSAR, FSIR, FSABI, FESGAR (@olgabrook) 's Twitter Profile Photo

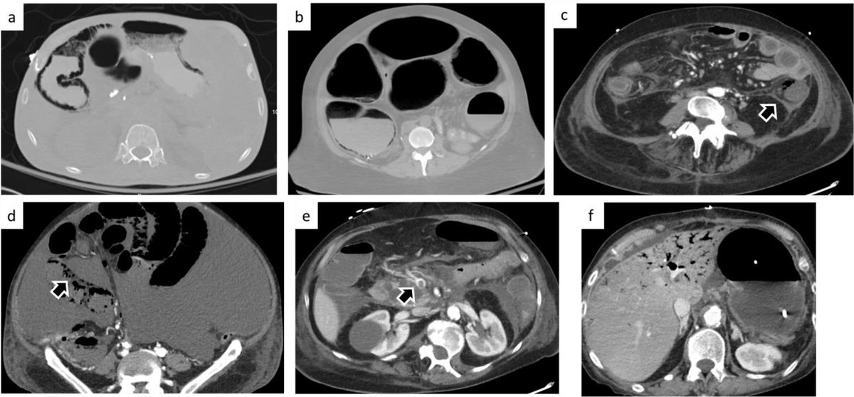
Excited to share our new paper in Abdominal Radiology ! We studied 313 pts with pneumatosis intestinalis on CT to better predict which cases indicate bowel ischemia. By combining clinical & radiological features, we achieved 85% AUC in identifying bowel ischemia. Francesca Rigiroli MD Alexander Brook

Olga R Brook, MD, FSAR, FSIR, FSABI, FESGAR (@olgabrook) 's Twitter Profile Photo

Our study showed that a model with radiological and clinical features: gas in the mesenteric and portal vein, fat stranding, age, WBC, creatinine, distention, rebound or guarding and shock can successfully identify patients with pathologic pneumatosis intestinalis.

@RadiologyEditor (@radiologyeditor) 's Twitter Profile Photo

Kick off your Saturday with the latest Radiology podcast! 🎧 Linda Chu, MD chats with Domenico Mastrodicasa & Marly van Assen about AI’s impact on cardiac CT & MRI, from workflow to clinical adoption. Tune in now! #RadPodcasts

Roberta Catania (@robi_catania) 's Twitter Profile Photo

🚨 We are back with a new case from Images in Radiology: Cardiothoracic Imaging 🚨   50-years-old male with dyspnea on exertion.   Findings? Diagnosis?   #InTrainingRCTI #ImagesInRCTI

🚨 We are back with a new case from Images in <a href="/RadiologyCTI/">Radiology: Cardiothoracic Imaging</a> 🚨
Β 
50-years-old male with dyspnea on exertion.
Β 
Findings? Diagnosis?
Β 
#InTrainingRCTI #ImagesInRCTI
BIDMC Radiology (@bidmcrad) 's Twitter Profile Photo

Harvard Medical School has appointed Dr. Muneeb Ahmed, Division Chief & Vice Chair BIDMC Vascular & Interventional Radiology, as the Miriam H. Stoneman Professor of Radiology. An endowed professorship, such as this, is the "highest honor [HMS] can bestow upon a faculty member." Congratulations, Dr. Ahmed!

Harvard Medical School has appointed Dr. Muneeb Ahmed, Division Chief &amp; Vice Chair <a href="/BIDMCVIR/">BIDMC Vascular & Interventional Radiology</a>, as the Miriam H. Stoneman Professor of Radiology. An endowed professorship, such as this, is the "highest honor [HMS] can bestow upon a faculty member." Congratulations, Dr. Ahmed!
Francesco Ria (@ria_francesco) 's Twitter Profile Photo

Research should not be understood as a financial loss dukechronicle.com/article/2025/0… Some thoughts about the real value of research for academic institutions. duke chronicle

AAR (@aaradiol) 's Twitter Profile Photo

🌟 Congratulations to this year's 2025 AAR Gold Medal winners! You are unparalleled in your contributions to radiology education and research. #AARad #radiology #RadEd #MedEd #research

🌟 Congratulations to this year's 2025 AAR Gold Medal winners!
You are unparalleled in your contributions to radiology education and research.
#AARad #radiology #RadEd #MedEd #research
Roberta Catania (@robi_catania) 's Twitter Profile Photo

🚨 Check the new case from Images in Radiology: Cardiothoracic Imaging 🚨 11-years-old girl with cyanosis.   What are the findings? What isthe diagnosis?   #InTrainingRCTI #ImagesInRCTI

🚨 Check the new case from Images in <a href="/RadiologyCTI/">Radiology: Cardiothoracic Imaging</a> 🚨

11-years-old girl with cyanosis.
Β 
What are the findings? What isthe diagnosis?
Β 
#InTrainingRCTI #ImagesInRCTI
Inter ⭐⭐ (@inter) 's Twitter Profile Photo

π‚π‡π€πŒππˆπŽππ’ 𝐋𝐄𝐀𝐆𝐔𝐄 π…πˆππ€π‹: β„Žπ‘’π‘Ÿπ‘’ 𝑀𝑒 π‘π‘œπ‘šπ‘’ πŸ”₯ #ForzaInter #UCL #InterBarcellona

π‚π‡π€πŒππˆπŽππ’ 𝐋𝐄𝐀𝐆𝐔𝐄 π…πˆππ€π‹: β„Žπ‘’π‘Ÿπ‘’ 𝑀𝑒 π‘π‘œπ‘šπ‘’ πŸ”₯

#ForzaInter #UCL #InterBarcellona
Society for Advanced Body Imaging | SABI (@sabimaging) 's Twitter Profile Photo

Abstract submissions for the 2025 SABI Annual Meeting close this Friday. Whether you're a seasoned researcher or sharing your work for the first time, we want to hear from you. Submit today! bit.ly/4ksV984

Abstract submissions for the 2025 SABI Annual Meeting close this Friday. Whether you're a seasoned researcher or sharing your work for the first time, we want to hear from you. Submit today!

bit.ly/4ksV984
BIDMC Radiology (@bidmcrad) 's Twitter Profile Photo

πŸ“° Newly published European Radiology paper by BIDMC Department of Radiology: "Assessing the risk of unintended intestinal sampling in omental and mesenteric core needle biopsies". πŸ”— Read more: link.springer.com/article/10.100… Olga R Brook, MD, FSAR, FSIR, FSABI, FESGAR Bettina Siewert Francesca Rigiroli MD #radiology

Dimitrios Tsatiris MD (@drdimitrios) 's Twitter Profile Photo

You can give some people the world. But they will still expect more from you. Your job is not to meet their insatiable demands. Your job is to recognize this red flag and set boundaries. Don’t let your guilt and need to please tell you otherwise.

AntΓ³nio Guterres (@antonioguterres) 's Twitter Profile Photo

I am gravely alarmed by the use of force by the United States against Iran today. This is a dangerous escalation in a region already on the edge – and a direct threat to international peace and security. Β  There is a growing risk that this conflict could rapidly get out of

RadIC_Editor (@radic_editor) 's Twitter Profile Photo

Good morning to our community! We are pleased to announce our 2025-2027 Trainee Editorial Board for Radiology: Imaging Cancer.! These distinguished trainees and early-career professionals will contribute significantly to our journal's mission. #Radiology #Cancer #CancerImaging

Good morning to our community!

We are pleased to announce our 2025-2027 Trainee Editorial Board for Radiology: Imaging Cancer.!

These distinguished trainees and early-career professionals will contribute significantly to our journal's mission.

#Radiology #Cancer #CancerImaging