Martha Furie (@furiem) 's Twitter Profile
Martha Furie

@furiem

ID: 609449815

calendar_today15-06-2012 21:27:26

7 Tweet

19 Followers

15 Following

The American Journal of Pathology (@ajpathology) 's Twitter Profile Photo

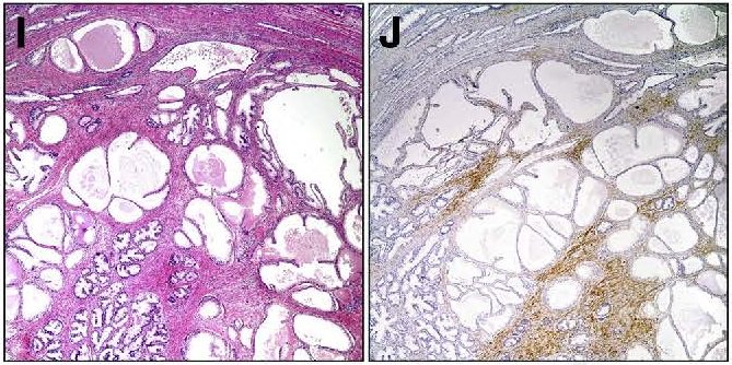
The article featured in the press release is "Syntaphilin Is a Novel Biphasic Biomarker of Aggressive Prostate Cancer and a Metastasis Predictor" new from authors at Yale School of Medicine, Yale Cancer Center, and The Wistar Institute. Article is FREE as an Editor's Choice: ajp.amjpathol.org/article/S0002-…

The article featured in the press release is "Syntaphilin Is a Novel Biphasic Biomarker of Aggressive Prostate Cancer and a Metastasis Predictor" new from authors at <a href="/YaleMed/">Yale School of Medicine</a>, <a href="/YaleCancer/">Yale Cancer Center</a>, and <a href="/TheWistar/">The Wistar Institute</a>.  Article is FREE as an Editor's Choice:  ajp.amjpathol.org/article/S0002-…
The American Journal of Pathology (@ajpathology) 's Twitter Profile Photo

#Biomarker syntaphilin may help identify men with #prostatecancer at greater risk of #tumor #metastasis who require more aggressive management and treatment@AJPathology #cancer #prostate #menshealth eurekalert.org/e/971x via Elsevier News EurekAlert!

The American Journal of Pathology (@ajpathology) 's Twitter Profile Photo

Polyploid Hepatocytes Facilitate Adaptation and Regeneration to Chronic Liver Injury, new from American Society for Investigative Pathology member Andrew Duncan and colleagues from UPMC (UPMC). Full text: ajp.amjpathol.org/article/S0002-…

Polyploid Hepatocytes Facilitate Adaptation and Regeneration to Chronic Liver Injury, new from <a href="/ASIPath/">American Society for Investigative Pathology</a> member Andrew Duncan and colleagues from <a href="/UPMC/">UPMC</a> (<a href="/UPMCnews/">UPMC</a>).  Full text: ajp.amjpathol.org/article/S0002-…