Gerone Gonzales (@geronegon) 's Twitter Profile
Gerone Gonzales

@geronegon

PhD candidate in the @CantonJohnathan lab at @ucalgary

ID: 1500709651960107011

calendar_today07-03-2022 05:47:50

35 Tweet

30 Followers

69 Following

Johnathan Canton (@cantonjohnathan) 's Twitter Profile Photo

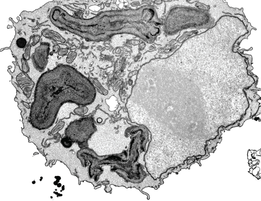
Excited to share that our story on apolipoprotein control of cross-presentation is now published in Science Immunology and can be found here science.org/doi/10.1126/sc… Congrats first authors Gerone Gonzales , Liam Wilkinson and Song Huang, as well as Cassie Wood and xless authors too. 😊

Science Immunology (@sciimmunology) 's Twitter Profile Photo

New research in Science #Immunology identifies the pore-forming protein #APOL7C as a driver of phagosomal rupture and antigen cross-presentation in activated dendritic cells. Johnathan Canton Gerone Gonzales Liam Wilkinson Cassie Wood bit.ly/3CjeKWp

New research in Science #Immunology identifies the pore-forming protein #APOL7C as a driver of phagosomal rupture and antigen cross-presentation in activated dendritic cells. <a href="/CantonJohnathan/">Johnathan Canton</a> <a href="/GeroneGon/">Gerone Gonzales</a> <a href="/Liam_Wilki/">Liam Wilkinson</a> <a href="/_Cassie_Wood/">Cassie Wood</a>
bit.ly/3CjeKWp
Science Immunology (@sciimmunology) 's Twitter Profile Photo

A new Science #Immunology study describes how #APOL7C recruitment to phagosome membranes in conventional #DendriticCells promotes antigen release to the cytosol and cross-presentation. @ucalgaryvetmed U Calgary bit.ly/3CjeKWp

A new Science #Immunology study describes how #APOL7C recruitment to phagosome membranes in conventional #DendriticCells promotes antigen release to the cytosol and cross-presentation. @ucalgaryvetmed <a href="/UCalgary/">U Calgary</a> 
bit.ly/3CjeKWp
Snyder Institute for Chronic Diseases (@snyderinstitute) 's Twitter Profile Photo

Research from Dr. Jonathan Canton and his team sheds light on how specialized immune cells act as sentinels, providing a critical defense against infections. ucalgary.ca/news/ucalgary-… #Immunology #PublicHealth U Calgary UCalgaryMedicine @ucalgaryvetmed Johnathan Canton Gerone Gonzales

Spencer Freeman (@spencersk1) 's Twitter Profile Photo

We've been studying mechanisms of resilience that protect lysosomes from damage and wrote a review on the topic. We consider lysosomal stress and damage on a spectrum; hopefully a useful concept😀. Snapshot below and Open Access here: embopress.org/doi/full/10.10…

We've been studying mechanisms of resilience that protect lysosomes from damage and wrote a review on the topic. We consider lysosomal stress and damage on a spectrum; hopefully a useful concept😀. Snapshot below and Open Access here: embopress.org/doi/full/10.10…