Greg Avey (@gregavey) 's Twitter Profile
Greg Avey

@gregavey

#NeuroRad Madison WI, Director of Radiology Fellowships, Director of Head and Neck Imaging

ID: 1140313218604138496

calendar_today16-06-2019 17:40:32

36 Tweet

235 Followers

79 Following

ScratchpadMD (@scratchpadmd) 's Twitter Profile Photo

Sitting in the radiology reading room, waiting on the radiologist to finish looking at a CT that hasn’t even fully pushed across yet, sitting in their fancy chairs, killing time and trying not to be a distraction

ST (@stephentangmd) 's Twitter Profile Photo

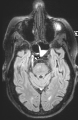
I have seen cranial neuropathy missed often enough that I'd like to remind everyone that every brain MRI is also a cranial nerve MRI. Case: multiple lung cancer metastases status post Gamma Knife SRS, with "right sided headache, eval for new mets". #RadEd #HNRad #Neurorad

I have seen cranial neuropathy missed often enough that I'd like to remind everyone that every brain MRI is also a cranial nerve MRI. 

Case: multiple lung cancer metastases status post Gamma Knife SRS, with "right sided headache, eval for new mets".  #RadEd #HNRad #Neurorad
UW Radiology (@uwiscradiology) 's Twitter Profile Photo

We are so grateful for the incredible effort that our physicians put towards the care of our patients every day. Thank you, and happy #DoctorsDay2021!

We are so grateful for the incredible effort that our physicians put towards the care of our patients every day. Thank you, and happy #DoctorsDay2021!
Jessica Robbins, MD (@jrobbinsmd) 's Twitter Profile Photo

Family Leave during residency is critical. Support our trainees and their families for the well-being of all and to cultivate an inclusive climate The APDR A3CR2 AAWR @AURtweet American Board of Radiology RadCX™ sciencedirect.com/science/articl…

Family Leave during residency is critical. Support our trainees and their families for the well-being of all and to cultivate an inclusive climate
<a href="/theAPDR/">The APDR</a>
<a href="/RadChiefs/">A3CR2</a>
<a href="/AAWR_org/">AAWR</a>
@AURtweet
<a href="/ABR_Radiology/">American Board of Radiology</a>
<a href="/RadiologyChicks/">RadCX™</a>

sciencedirect.com/science/articl…
Scott Truhlar (@scotttruhlar) 's Twitter Profile Photo

If an alien from another planet looked at this data, what would they conclude is the true motivation/purpose/mission of US medical schools, based purely on the data?

UW Radiology (@uwiscradiology) 's Twitter Profile Photo

Huge #congratulations to @sreeder001 for being awarded the inaugural Fred Lee, MD, Sr. Endowed Professorship! Read more from Dr. Reeder, Tom Grist, and Dr. Fred Lee, Jr below.

Laura Eisenmenger, MD (@lbeisenmenger) 's Twitter Profile Photo

If you can’t reference the Cookie Monster during an anosmia talk, are you really even trying? Thank you, Greg Avey, for being awesome and trying!…the rest of the talk was also great! #ARRS #ARRS2022 University of Wisconsin Neuroradiology UW Radiology

If you can’t reference the Cookie Monster during an anosmia talk, are you really even trying? Thank you, <a href="/GregAvey/">Greg Avey</a>, for being awesome and trying!…the rest of the talk was also great! #ARRS #ARRS2022 <a href="/UWiscNeuroRad/">University of Wisconsin Neuroradiology</a> <a href="/UWiscRadiology/">UW Radiology</a>