Women in Cardiology and Related Sciences (@ijcdw_wincars) 's Twitter Profile
Women in Cardiology and Related Sciences

@ijcdw_wincars

We are an organization that is focused on addressing Cardiovascular Healthcare issues in women. Our unique journal is known as IJCDW: ijcdw.org

ID: 1589546703220154370

linkhttp://www.ijcdw.org calendar_today07-11-2022 09:14:15

15 Tweet

54 Followers

8 Following

Dr. Sunny Duttagupta (@sunnydg23) 's Twitter Profile Photo

Today had the honor to interview the legendary Dr. M C Mary Kom OLY along with two leading Cardiologist of the country Dr Sarita Rao and Shibba Takkar Chhabra in relation to "Indian Journal of Cardiovascular Disease in Women" published by Scientific Scholar #journals #publishing #WomenHealth #Cardiology

Today had the honor to interview the legendary <a href="/MangteC/">Dr. M C Mary Kom OLY</a> along with two leading Cardiologist of the country <a href="/DrSaritaRao2/">Dr Sarita Rao</a> and <a href="/ShibbaC/">Shibba Takkar Chhabra</a> in relation to "Indian Journal of Cardiovascular Disease in Women" published by <a href="/scientifscholar/">Scientific Scholar</a> #journals #publishing #WomenHealth #Cardiology
Women in Cardiology and Related Sciences (@ijcdw_wincars) 's Twitter Profile Photo

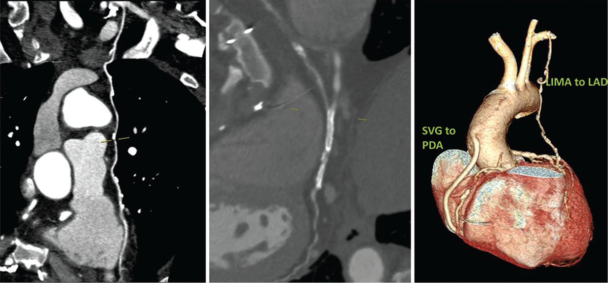
Read the article “Role of MDCT in Assessment of Long-term Graft Patency in Female Patients” which explaining CABG is a good non invasive alternative for CAG in post CABG women Learn more at ijcdw.org/role-of-mdct-i… #ijcdw #CABG #surgery #cardiology

Read the article “Role of MDCT in Assessment of Long-term Graft Patency in Female Patients” which explaining CABG is a good non invasive alternative for CAG in post CABG women

Learn more at ijcdw.org/role-of-mdct-i…

#ijcdw #CABG #surgery #cardiology
Women in Cardiology and Related Sciences (@ijcdw_wincars) 's Twitter Profile Photo

Check out the interesting study “A Study of Fertility and Pregnancy Outcomes in Women after Surgery for Valvular Heart Disease” Learn more at: bit.ly/3GH0sPf #womenhealth #PregnantWoman #HeartSurgery

Check out the interesting study “A Study of Fertility and Pregnancy Outcomes in Women after Surgery for Valvular Heart Disease”
Learn more at: bit.ly/3GH0sPf
#womenhealth #PregnantWoman #HeartSurgery
Women in Cardiology and Related Sciences (@ijcdw_wincars) 's Twitter Profile Photo

On this International Women's Day, the cardiologist's at WCC-2023 give their views to encourage women's empowerment. Watch these videos to get messages from renowned cardiologists around the globe. #internationalwomensday #womensday #womencardiologist #wcc2023 #wincars

Women in Cardiology and Related Sciences (@ijcdw_wincars) 's Twitter Profile Photo

On this International Women's Day, the cardiologist's at WCC-2023 give their views to encourage women's empowerment. Watch these videos to get messages from renowned cardiologists around the globe. #internationalwomensday #womensday #womencardiologist #wcc2023 #wincars

Women in Cardiology and Related Sciences (@ijcdw_wincars) 's Twitter Profile Photo

On this International Women's Day, the cardiologist's at WCC-2023 give their views to encourage women's empowerment. Watch these videos to get messages from renowned cardiologists around the globe. #internationalwomensday #womensday #womencardiologist #wcc2023 #wincars

Women in Cardiology and Related Sciences (@ijcdw_wincars) 's Twitter Profile Photo

On this International Women's Day, the cardiologist's at WCC-2023 give their views to encourage women's empowerment. Watch these videos to get messages from renowned cardiologists around the globe. #internationalwomensday #womensday #womencardiologist #wcc2023 #wincars

Women in Cardiology and Related Sciences (@ijcdw_wincars) 's Twitter Profile Photo

On this International Women's Day, the cardiologist's at WCC-2023 give their views to encourage women's empowerment. Watch these videos to get messages from renowned cardiologists around the globe. #internationalwomensday #womensday #womencardiologist #wcc2023 #wincars

Women in Cardiology and Related Sciences (@ijcdw_wincars) 's Twitter Profile Photo

On this International Women's Day, the cardiologist's at WCC-2023 give their views to encourage women's empowerment. Watch these videos to get messages from renowned cardiologists around the globe. #internationalwomensday #womensday #womencardiologist #wcc2023 #wincars

Women in Cardiology and Related Sciences (@ijcdw_wincars) 's Twitter Profile Photo

On this International Women's Day, the cardiologist's at WCC-2023 give their views to encourage women's empowerment. Watch these videos to get messages from renowned cardiologists around the globe. #internationalwomensday #womensday #womencardiologist #wcc2023 #wincars

SCAI (@scai) 's Twitter Profile Photo

Women's Cardiac Care (WCC) is one of the leading #InterventionalCardiology conferences for women in the Asia Pacific region. Learn more about this event, which will take place next weekend, March 23-24, in Visakhapatnam, India! ➡️ scai.org/education-and-… Women in Cardiology and Related Sciences

Women's Cardiac Care (WCC) is one of the leading #InterventionalCardiology conferences for women in the Asia Pacific region. Learn more about this event, which will take place next weekend, March 23-24, in Visakhapatnam, India!

➡️ scai.org/education-and-…

<a href="/IJCDW_WINCARS/">Women in Cardiology and Related Sciences</a>
Women in Cardiology and Related Sciences (@ijcdw_wincars) 's Twitter Profile Photo

🌟 Exciting News! 🌟 We're thrilled to announce the 16th Women Cardiac Care (WCC) Conference 2024, organized by the Women in Cardiology and Related Sciences (WINCARS) Association! Set to take place on March 23rd-24th, 2024, at the prestigious Novotel Hotel in Visakhapatnam.

🌟 Exciting News! 🌟

We're thrilled to announce the 16th Women Cardiac Care (WCC) Conference 2024, organized by the Women in Cardiology and Related Sciences (WINCARS) Association! Set to take place on March 23rd-24th, 2024, at the prestigious Novotel Hotel in Visakhapatnam.
Women in Cardiology and Related Sciences (@ijcdw_wincars) 's Twitter Profile Photo

Excited to feature top experts like Dr. Sujatha Vipperla, Dr. Sarita Rao, Dr. Roopali Khanna, Dr. Jyotsna Maddury, Dr. Mamas Mamas, Dr. Mirvat Alasnag, Dr. Shibba Takkar Chhabra, Dr. Asha Mahilmaran, Dr. Roxana Mehran, Dr. Rasha Al-Lamee, and Dr. Gopalkoduru at #WCC2024!

Excited to feature top experts like Dr. Sujatha Vipperla, Dr. Sarita Rao, Dr. Roopali Khanna, Dr. Jyotsna Maddury, Dr. Mamas Mamas, Dr. Mirvat Alasnag, Dr. Shibba Takkar Chhabra, Dr. Asha Mahilmaran, Dr. Roxana Mehran, Dr. Rasha Al-Lamee, and Dr. Gopalkoduru at #WCC2024!