J Aaron Grantham JAG
@jag24851
Interventional cardiologist, CTO geek at St. Luke's Mid America Heart Institute in Kansas City and CMO of Corindus Vascular Robotics. Tweets all mine.
ID: 892178712355057664
01-08-2017 00:22:35
463 Tweet
1,1K Followers
124 Following
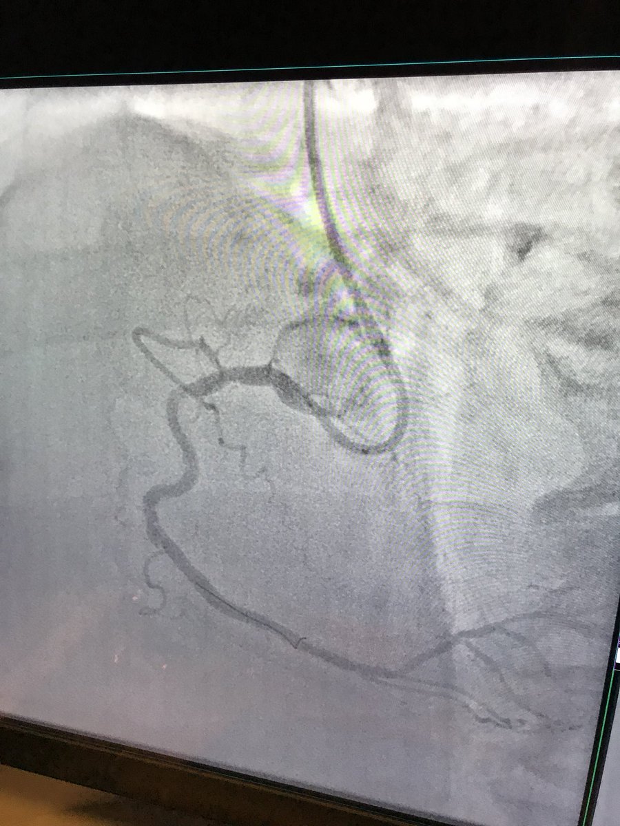
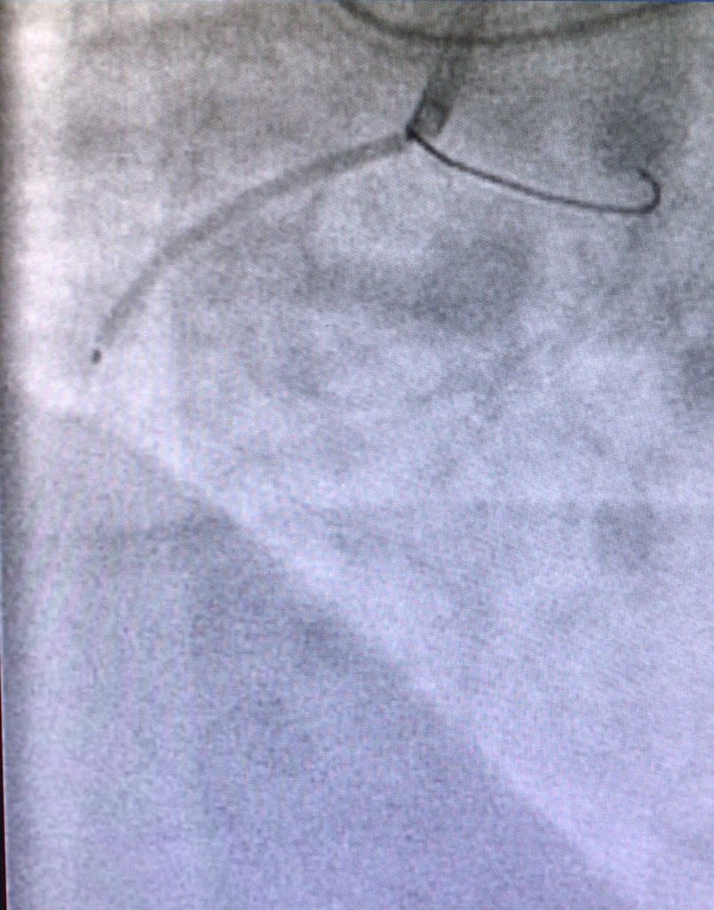
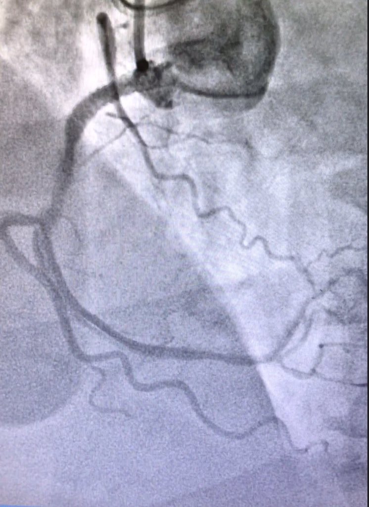
Uh oh what next #CTO101 Robert W. Yeh Hector Tamez, MD MPH jcspratt
Robert W. Yeh Hector Tamez, MD MPH jcspratt 1. Check pt-fine 2. Check diaper- unsoiled for now. 3. No more injections and change to JR4. Don't need Al support 99% of time R to L.
Robert W. Yeh Hector Tamez, MD MPH jcspratt Wired LAD stented and went retro into rca. See stain. Miraculously stable. Would star if unstable.
Robert W. Yeh Hector Tamez, MD MPH jcspratt Snared, externalized, in control, what next?
Robert W. Yeh Hector Tamez, MD MPH jcspratt Cut the distal dissection to provide outflow. This is 4.0 cutting balloon in d RCA
Robert W. Yeh Hector Tamez, MD MPH jcspratt Watch subintimal hematoma disappear as cutter deflates.
Robert W. Yeh Hector Tamez, MD MPH jcspratt Only stent the os. Dissection will heal.
Health risks for the interventionist. High quality research long overdue per Malcolm Bell Mamas A. Mamas Jim Nolan Sunil V. Rao #RadialFirst
Abdelkader Almanfi, MD, FACC, FSCAI Sunil V. Rao Ronnie Ramadan, MD Ajay Kirtane Robert W. Yeh Duane Pinto MD MPH Chandan Devireddy And i don't believe that non- interventional cardiologists should be doing diagnostic caths. A diagnostic may involve other modalities to assess lesions such as pressure wire or intravasc imaging. Also need to be able to deal with complications. Should be about pt quality/safety
Thanks Sunil V. Rao for the pic showing me where to go.