Jeffrey Cloutier, MD, PhD (@jcloutiermd) 's Twitter Profile
Jeffrey Cloutier, MD, PhD

@jcloutiermd

Dermatopathologist, Bone / Soft Tissue Pathologist.
Assistant Professor of Pathology at Dartmouth Geisel School of Medicine.

ID: 988292397971816448

linkhttps://geiselmed.dartmouth.edu/faculty/facultydb/view.php/?uid=8154 calendar_today23-04-2018 05:44:04

517 Tweet

2,2K Followers

1,1K Following

Darcy A. Kerr (@darcykerrmd) 's Twitter Profile Photo

The diagnosis for this well-demarcated, recurrent subcutaneous mass with unusual clear cell features and chondroid differentiation remained a mystery until #molpath correlation: Ossifying fibromyxoid tumor Unusual patterns described in this #BSTPath #dermpath collaboration

The diagnosis for this well-demarcated, recurrent subcutaneous mass with unusual clear cell features and chondroid differentiation remained a mystery until #molpath correlation:

Ossifying fibromyxoid tumor

Unusual patterns described in this #BSTPath #dermpath collaboration
Jeffrey Cloutier, MD, PhD (@jcloutiermd) 's Twitter Profile Photo

Spitz nevi with 11p gains are histologically distinctive, typically intradermal with pronounced desmoplastic stroma, an infiltrative growth pattern, and pleomorphic nuclei. Activating HRAS mutations with secondary 11p gain likely drive their unique appearance. #dermpath

Spitz nevi with 11p gains are histologically distinctive, typically intradermal with pronounced desmoplastic stroma, an infiltrative growth pattern, and pleomorphic nuclei. Activating HRAS mutations with secondary 11p gain likely drive their unique appearance.

#dermpath
Jeffrey Cloutier, MD, PhD (@jcloutiermd) 's Twitter Profile Photo

A deep dive into SFT epigenetics reveals site-specific DNA methylation patterns, highlighting possible markers for distinguishing primary vs. metastatic tumors. Read more: sciencedirect.com/science/articl… #BSTpath #sarcoma

Emily Towery, MD (@etowerymd) 's Twitter Profile Photo

One of my favorite 40x fields I've ever seen! Beautiful ladybird cells (neoplastic cells with a cytoplasmic rim of hemosiderin) in a tenosyonvial giant cell tumor. #BSTpath

One of my favorite 40x fields I've ever seen! Beautiful ladybird cells (neoplastic cells with a cytoplasmic rim of hemosiderin) in a tenosyonvial giant cell tumor. #BSTpath
Jeffrey Cloutier, MD, PhD (@jcloutiermd) 's Twitter Profile Photo

We’ve long known that epithelioid #sarcoma can be divided into proximal and classic subtypes, which have distinct clinical and morphologic features. Now, a new study by Sigalotti et al. gives us molecular insight behind these subtypes. Fascinating work! sciencedirect.com/science/articl…

Dartmouth Health Pathology Residency (@dhpathres) 's Twitter Profile Photo

Big congrats to our PGY-3 Dr. Paige O'Connor for the latest publication with our amazing faculty Darcy A. Kerr #DHPathRes Check it out: pubmed.ncbi.nlm.nih.gov/39533889/

Big congrats to our PGY-3 Dr. Paige O'Connor for the latest publication with our amazing faculty <a href="/darcykerrMD/">Darcy A. Kerr</a> #DHPathRes Check it out: pubmed.ncbi.nlm.nih.gov/39533889/
Konstantinos LinosMD (@konstantinoslin) 's Twitter Profile Photo

Enabling potentially more accurate diagnoses, by using traditional and fascinating emerging technologies. Superficial Neurocristic FET::ETS Fusion Tumor Free access here: authors.elsevier.com/c/1kAqW3B8d8~7… #dermpath #pathology #dermatology #oncology

Enabling potentially more accurate diagnoses, by using traditional and fascinating emerging technologies.
Superficial Neurocristic FET::ETS Fusion Tumor

Free access here: authors.elsevier.com/c/1kAqW3B8d8~7…

#dermpath #pathology #dermatology #oncology
Jeffrey Cloutier, MD, PhD (@jcloutiermd) 's Twitter Profile Photo

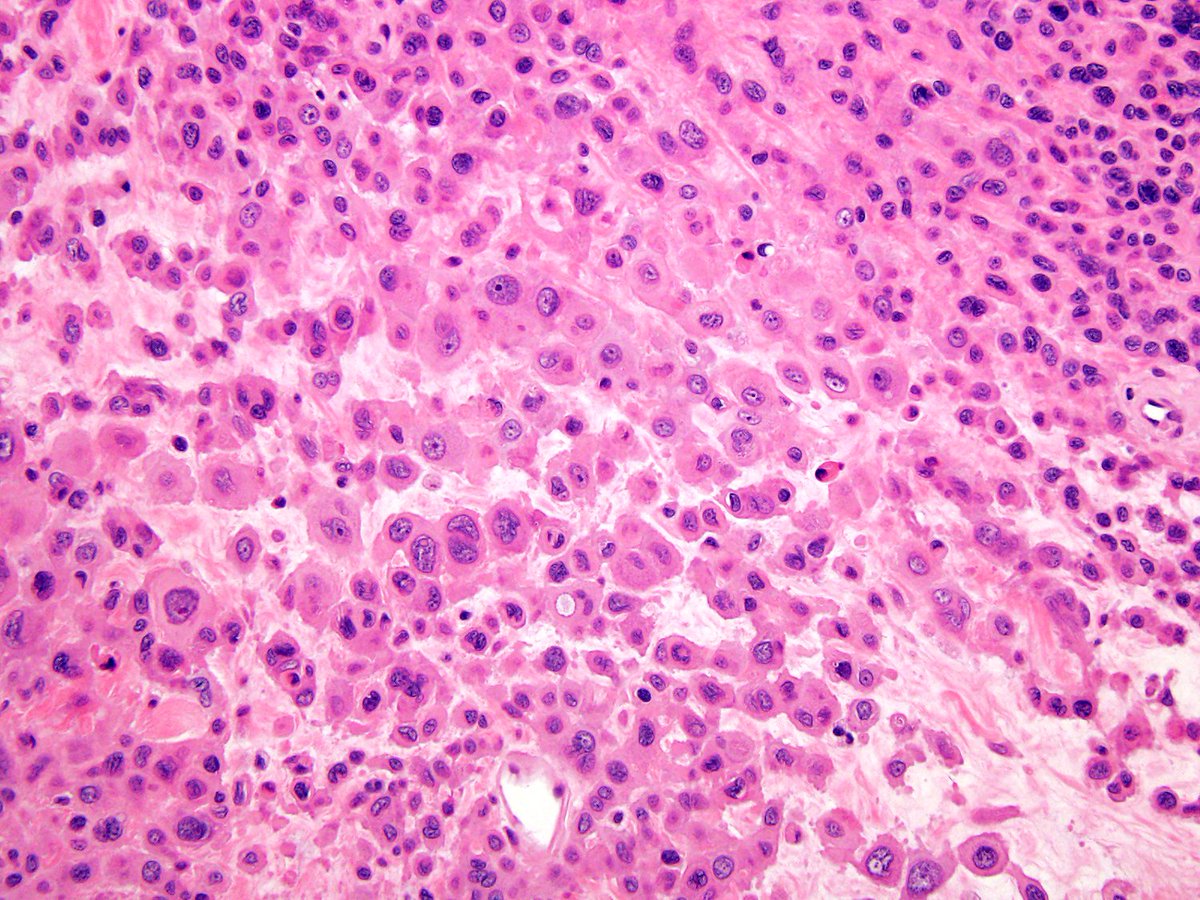
Malignant melanotic nerve sheath tumor (MMNST): heavily pigmented, pleomorphic, SOX10/Melan-A positive (shown), often paraspinal in younger patients. Key to distinguish from melanoma—MMNST frequently has PRKAR1A inactivation. #BSTpath #Dermpath

Malignant melanotic nerve sheath tumor (MMNST): heavily pigmented, pleomorphic, SOX10/Melan-A positive (shown), often paraspinal in younger patients. Key to distinguish from melanoma—MMNST frequently has PRKAR1A inactivation. #BSTpath #Dermpath
John Gross, MD (@jmcmahong) 's Twitter Profile Photo

Optical Genome Mapping (OGM) ie "Next Generation Karyotype" Exciting new molecular technology - very useful in #BSTPath No sequencing (an enzymatic step only) and provides unparalleled genomic resolution for structural variants including fusions/translocation, deletions,

Jason Pettus (@pettuspath) 's Twitter Profile Photo

Dartmouth Health Patholology is growing and seeking academic pathologists to join our team. Top priorities: GYN, Breast, GU, Cyto, & GI subspecialty training. Salaries and facility resources are highly desirable. Northern New England is a lifestyle hidden gem. DM for add'l info.

Hunter Shain (@shainlab) 's Twitter Profile Photo

An interesting paper describing an intermediate class of melanocytic neoplasms driven by MAP2K1 mutations. thelancet.com/journals/ebiom…

Nathalie Rodrigues Simoes, MD (@nathrodriguesmd) 's Twitter Profile Photo

If you couldn’t attend Dr. Kerr’s Darcy A. Kerr lecture on fibro-osseous lesions of the craniofacial skeleton, check it out later with the on-demand option on the #USCAP25 website. Highly recommended! Dartmouth Health Pathology Residency

If you couldn’t attend Dr. Kerr’s <a href="/darcykerrMD/">Darcy A. Kerr</a> lecture on fibro-osseous lesions of the craniofacial skeleton, check it out later with the on-demand option on the #USCAP25 website. Highly recommended! <a href="/DHPathRes/">Dartmouth Health Pathology Residency</a>
Konstantinos LinosMD (@konstantinoslin) 's Twitter Profile Photo

Our new work is out! 📷 Grateful for the outstanding efforts of Drs. Sotiris Sotiriou and Kyriakos Chatzopoulos in making this happen. 📷 You can access the full-text view-only version here: rdcu.be/ef3oV #Dermatology #Dermpath #Pathology #BSTpath #Oncology

Our new work is out! 📷
Grateful for the outstanding efforts of Drs. Sotiris Sotiriou and Kyriakos Chatzopoulos in making this happen.
📷 You can access the full-text view-only version here: rdcu.be/ef3oV
#Dermatology #Dermpath #Pathology #BSTpath #Oncology
Jeffrey Cloutier, MD, PhD (@jcloutiermd) 's Twitter Profile Photo

We’re hiring! Join our dynamic Dermpath team at Dartmouth. Great colleagues, strong subspecialty support and molecular tools, and a beautiful place to live! Details: pathologyoutlines.com/jobs#job_10091

We’re hiring! Join our dynamic Dermpath team at Dartmouth. Great colleagues, strong subspecialty support and molecular tools, and a beautiful place to live!

Details: pathologyoutlines.com/jobs#job_10091