Jay Khambhati (@jkhambhati) 's Twitter Profile
Jay Khambhati

@jkhambhati

Structural Interventional Cardiologist, Assistant Professor @UChicagoMed @UChiPritzker || Alum: @BWHIntCard @MGHcvfellows @EmoryDeptofMed

ID: 37868354

calendar_today05-05-2009 05:52:24

769 Tweet

1,1K Followers

3,3K Following

Dr. Gilbert Tang (@gilberttangmd) 's Twitter Profile Photo

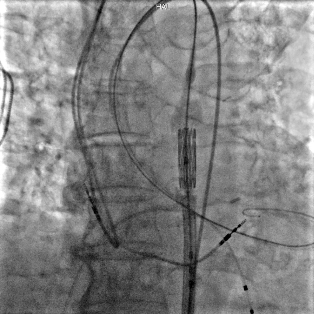
JUST OUT #NYV2025 #JACCINT JACC Journals our FIH report on CT FLUORO analysis of index and 2nd TAV in REDO #TAVR. Index failed TAV 100% underexpanded except functional leaflet area of Evolut. Pre dilate expands 1st short TAV. 2nd TAV 100% underexpanded despite 100% post

JUST OUT #NYV2025 #JACCINT <a href="/JACCJournals/">JACC Journals</a> our FIH report on CT FLUORO analysis of index and 2nd TAV in REDO #TAVR. Index failed TAV 100% underexpanded except functional leaflet area of Evolut. Pre dilate expands 1st short TAV. 2nd TAV 100% underexpanded despite 100% post
JACC Journals (@jaccjournals) 's Twitter Profile Photo

First study reporting valve frame expansion & geometry by MDCT and fluoroscopy of both index & second valve in patients undergoing redo-TAVR. Larger studies with longer follow-up are needed jacc.org/doi/10.1016/j.… #JACCINT #TAVR #NYValves2025

First study reporting valve frame expansion &amp; geometry by MDCT and fluoroscopy of both index &amp; second valve in patients undergoing redo-TAVR. Larger studies with longer follow-up are needed jacc.org/doi/10.1016/j.…

#JACCINT #TAVR #NYValves2025
EHJ Editor-in-Chief (@ehj_ed) 's Twitter Profile Photo

For patients with blocked artificial heart valves, surgery isn’t always the safer or better option. Fibrinolytic therapy can work just as well with fewer serious risks. Read more in #EHJ. doi.org/10.1093/eurhea… #valve #thrombosis #cardiotwitter European Society of Cardiology Journals European Society of Cardiology

For patients with blocked artificial heart valves, surgery isn’t always the safer or better option.  Fibrinolytic therapy can work just as well with fewer serious risks. Read more in #EHJ.
doi.org/10.1093/eurhea…
#valve #thrombosis #cardiotwitter <a href="/ESC_Journals/">European Society of Cardiology Journals</a> <a href="/escardio/">European Society of Cardiology</a>
EuroIntervention (@eurointerventio) 's Twitter Profile Photo

When transfemoral access is not feasible for #TAVI, transcaval access may offer a solution. This case showed a modified #transcaval approach using IVUS to navigate severe aortic calcification, enabling safe valve delivery in a high-risk patient. ow.ly/1O1l50W75hh #EAPCI

When transfemoral access is not feasible for #TAVI, transcaval access may offer a solution.
This case showed a modified #transcaval approach using IVUS to navigate severe aortic calcification, enabling safe valve delivery in a high-risk patient.
ow.ly/1O1l50W75hh
 #EAPCI
Robert Zhang MD (@robertshiuzhang) 's Twitter Profile Photo

Incredible work now out in #JACCIMG led by pablo villar calle & Jiwon Kim, MD: Mid-wall fibrosis (MWF) by CMR predicts mortality🪦in tricuspid regurgitation🫀. MWF marks⬆️ risk, but could it be the🔑on when to intervene?🕒 🔗jacc.org/doi/10.1016/j.… #WhyCMR JACC Journals Omar Khalique

Incredible work now out in #JACCIMG led by <a href="/pablovillarcall/">pablo villar calle</a> &amp; <a href="/JiwonKimMD/">Jiwon Kim, MD</a>: Mid-wall fibrosis (MWF) by CMR predicts mortality🪦in tricuspid regurgitation🫀. MWF marks⬆️ risk, but could it be the🔑on when to intervene?🕒

🔗jacc.org/doi/10.1016/j.…
#WhyCMR <a href="/JACCJournals/">JACC Journals</a> <a href="/OKhaliqueMD/">Omar Khalique</a>
Robert W. Yeh (@rwyeh) 's Twitter Profile Photo

Our study on radial artery PCI use in the US, out in European Heart Journal - Radial PCI now over 60% of all PCI - Significant provider variation remains - In IV analysis, radial reduced death and major bleeding, w small Increase in stroke BIDMC Smith Center tinyurl.com/vy3f83ek

William Suh, MD (@willsuh76) 's Twitter Profile Photo

#TAVR Bumper Technique This visual shows how this technique works. Without bumper, the leading edge of the THV stent can catch a lip of calcium. With bumper, the 🎈bulges over the leading edge and protects it from catching calcium. Also prevents scraping in aorta.

#TAVR Bumper Technique

This visual shows how this technique works. 

Without bumper, the leading edge of the THV stent can catch a lip of calcium. 

With bumper, the 🎈bulges over the leading edge and protects it from catching calcium. Also prevents scraping in aorta.
Sandeep Nathan, MD, MSc (@sandeepnathanmd) 's Twitter Profile Photo

Love walking into the #CathLab to find the old pt prep pathway (which worked just fine BTW) replaced by a new process, complete with emojis, an acronym that makes no sense (O=Room Ready) & a cryptic 8 page tip sheet. Grateful to have one more weapon in the war against efficiency.

Love walking into the #CathLab to find the old pt prep pathway (which worked just fine BTW) replaced by a new process, complete with emojis, an acronym that makes no sense (O=Room Ready) &amp; a cryptic 8 page tip sheet. Grateful to have one more weapon in the war against efficiency.
UChicagoCardio (@uchicagocardio) 's Twitter Profile Photo

Big news in pulmonary embolism care: University of Chicago Medicine has been named a Comprehensive Pulmonary Embolism Center of Excellence by The PERT Consortium®. 🔹 1 of only 6 centers in the U.S. 🔹 The first and only in the Midwest Led by Jonathan Paul, MD (Jonathan Paul),

Big news in pulmonary embolism care: University of Chicago Medicine has been named a Comprehensive Pulmonary Embolism Center of Excellence by <a href="/PERTConsortium/">The PERT Consortium®</a>.

🔹 1 of only 6 centers in the U.S.
🔹 The first and only in the Midwest

Led by Jonathan Paul, MD (<a href="/Jonathan_PaulMD/">Jonathan Paul</a>),
Andrea Scotti (@andreascotti21) 's Twitter Profile Photo

✨Transcatheter TV Intervention: Where Do We Stand? 🗞️Read here my Editorial Page for the current issue of #JACCCaseReports full of interesting cases 🔗authors.elsevier.com/sd/article/S26… Dr. Gilbert Tang American College of Cardiology #CardioED #MedEd

✨Transcatheter TV Intervention: Where Do We Stand?

🗞️Read here my Editorial Page for the current issue of #JACCCaseReports full of interesting cases

🔗authors.elsevier.com/sd/article/S26…

<a href="/GilbertTangMD/">Dr. Gilbert Tang</a> <a href="/ACCinTouch/">American College of Cardiology</a> 
#CardioED #MedEd
Sandeep Nathan, MD, MSc (@sandeepnathanmd) 's Twitter Profile Photo

This week, we raised Dr. Roberto Lang’s lead to the #UChicagoCathLab rafters in tribute to our dear friend & the luminary we UChicago Medicine had the privilege to learn so much from. Thank you for everything Roberto. You will be missed. #CardioTwitter

This week, we raised Dr. Roberto Lang’s lead to the #UChicagoCathLab rafters in tribute to our dear friend &amp; the luminary we <a href="/UChicagoMed/">UChicago Medicine</a> had the privilege to learn so much from.  Thank you for everything Roberto.  You will be missed. #CardioTwitter
Heart_BMJ (@heart_bmj) 's Twitter Profile Photo

Long-term outcomes of intravascular ultrasound-guided percutaneous coronary intervention versus coronary artery bypass grafting for multivessel coronary artery disease bit.ly/445y1X7

Long-term outcomes of intravascular ultrasound-guided percutaneous coronary intervention versus coronary artery bypass grafting for multivessel coronary artery disease bit.ly/445y1X7
EuroIntervention (@eurointerventio) 's Twitter Profile Photo

A 1-month prasugrel-based DAPT followed by low-dose monotherapy significantly reduced 12-month adverse events vs 12-month DAPT in ACS patients treated with drug-coated stents. 🔻 49% lower NACE 🔻 77% lower bleeding No increase in ischaemic events. ow.ly/5NsV50WtYHI

A 1-month prasugrel-based DAPT followed by low-dose monotherapy significantly reduced 12-month adverse events vs 12-month DAPT in ACS patients treated with drug-coated stents.
🔻 49% lower NACE
🔻 77% lower bleeding
No increase in ischaemic events.
ow.ly/5NsV50WtYHI
JACC Journals (@jaccjournals) 's Twitter Profile Photo

NCPI strategy could be a general method used in #TAVR with a self-expanding valve for patients with pure native aortic regurgitation, which had a higher device success rate & lower rate of complications than the conventional method. jacc.org/doi/10.1016/j.… #JACCAsia #MACE #vhdAR

JACC Journals (@jaccjournals) 's Twitter Profile Photo

Compared with TAVs and BAVs type 1 (BAV-1; 1 raphe), BAV type 0 (BAV-0; no raphe) was associated with a better long-term prognosis among patients with severe AS undergoing #TAVR procedures. jacc.org/doi/10.1016/j.… #JACCINT #vhdAS

Compared with TAVs and BAVs type 1 (BAV-1; 1 raphe), BAV type 0 (BAV-0; no raphe) was associated with a better long-term prognosis among patients with severe AS undergoing #TAVR procedures. jacc.org/doi/10.1016/j.…  #JACCINT #vhdAS