Jaclyn Rudzinski, MD (@jlrudzinskimd) 's Twitter Profile
Jaclyn Rudzinski, MD

@jlrudzinskimd

AP CP cytology boarded pathologist | BSWH hospital laboratory medical director | Posts are so I remember the lesson | #surgpath #cytopath

ID: 1200546499123466240

linkhttps://www.linkedin.com/in/jaclyn-rudzinski-md-1007341a5/ calendar_today29-11-2019 22:46:15

2,2K Tweet

1,1K Followers

2,2K Following

Miruna Popescu, MD (@mirunapopescu13) 's Twitter Profile Photo

GIST imitating archipelago growth pattern of renal oncocytoma 🔬 Also 👀 beautiful paranuclear vacuoles characteristic of gastrointestinal stromal tumors. The beauty of #pathology #GUPath + #BSTPath = ♥️

GIST imitating archipelago growth pattern of renal oncocytoma 🔬
Also 👀 beautiful paranuclear vacuoles characteristic of gastrointestinal stromal tumors.
The beauty of #pathology 

#GUPath + #BSTPath = ♥️
Ankur Sangoi (@slusagar) 's Twitter Profile Photo

Anirban Maitra That’s awesome! b/c you mentioned it… collagenous colitis Dx on a pros bx (f/u proper colo+bx’s confirmed it; pt had watery diarrhea along with elevated PSA😅)

<a href="/Aiims1742/">Anirban Maitra</a> That’s awesome!

b/c you mentioned it…

collagenous colitis Dx on a pros bx (f/u proper colo+bx’s confirmed it; pt had watery diarrhea along with elevated PSA😅)
DavidSusterMD (@mdsuster) 's Twitter Profile Photo

Malignant Phyllodes Tumor of the Breast With Multiple Cutaneous Metastasis Resembling Pleomorphic Rhabdomyosarcoma pubmed.ncbi.nlm.nih.gov/39660950/

Malignant Phyllodes Tumor of the Breast With Multiple Cutaneous Metastasis Resembling Pleomorphic Rhabdomyosarcoma

pubmed.ncbi.nlm.nih.gov/39660950/
Janira Navarro (@janiranavarro) 's Twitter Profile Photo

Biliary tract biopsy-10 tips to recognize cancer when conventional criteria fail you 1. Dysplasia does not produce a stricture, this finding almost always represent carcinoma 2. Most adenocarcinomas do not elicit desmoplasia when invading the mucosa 3. Abrupt transitions between

Biliary tract biopsy-10 tips to recognize cancer when conventional criteria fail you

1. Dysplasia does not produce a stricture, this finding almost always represent carcinoma
2. Most adenocarcinomas do not elicit desmoplasia when invading the mucosa
3. Abrupt transitions between
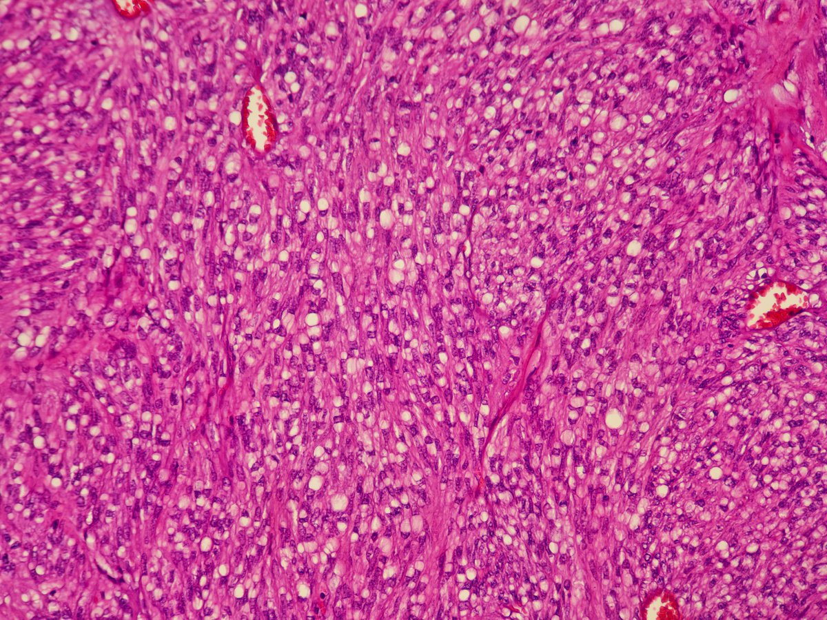
Kalyani Bambal (@kriyer68) 's Twitter Profile Photo

Dan Graham Kinda GISTy vibes.I had an E-GIST some years back that looked exactly like this.Of course other usual suspects to rule out Kit,CD34,STAT6,SMA,S100,SOX10.

Jaclyn Rudzinski, MD (@jlrudzinskimd) 's Twitter Profile Photo

This and other pigment such as exogenous (skin) tattoo can sometimes be appreciated on SLN touch preparation, such as for intraoperative evaluation. #breastpath #pathX #pathTwitter

Jaclyn Rudzinski, MD (@jlrudzinskimd) 's Twitter Profile Photo

Well done @CAPathologists This webinar from earlier 2025 is worth a listen start to finish. (Register to play.) Workload x Compensation 300+ registered for the Live Did you know, dollars/wRVU are lower at the higher end of the RVU curve? register.gotowebinar.com/recording/5320…

Well done @CAPathologists

This webinar from earlier 2025 is worth a listen start to finish. 

(Register to play.)

Workload x Compensation

300+ registered for the Live

Did you know, dollars/wRVU are lower at the higher end of the RVU curve? 

register.gotowebinar.com/recording/5320…
Jaclyn Rudzinski, MD (@jlrudzinskimd) 's Twitter Profile Photo

.Dan Graham nicely organized the approach, ty Features present: Dense fibrous banding, the main atypical finding. Absent: No necrosis, prom. nucleoli, coarse chromatin. More importantly, no vasc inv, no PNI, no inv of adjacent Clinically: No mets Diagnosis: Atypical adenoma