Kristine M Cornejo MD (@kmcornejomd) 's Twitter Profile
Kristine M Cornejo MD

@kmcornejomd

Dermatopathologist and Genitourinary Pathologist, Massachusetts General Hospital; Assistant Professor of Pathology, Harvard Medical School

ID: 1373404200592404486

calendar_today20-03-2021 22:41:06

19 Tweet

268 Followers

87 Following

Andres Martin Acosta (Andy) (@andres_m_acosta) 's Twitter Profile Photo

Our article on secondary solid tumors of the prostate is now available online. Clinicopathologic Spectrum of Secondary Solid Tumors of the ... : The American Journal of Surgical Pathology journals.lww.com/ajsp/Abstract/… #pathology #PathTwitter @JGordetsky No longer active - Katrina Collins Ankur Sangoi

GU Pathology Society (GUPS) (@gu_path_society) 's Twitter Profile Photo

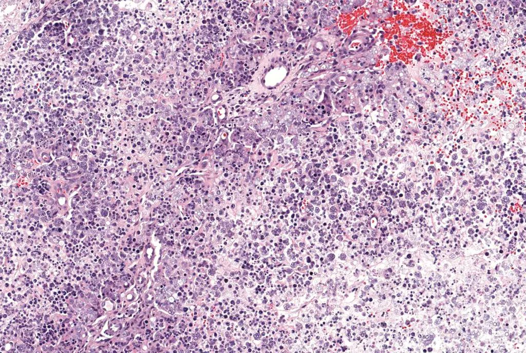
A male in his 20s, presented with a rapidly enlarging painless right scrotal mass. Contributors: Crystal (Yitong) Xu, Kiril_T_Can The GU Pathology Society (GUPS) Case of the Week: gupathsociety.org/COW-2022-16 Send your cases to @akgulMD #GUPSCOW #GUpath #pathology

A male in his 20s, presented with a rapidly enlarging painless right scrotal mass.

Contributors: Crystal (Yitong) Xu, <a href="/Kiril_T_Can/">Kiril_T_Can</a>

The <a href="/GU_Path_Society/">GU Pathology Society (GUPS)</a> Case of the Week: gupathsociety.org/COW-2022-16

Send your cases to @akgulMD 
#GUPSCOW #GUpath #pathology
Silver Age Television 📺 (@silveragetv) 's Twitter Profile Photo

44 years ago tonight on April 22, 1978, The #BluesBrothers (#JohnBelushi and #DanAykroyd) make their first appearance on the late-night variety series #SaturdayNightLive.

GU Pathology Society (GUPS) (@gu_path_society) 's Twitter Profile Photo

A man in his early 50s underwent a total nephrectomy due to a 4.5cm solid tumor. Contributors: Caroline Passos Cardoso, Daniel Athanazio The GU Pathology Society (GUPS) Case of the Week: gupathsociety.org/COW-2022-17 Send your cases to @akgulMD #GUPSCOW #GUpath #pathology

A man in his early 50s underwent a total nephrectomy due to a 4.5cm solid tumor.

Contributors: Caroline Passos Cardoso, Daniel Athanazio

The <a href="/GU_Path_Society/">GU Pathology Society (GUPS)</a> Case of the Week: gupathsociety.org/COW-2022-17

Send your cases to @akgulMD 
#GUPSCOW #GUpath #pathology
Mass General Brigham (@massgenbrigham) 's Twitter Profile Photo

With contributions from more than 1,000 technologists, 300 laboratory assistants, 400 phlebotomists and 250 pathologists across the system, it's a true team effort. As we close #LabWeek, we thank Mass General Brigham's laboratory professionals. Photo: MGH Pathology

With contributions from more than 1,000 technologists, 300 laboratory assistants, 400 phlebotomists and 250 pathologists across the system, it's a true team effort. As we close #LabWeek, we thank Mass General Brigham's laboratory professionals. Photo: <a href="/MGHPathology/">MGH Pathology</a>
Erik Kouba (@ekoubamd) 's Twitter Profile Photo

Urothelial CIS of urethral margin (frozen and permanent). Recent published algorithm for urethral frozen section in cystectomy doi.org/10.1016/j.euf.… #gupath #bladdercancer #frozenpath

Urothelial CIS of urethral margin (frozen and permanent). Recent published algorithm for urethral frozen section in cystectomy doi.org/10.1016/j.euf.…
#gupath #bladdercancer #frozenpath
Samson W. Fine, MD (@rovingatuscap) 's Twitter Profile Photo

Monday 8/1 GU Pathology Society (GUPS) Virtual Education Series: #gupath Educational Updates Register 👇🏻 👇🏻 👇🏻 Andres Martin Acosta (Andy) - Sex Cord Stromal Tumors @GA_Giannico - Penile Intraepithelial Neoplasia Khaleel Al-Obaidy, MD, FCAP, FASCP - Papillary Renal Neoplasia Co-Hosts: Sounak Gupta CristinaMagiGalluzzi

International Society of Gynecologic Pathologists (@isgynp) 's Twitter Profile Photo

Still time to register for free: Eighteen 20 minute mini-lectures by international #gynpath experts at the International Society of Gynecologic Pathologists Annual Meeting this weekend, Nov 5. Preview digital scanned slides in advance at pathpresenter.net/public/present… register at isgyp.ca #pathtwitter

Still time to register for free: Eighteen 20 minute mini-lectures by international #gynpath experts at the <a href="/ISGynP/">International Society of Gynecologic Pathologists</a> Annual Meeting this weekend, Nov 5.  Preview digital scanned slides in advance at pathpresenter.net/public/present…   register at isgyp.ca  #pathtwitter
Jerad Gardner, MD (@jmgardnermd) 's Twitter Profile Photo

BEST example EVER of ultra-rare disease! Elderly man, hx of lymphoma, leg mass arose weeks after he cut leg on wood in garden. HE, PASD, GMS. WSI: kikoxp.com/posts/5159. Answer: kikoxp.com/posts/5155. #pathology #pathologists #pathTwitter #dermpath #dermatology #dermtwitter

BEST example EVER of ultra-rare disease! Elderly man, hx of lymphoma, leg mass arose weeks after he cut leg on wood in garden. HE, PASD, GMS. WSI: kikoxp.com/posts/5159. Answer: kikoxp.com/posts/5155. #pathology #pathologists #pathTwitter #dermpath #dermatology #dermtwitter
Gladell Paner, MD (@gladellpaner) 's Twitter Profile Photo

As we prepare for the first ever International Society of Urological Pathology Consensus Conference on Urachal Neoplasms. Let’s remind ourselves that this can occur… 👉Papillary urothelial carcinoma within a (supravesical) urachal remnant. The vast majority of urachal tumors are glandular (adenocarcinoma).

As we prepare for the first ever <a href="/IntSocUropath/">International Society of Urological Pathology</a> Consensus Conference on Urachal Neoplasms.

Let’s remind ourselves that this can occur…

👉Papillary urothelial carcinoma within a (supravesical) urachal remnant.

The vast majority of urachal tumors are glandular (adenocarcinoma).