Keshvi Chauhan (@keshvichauhan) 's Twitter Profile
Keshvi Chauhan

@keshvichauhan

Cardiology Fellow at University of Wisconsin, Madison 2024-2027 | Medicine | Music | 🐶 | 🫀 |

ID: 4270194492

calendar_today17-11-2015 18:11:37

798 Tweet

504 Followers

784 Following

Dr G Rajesh (Gopalan Nair Rajesh) (@drrajeshg1) 's Twitter Profile Photo

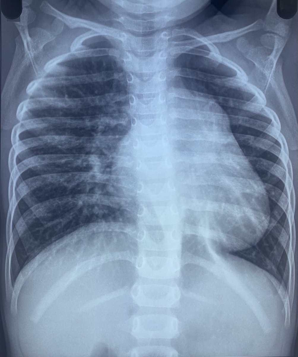
3 yr old child with H/O recurrent resp infection in infancy. Had first echo at the age of 2 years only (by an adult cardiologist) which was reported as normal. Now findings suggestive of severe PH. What lesion might have been missed in the first echo?

3 yr old child with H/O recurrent resp infection in infancy. Had first echo at the age of 2 years only (by an adult cardiologist) which was reported as normal. Now findings suggestive of severe PH. What lesion might have been missed in the first echo?
Keshvi Chauhan (@keshvichauhan) 's Twitter Profile Photo

University of Wisconsin, Madison - Department of Medicine Research Day with my co-fellow Dr. Christina Hughey! Glad to be a part of her ingenious project and excited for our fellowship’s own echo education app!

University of Wisconsin, Madison - Department of Medicine Research Day with my co-fellow Dr. Christina Hughey! Glad to be a part of her ingenious project and excited for our fellowship’s own echo education app!
Keshvi Chauhan (@keshvichauhan) 's Twitter Profile Photo

Our paper is out! Thanks to my mentor Ravi Dhingra - Clinical Outcomes for Heart‐Alone and Multiorgan Transplant Under the New Heart Allocation Policy Era | Journal of the American Heart Association ahajournals.org/doi/10.1161/JA…

JAHA (@jaha_aha) 's Twitter Profile Photo

Waitlist mortality improves for heart-alone transplants but not for multiorgan transplants after UNOS policy change. #AHAJournals Keshvi Chauhan Ravi Dhingra ahajrnls.org/3G0YV8S

Waitlist mortality improves for heart-alone transplants but not for multiorgan transplants after UNOS policy change. #AHAJournals <a href="/KeshviChauhan/">Keshvi Chauhan</a> <a href="/RaviDhingraMD/">Ravi Dhingra</a> ahajrnls.org/3G0YV8S