Virtual Pathology at The University of Leeds (@leedspathology) 's Twitter Profile
Virtual Pathology at The University of Leeds

@leedspathology

The Virtual Pathology project at the University of Leeds. Any use of website material.. please credit by citation of source. Commercial use by permission only.

ID: 273933225

linkhttp://www.virtualpathology.leeds.ac.uk calendar_today29-03-2011 12:10:04

1,1K Tweet

8,8K Followers

691 Following

National Pathology Imaging Co-operative (NPIC) (@npicdigital) 's Twitter Profile Photo

Registration is now OPEN! It's the final webinar of the second series! Join senior members of the NPIC team for a discussion session followed by a Q&A. Date: Tuesday 11th March Time: 3pm to 4pm. Please register here: events.teams.microsoft.com/event/b46d9cac… #digitalpathology

National Pathology Imaging Co-operative (NPIC) (@npicdigital) 's Twitter Profile Photo

A reminder that registration is open for the final webinar in this series of free educational webinars all on digital pathology topics. This will be taking place on Tuesday 11th March 2025 from 3pm to 4pm. Please register here: events.teams.microsoft.com/event/b46d9cac… #digitalpathology

Virtual Pathology at The University of Leeds (@leedspathology) 's Twitter Profile Photo

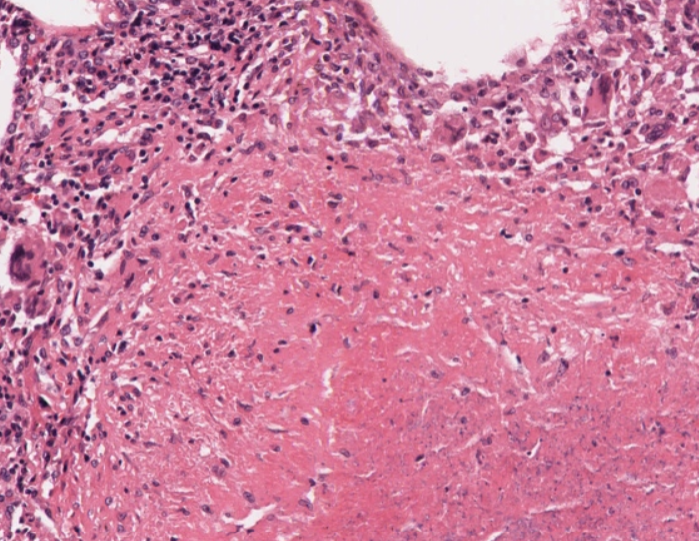
What neoplasm is causing this clavicular mass in a 65 year old man? View the whole slide on the Leeds Virtual Pathology Website here 🔬🔬🔬virtualpathology.leeds.ac.uk/slides/library… #softtissuepath #pathX #caseoftheweek

What neoplasm is causing this clavicular mass in a 65 year old man? View the whole slide on the Leeds Virtual Pathology Website here 🔬🔬🔬virtualpathology.leeds.ac.uk/slides/library… #softtissuepath #pathX #caseoftheweek
National Pathology Imaging Co-operative (NPIC) (@npicdigital) 's Twitter Profile Photo

Just a reminder that registration is OPEN! Don’t miss out! Join senior members of NPIC for a discussion session with a live Q&A. Webinar 8 will be taking place on Tuesday 11th March 2025 from 3-4pm. Register here: events.teams.microsoft.com/event/b46d9cac…

National Pathology Imaging Co-operative (NPIC) (@npicdigital) 's Twitter Profile Photo

1 WEEK TO GO! Register for the final webinar of this series! In this webinar you will hear from senior members of NPIC and then have the chance to pose your questions in a live Q&A session! Tuesday 11th March 2025 from 3-4pm. Register here: events.teams.microsoft.com/event/b46d9cac…

National Pathology Imaging Co-operative (NPIC) (@npicdigital) 's Twitter Profile Photo

Remember to register and join us next Tuesday, 11th March. We'll be joined by senior members of NPIC to discuss key opportunities, challenges and achievements of the National Pathology Imaging Co-Operative. Followed by a live Q&A. Register here: events.teams.microsoft.com/event/b46d9cac…

National Pathology Imaging Co-operative (NPIC) (@npicdigital) 's Twitter Profile Photo

Reminder to register for the final webinar in this series of free educational webinars on digital pathology! It will be taking place tomorrow from 3-4pm GMT. Registration is still open, don't miss out! Follow this link for registration information: events.teams.microsoft.com/event/b46d9cac…

Virtual Pathology at The University of Leeds (@leedspathology) 's Twitter Profile Photo

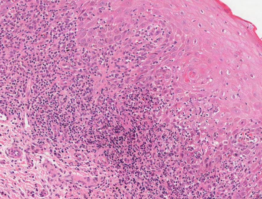
#caseoftheweek 🔬🔬🔬🔬What is causing this lesion from the skin of a 50 year old woman? S100 and PAS-D positive #dermpath #pathtwitter #pathX Full slide here: virtualpathology.leeds.ac.uk/slides/library…

#caseoftheweek 🔬🔬🔬🔬What is causing this lesion from the skin of a 50 year old woman? S100 and PAS-D positive #dermpath #pathtwitter #pathX Full slide here: virtualpathology.leeds.ac.uk/slides/library…
Virtual Pathology at The University of Leeds (@leedspathology) 's Twitter Profile Photo

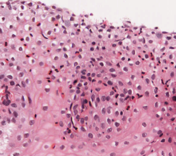
#caseoftheweek 🔬🔬🔬🔬What is causing dysphagia in this 40 year old woman? #GIpath #pathtwitter #pathX Full slide of the oesophageal biopsies here: virtualpathology.leeds.ac.uk/slides/library…

#caseoftheweek 🔬🔬🔬🔬What is causing dysphagia in this 40 year old woman? #GIpath #pathtwitter #pathX Full slide of the oesophageal biopsies here: virtualpathology.leeds.ac.uk/slides/library…
Virtual Pathology at The University of Leeds (@leedspathology) 's Twitter Profile Photo

#caseoftheweek 🔬🔬🔬🔬What is causing a cough and fever in this 55 year old man? #pathtwitter #pathX Full slide here: virtualpathology.leeds.ac.uk/slides/library…

#caseoftheweek 🔬🔬🔬🔬What is causing a cough and fever in this 55 year old man?  #pathtwitter #pathX Full slide here: virtualpathology.leeds.ac.uk/slides/library…
Virtual Pathology at The University of Leeds (@leedspathology) 's Twitter Profile Photo

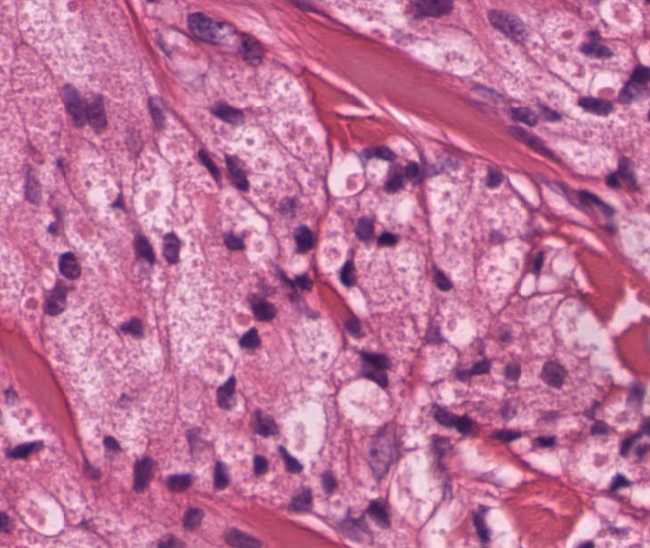
#caseoftheweek What was causing a headache in this 81 year old? #neuropathology #pathX View the whole slide and thousands of others here virtualpathology.leeds.ac.uk/slides/library… on the Leeds virtual pathology website

#caseoftheweek What was causing a headache in this 81 year old? #neuropathology #pathX
View the whole slide and thousands of others here virtualpathology.leeds.ac.uk/slides/library… on the Leeds virtual pathology website
Virtual Pathology at The University of Leeds (@leedspathology) 's Twitter Profile Photo

#caseoftheweek #pathX #gynaepath What is causing omental masses in this 58 year old woman? View the full slide on the Leeds Virtual Pathology Website here: virtualpathology.leeds.ac.uk/slides/library…

#caseoftheweek #pathX #gynaepath What is causing omental masses in this 58 year old woman? View the full slide on the Leeds Virtual Pathology Website here: virtualpathology.leeds.ac.uk/slides/library…
Virtual Pathology at The University of Leeds (@leedspathology) 's Twitter Profile Photo

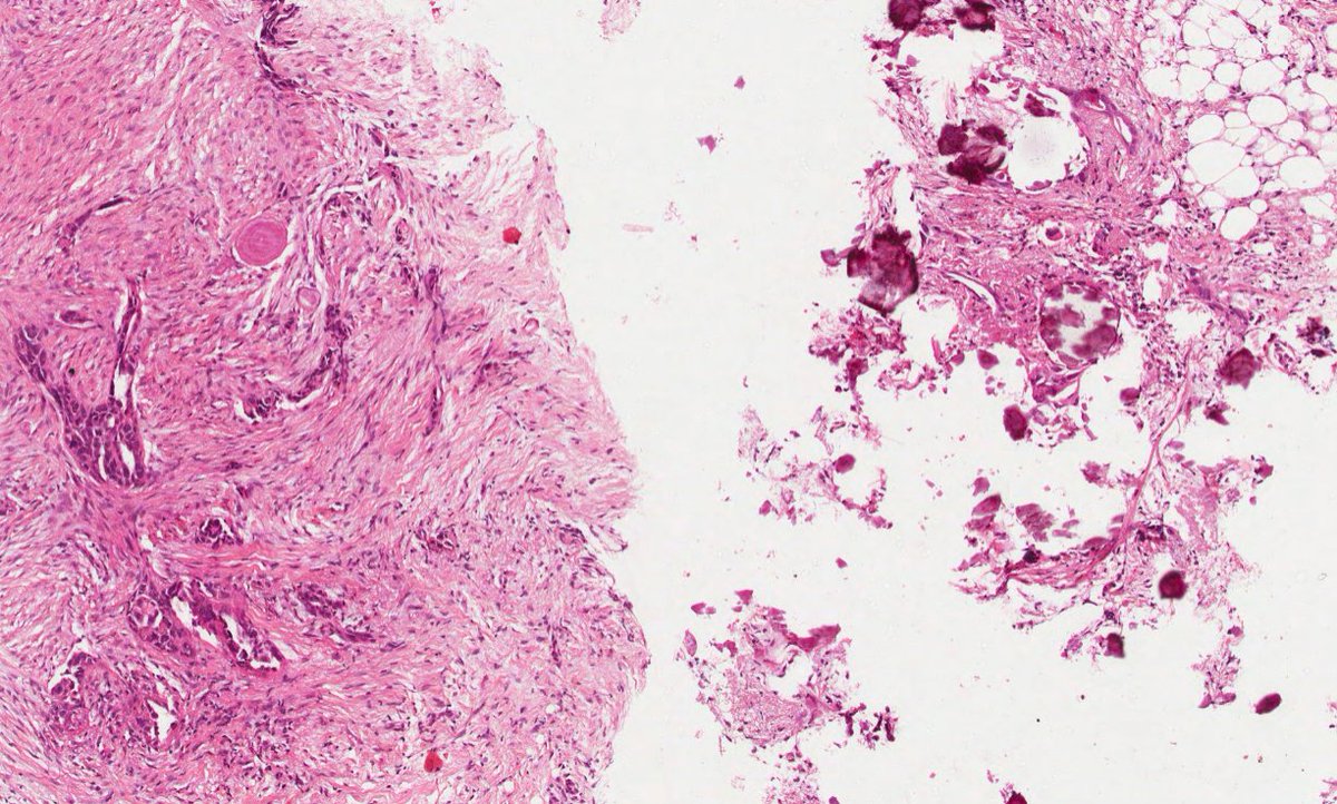
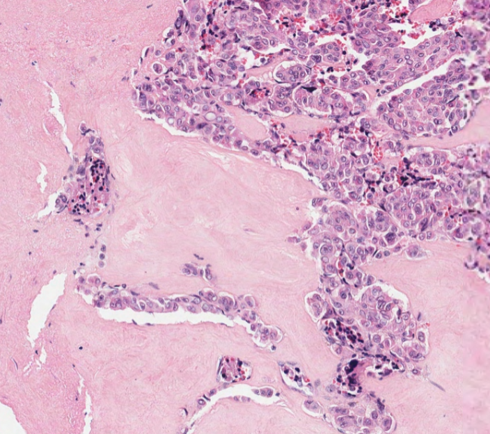
#caseoftheweek #pathX🔬🔬🔬What is this thyroid tumour taken from a 58 year old man? Congo red positive. View the H&E here: virtualpathology.leeds.ac.uk/slides/library… View the FNA here: virtualpathology.leeds.ac.uk/slides/library…

#caseoftheweek #pathX🔬🔬🔬What is this thyroid tumour taken from a 58 year old man? Congo red positive. View the H&E here: virtualpathology.leeds.ac.uk/slides/library… View the FNA here: virtualpathology.leeds.ac.uk/slides/library…
Virtual Pathology at The University of Leeds (@leedspathology) 's Twitter Profile Photo

Cases and answers for the 2025 BSH meeting are now live! View all the slides on the Leeds Virtual Pathology Website here: virtualpathology.leeds.ac.uk/hmds/slide_sem… 🔬🩸 #haempath #pathX #pathtwitter

Virtual Pathology at The University of Leeds (@leedspathology) 's Twitter Profile Photo

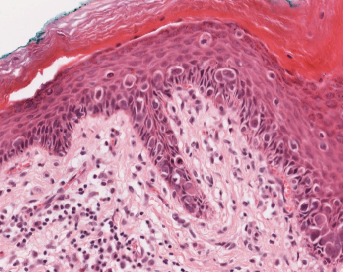
#caseoftheweek 🔬🔬🔬 Lovely example of a cause of a lacy white plaque on the oral mucosa. View the full slide here: virtualpathology.leeds.ac.uk/slides/library… #pathX #PathTwitter

#caseoftheweek 🔬🔬🔬 Lovely example of a cause of a lacy white plaque on the oral mucosa. View the full slide here: virtualpathology.leeds.ac.uk/slides/library…  #pathX #PathTwitter
Virtual Pathology at The University of Leeds (@leedspathology) 's Twitter Profile Photo

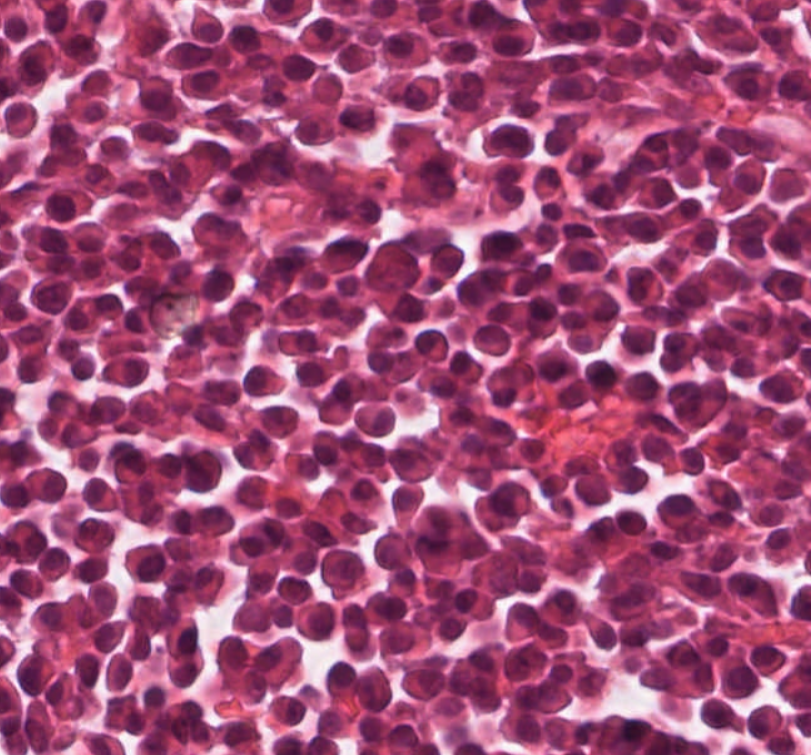
#caseoftheweek 🔬🔬🔬 What is causing a testicular lump in this patient with a raised LDH? View the full slide and thousands of others on the Leeds Virtual pathology website here:virtualpathology.leeds.ac.uk/slides/library… #pathX #PathTwitter #uropath

#caseoftheweek 🔬🔬🔬 What is causing a testicular lump in this patient with a raised LDH? View the full slide and thousands of others on the Leeds Virtual pathology website here:virtualpathology.leeds.ac.uk/slides/library… #pathX #PathTwitter #uropath
Virtual Pathology at The University of Leeds (@leedspathology) 's Twitter Profile Photo

#caseoftheweek 🔬🔬🔬 What is causing this vulval lesion in this 57 year old woman? View the full slides on the Leeds Virtual pathology website here: virtualpathology.leeds.ac.uk/slides/library… #pathX #PathTwitter #gynaepath

#caseoftheweek 🔬🔬🔬 What is causing this vulval lesion in this 57 year old woman? View the full slides on the Leeds Virtual pathology website here: virtualpathology.leeds.ac.uk/slides/library… #pathX #PathTwitter #gynaepath
Virtual Pathology at The University of Leeds (@leedspathology) 's Twitter Profile Photo

Have you ever created or used a digital pathology dataset? Researchers at the University of Leeds are looking for your thoughts in a short survey: forms.office.com/Pages/Response…