Luca Barca MD (@luca_boat) 's Twitter Profile
Luca Barca MD

@luca_boat

Cardiology Resident - Policlinico San Martino e Università di Genova

ID: 1621264230522421250

linkhttps://www.linkedin.com/in/luca-barca-md-16225a173/ calendar_today02-02-2023 21:48:19

12 Tweet

23 Followers

37 Following

Italian Cardiologists Of Tomorrow (@italian_cot) 's Twitter Profile Photo

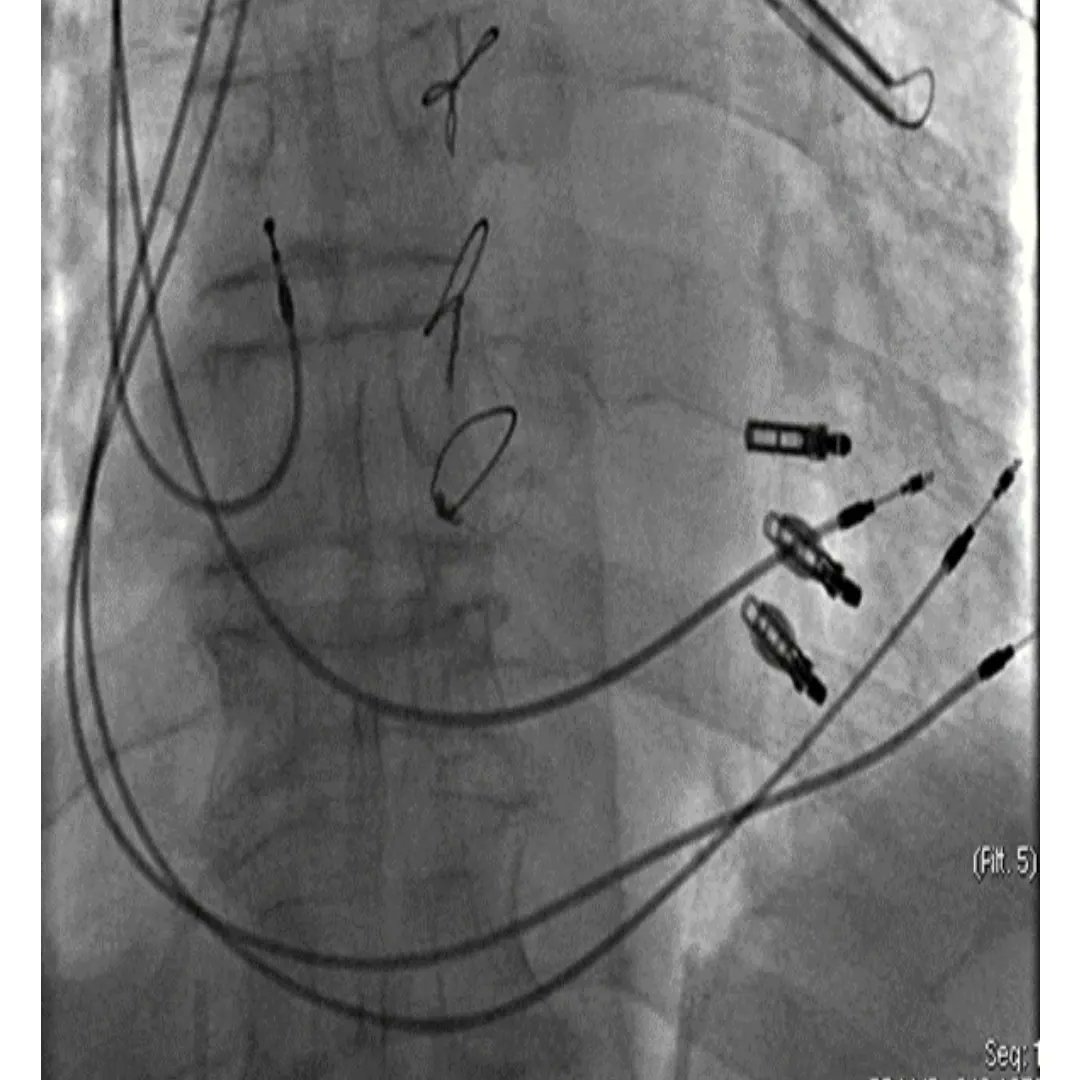
💡🫀ICOT Clinical case of the week🫀🧠 💡Un raro caso di estrazione di elettrocateteri 💡 🧠 Università degli Studi di Brescia. ❗️Leggi il caso clinico completo 👉📌 italiancot.it/2023/03/10/un-… #cardiologyfellow #cardiologia #ECG #cardiovascular #echocardiography #ITcardiology

💡🫀ICOT Clinical case of the week🫀🧠

💡Un raro caso di estrazione di elettrocateteri 💡
🧠 Università degli Studi di Brescia. 

❗️Leggi il caso clinico completo 
👉📌 italiancot.it/2023/03/10/un-…
 #cardiologyfellow #cardiologia #ECG #cardiovascular #echocardiography  #ITcardiology
Italian Cardiologists Of Tomorrow (@italian_cot) 's Twitter Profile Photo

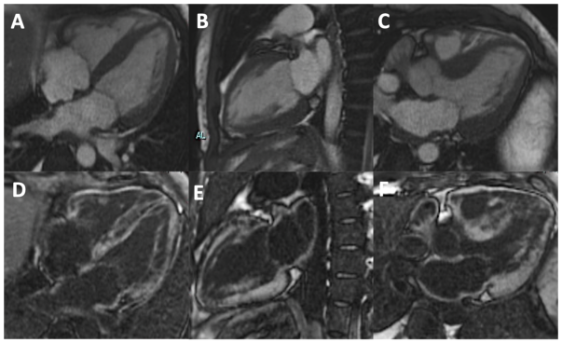
💡🫀ICOT Clinical case of the week🫀🧠 💡UNO STRANO CASO DI MALATTIA ARITMOGENA AD INTERESSAMENTO BIVENTRICOLARE…O FORSE NO?💡 🧠 Alma Mater Studiorum Università di Bologna. ❗️Leggi il caso clinico completo italiancot.it/2023/03/18/161… #cardiology #echocardiography #ITcardiology

💡🫀ICOT Clinical case of the week🫀🧠

💡UNO STRANO CASO DI MALATTIA ARITMOGENA AD INTERESSAMENTO BIVENTRICOLARE…O FORSE NO?💡
🧠 Alma Mater Studiorum Università di Bologna.

❗️Leggi il caso clinico completo 
italiancot.it/2023/03/18/161…
#cardiology #echocardiography  #ITcardiology
Italian Cardiologists Of Tomorrow (@italian_cot) 's Twitter Profile Photo

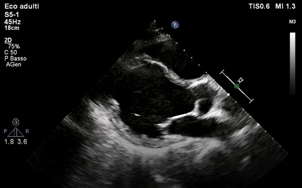
💡ICOT Clinical case of the week 💡 PROCEDURA COMBINATA DI CHIUSURA DELL’AURICOLA SINISTRA E CRIOABLAZIONE DI FIBRILLAZIONE ATRIALE GUIDATA DA MINIMALISTIC APPROACH IMAGING 💡Leggi il caso: italiancot.it/2023/04/07/pro… #cardiology #cardiologyfellow #cardiovascular #ITcardiology

Italian Cardiologists Of Tomorrow (@italian_cot) 's Twitter Profile Photo

💡🧠ICOT Clinical case of the week🧠 💡 Utilizzo della Cardiac Contractility Modulation e della Mitraclip in paziente con scompenso cardiaco a frazione moderatamente ridotta ed insufficienza mitralica severa 💡 💡 Leggi il caso clinico completo su: italiancot.it/2023/04/07/uti…

💡🧠ICOT Clinical case of the week🧠

💡 Utilizzo della Cardiac Contractility Modulation e della Mitraclip in paziente con scompenso cardiaco a frazione moderatamente ridotta ed insufficienza mitralica severa 💡

💡 Leggi il caso clinico completo su: 
italiancot.it/2023/04/07/uti…
Italian Cardiologists Of Tomorrow (@italian_cot) 's Twitter Profile Photo

💡 Shock cardiogeno come prima manifestazione di cardiotossicità indotta da antracicline 💡 🧠A cura di: Cristina Conte, Alessia d’Aiello, Francesco Cribari, Marco del Buono, Gianluigi Saponara, Cristina Aurigemma, Daniela Pedicino, Tommaso Sanna italiancot.it/2023/04/14/sho…

💡 Shock cardiogeno come prima manifestazione di cardiotossicità indotta da antracicline 💡

🧠A cura di: Cristina Conte, Alessia d’Aiello, Francesco Cribari, Marco del Buono, Gianluigi Saponara, Cristina Aurigemma, Daniela Pedicino, Tommaso Sanna

italiancot.it/2023/04/14/sho…
Italian Cardiologists Of Tomorrow (@italian_cot) 's Twitter Profile Photo

💡ICOT Clinical case of the week💡 🫀La verità è spesso ciò che non appare: un caso di tachicardia atriale focale che mima una recidiva di flutter atriale tipico comune🫀 📌Leggi il caso clinico: italiancot.it/.../la-verita-… #cardiology #cardiologyfellow #ECG #cardiac #ITcardiology

💡ICOT Clinical case of the week💡
🫀La verità è spesso ciò che non appare: un caso di tachicardia atriale focale che mima una recidiva di flutter atriale tipico comune🫀
📌Leggi il caso clinico:
italiancot.it/.../la-verita-…
#cardiology #cardiologyfellow #ECG #cardiac #ITcardiology
Italian Cardiologists Of Tomorrow (@italian_cot) 's Twitter Profile Photo

💡ICOT Clinical case of the week🧠 🫀 RISCONTRO OCCASIONALE DI TROMBO IN AURICOLA ATRIALE DESTRA IN UN GIOVANE PAZIENTE CON SCOMPENSO CARDIACO CONGESTIZIO E IN RITMO SINUSALE🫀 📌Caso clinico: italiancot.it/2023/06/03/ris… #cardiology #cardiologia #cardiovascular #cardiac #ITcardiology

💡ICOT Clinical case of the week🧠
🫀 RISCONTRO OCCASIONALE DI TROMBO IN AURICOLA ATRIALE DESTRA IN UN GIOVANE PAZIENTE CON SCOMPENSO CARDIACO CONGESTIZIO E IN RITMO SINUSALE🫀
📌Caso clinico: italiancot.it/2023/06/03/ris…
#cardiology #cardiologia #cardiovascular #cardiac #ITcardiology
Italian Cardiologists Of Tomorrow (@italian_cot) 's Twitter Profile Photo

📣📣📣📣📣 Our project is Out📣📣📣📣 È con grande entusiasmo che siamo lieti di annunciare la pubblicazione della rubrica ICOT Abroad 🌍 Nuove esperienze verranno continuamente aggiornate! 🔥🔥🔥Stay Tuned🔥🔥🔥 italiancot.it/icot-abroad/