Luiz M. Nova-Camacho, MD (@luizmigueln) 's Twitter Profile
Luiz M. Nova-Camacho, MD

@luizmigueln

MD || #Pathologist || More interested in #GIpath & #GUpath || 🇧🇴|🇪🇸|🇺🇸

ID: 2762131920

linkhttp://www.researchgate.net/profile/Luiz-Nova-Camacho calendar_today24-08-2014 11:40:11

2,2K Tweet

1,1K Followers

975 Following

Katrina Collins, MD || Pathologist (@katcollmd) 's Twitter Profile Photo

🔁 New Handle Alert! 🔁 Hey #pathtwitter/#pathX fam! My account has found a new home. Please give me a follow at my new handle, and let's continue this incredible journey together. #gupath #IUPathology 🔗 New Handle: Katrina Collins, MD || Pathologist 🔬 Same Great Content! 🤭

Michigan Pathology (@umichpath) 's Twitter Profile Photo

This year Dr. Rohit Mehra was one of 1,000 physicians recognized in 96 specialities with only 6 pathologists named in Hour Detroit Magazine's Top Doctors list. Congratulations, Dr. Mehra! michmed.org/57Pw2

This year Dr. Rohit Mehra was one of 1,000 physicians recognized in 96 specialities with only 6 pathologists named in <a href="/Hour_Detroit/">Hour Detroit Magazine</a>'s Top Doctors list. Congratulations, Dr. Mehra! michmed.org/57Pw2
Andres Matoso (@andres_matoso) 's Twitter Profile Photo

Primary renal carcinoids are extremely uncommon. The characteristic trabecular pattern might be difficult to identify in a needle biopsy. Monotonous nuclei with inconspicuous nucleoli and abundant eosinophilic cytoplasm are helpful diagnostic clues. Nice weekend everyone!

Primary renal carcinoids are extremely uncommon. The characteristic  trabecular pattern might be difficult to identify in a needle biopsy. Monotonous nuclei with inconspicuous nucleoli and abundant eosinophilic cytoplasm are helpful diagnostic clues. Nice weekend everyone!
ROHIT MEHRA (@drmehrarohit) 's Twitter Profile Photo

Check out our new study characterizing L1CAM/1187 as dual PC/IC cell based lineage markers for HOT in BHD patients-thanks to collaborators 🙏 Surgical Pathology #kidneycancer #Genomics Michigan Pathology U-M Rogel Cancer Center #syndrome #gupath pubmed.ncbi.nlm.nih.gov/37994665/

Check out our new study characterizing L1CAM/1187 as dual PC/IC cell based lineage markers for HOT in BHD patients-thanks to collaborators 🙏 <a href="/AJSPjournal/">Surgical Pathology</a> #kidneycancer #Genomics <a href="/UMichPath/">Michigan Pathology</a> <a href="/UMRogelCancer/">U-M Rogel Cancer Center</a> #syndrome #gupath pubmed.ncbi.nlm.nih.gov/37994665/
Katrina Collins, MD || Pathologist (@katcollmd) 's Twitter Profile Photo

#slidearchiveseries metastatic prostatic adenocarcinoma to testis #gupath #pathtwitter #pathoutpic 🔬 intertubular growth, LVI 1️⃣ usually solitary, unilateral tumors 🤯 may mimic primary tumor (rete adenocarcinoma, Sertoli cell tumor) ⚠️ frequent absence of known primary tumor

#slidearchiveseries metastatic prostatic adenocarcinoma to testis #gupath #pathtwitter #pathoutpic

🔬 intertubular growth, LVI
1️⃣ usually solitary, unilateral tumors
🤯 may mimic primary tumor (rete adenocarcinoma, Sertoli cell tumor)
⚠️ frequent absence of known primary tumor
Katrina Collins, MD || Pathologist (@katcollmd) 's Twitter Profile Photo

🚨 #publicationalert #openaccess #HNpath Neuroblastoma is exceptionally rare in adults, especially in thoracic/mediastinal locations, we add another!! #postertopaper #cap23 CAPathologists Take a look at our article! link.springer.com/10.1186/s13000…

Katrina Collins, MD || Pathologist (@katcollmd) 's Twitter Profile Photo

🚨 #publicationalert #gupath Together with Andres Martin Acosta (Andy), we analyze paired conventional and sarcomatoid components of chRCC, aiming to clarify the genomic changes in sarcomatoid transformation @liangchengmd Michelle_Hirsch (Donovan) Link to our article: sciencedirect.com/science/articl…

Katrina Collins, MD || Pathologist (@katcollmd) 's Twitter Profile Photo

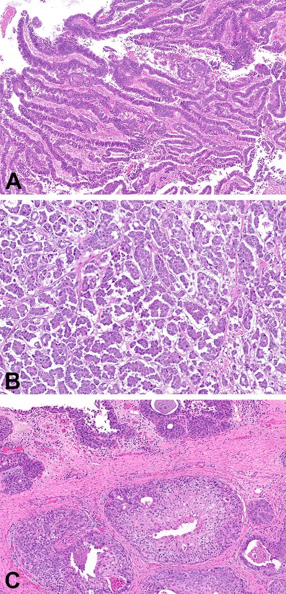
#slidearchiveseries clear cell papillary renal cell tumor #gupath #pathtwitter #pathoutpic 🫘 pT1 tumor (G1 or G2) (>95%) 🔬 mix of tubules, cysts, papillae, and small nests, in a fibromyomatous stroma 🎹 polarized nuclei “piano key-like” 🎨 CK7, CAIX “cup-like” basolateral

#slidearchiveseries clear cell papillary renal cell tumor #gupath #pathtwitter #pathoutpic

🫘 pT1 tumor (G1 or G2) (&gt;95%) 
🔬 mix of tubules, cysts, papillae, and small nests, in a fibromyomatous stroma
🎹 polarized nuclei “piano key-like”
🎨 CK7, CAIX “cup-like” basolateral
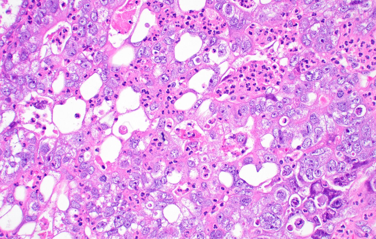
Ankur Sangoi (@slusagar) 's Twitter Profile Photo

😍curbside #GUpath kidney tumor recent consult 🔬clear cell RCC with syncytial-type multinucleated giant cells (elsewhere tumor had necrosis, more typical grade 4 w/rhabdoid diff, and pT3a)

😍curbside #GUpath kidney tumor recent consult

🔬clear cell RCC with syncytial-type multinucleated giant cells

(elsewhere tumor had necrosis, more typical grade 4 w/rhabdoid diff, and pT3a)
Ankur Sangoi (@slusagar) 's Twitter Profile Photo

nicely depicted in a study by Sean R Williamson MD years back, clear cell RCC with syncytial-type multinucleated giant cells are uncommon & often associated with poor outcome Luiz M. Nova-Camacho, MD & I did a recent study on these as well and found similar findings ⏬⏬

nicely depicted in a study by <a href="/Williamson_SR/">Sean R Williamson MD</a> years back, clear cell RCC with syncytial-type multinucleated giant cells are uncommon &amp; often associated with poor outcome

<a href="/LuizMiguelN/">Luiz M. Nova-Camacho, MD</a> &amp; I did a recent study on these as well and found similar findings

⏬⏬
Andres Martin Acosta (Andy) (@andres_m_acosta) 's Twitter Profile Photo

Proposal for a reappraisal of the current classification of so‐called “somatic‐type” malignancies arising in germ cell tumours - Acosta - Histopathology - Wiley Online Library onlinelibrary.wiley.com/doi/full/10.11… GU Pathology Society (GUPS) International Society of Urological Pathology

Katrina Collins, MD || Pathologist (@katcollmd) 's Twitter Profile Photo

🚨 #publicationalert #gipath Together with Luiz M. Nova-Camacho, MD, we evaluated the histological features of autoimmune atrophic gastritis in a European cohort, often under diagnosed due to its broad clinical presentation.

🚨 #publicationalert #gipath 
Together with <a href="/LuizMiguelN/">Luiz M. Nova-Camacho, MD</a>, we evaluated the histological features of autoimmune atrophic gastritis in a European cohort, often under diagnosed due to its broad clinical presentation.
Katrina Collins, MD || Pathologist (@katcollmd) 's Twitter Profile Photo

#openaccess for 50 days to our article! Click on this link before Nov 21, 2024 to read and/or download! #gipath cc: Luiz M. Nova-Camacho, MD 👉🏼 authors.elsevier.com/c/1jsZi1EEMTtj…

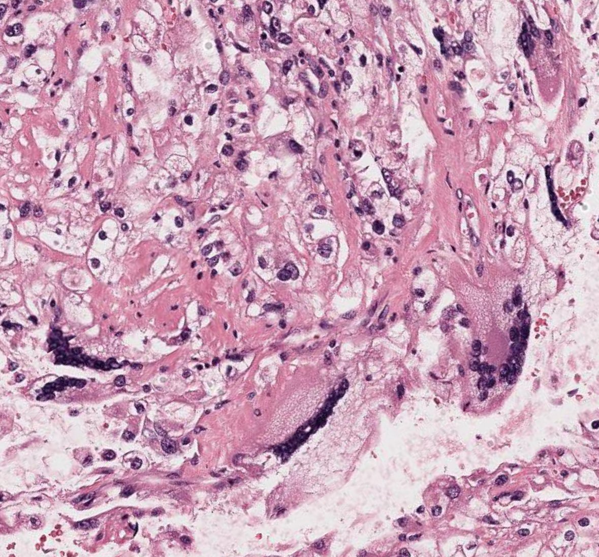
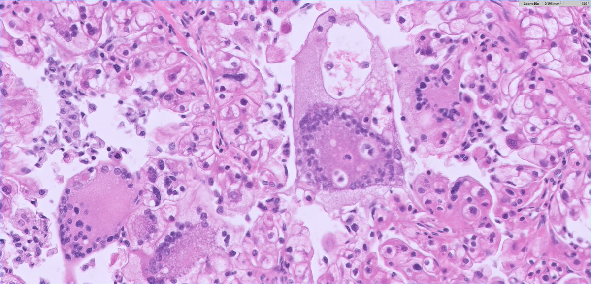
Ankur Sangoi (@slusagar) 's Twitter Profile Photo

recent 😍example of clear cell RCC with syncytial-type multinucleated giant cells uncommon ✔️assoc w/poor outcome even if lacking other poor histologic parameters 🔬 emperipolesis quite frequent! ⏬cont'd⏬

recent 😍example of clear cell RCC with syncytial-type multinucleated giant cells  uncommon

✔️assoc w/poor outcome even if lacking other poor histologic parameters

🔬 emperipolesis quite frequent!

⏬cont'd⏬
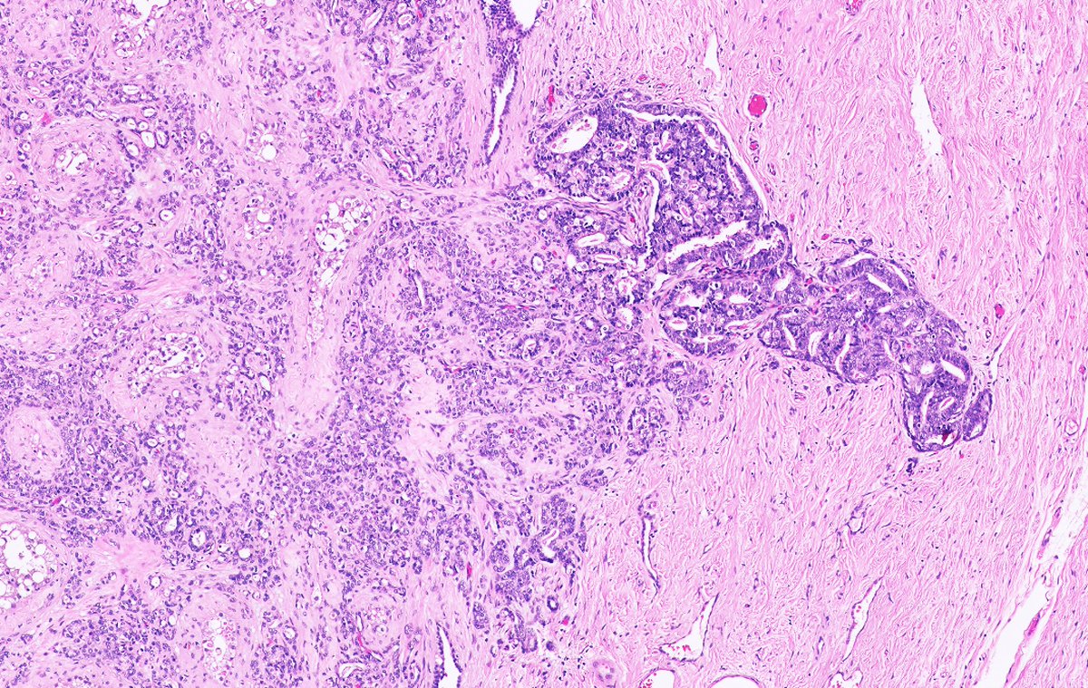
Samson W. Fine, MD (@rovingatuscap) 's Twitter Profile Photo

Abrupt transition from low to high nuclear grade in this Clear Cell Renal Cell Carcinoma #gupath #kidneycancer - highlighting the importance of sampling

Abrupt transition from low to high nuclear grade in this Clear Cell Renal Cell Carcinoma #gupath #kidneycancer - highlighting the importance of sampling