Joe (@mbbs_pathology) 's Twitter Profile
Joe

@mbbs_pathology

Pathologist & Teacher ๐Ÿ™ƒ๐Ÿ‡ช๐Ÿ‡บ๐Ÿณ๏ธโ€๐ŸŒˆ๐Ÿ‡ฎ๐Ÿ‡ชโœŒ๐Ÿพ๐Ÿ•Š๏ธ

ID: 998172921393766400

calendar_today20-05-2018 12:05:44

7,7K Tweet

3,3K Followers

3,3K Following

Lorand Kis (@kis_lorand) 's Twitter Profile Photo

1/ Thanks everyone ๐Ÿ™๐Ÿ™๐Ÿ™ great answers ๐Ÿ‘๐Ÿ‘ you are all too good!!!! Indeed this is MGA- microglandular adenosis, that today is considered a non-obligate precursor of some triple โ€“negative breast carcinomas.

1/ Thanks everyone ๐Ÿ™๐Ÿ™๐Ÿ™ great answers ๐Ÿ‘๐Ÿ‘ you are all too good!!!!
Indeed this is MGA- microglandular adenosis, that today is considered a non-obligate precursor of some triple โ€“negative breast carcinomas.
Joe (@mbbs_pathology) 's Twitter Profile Photo

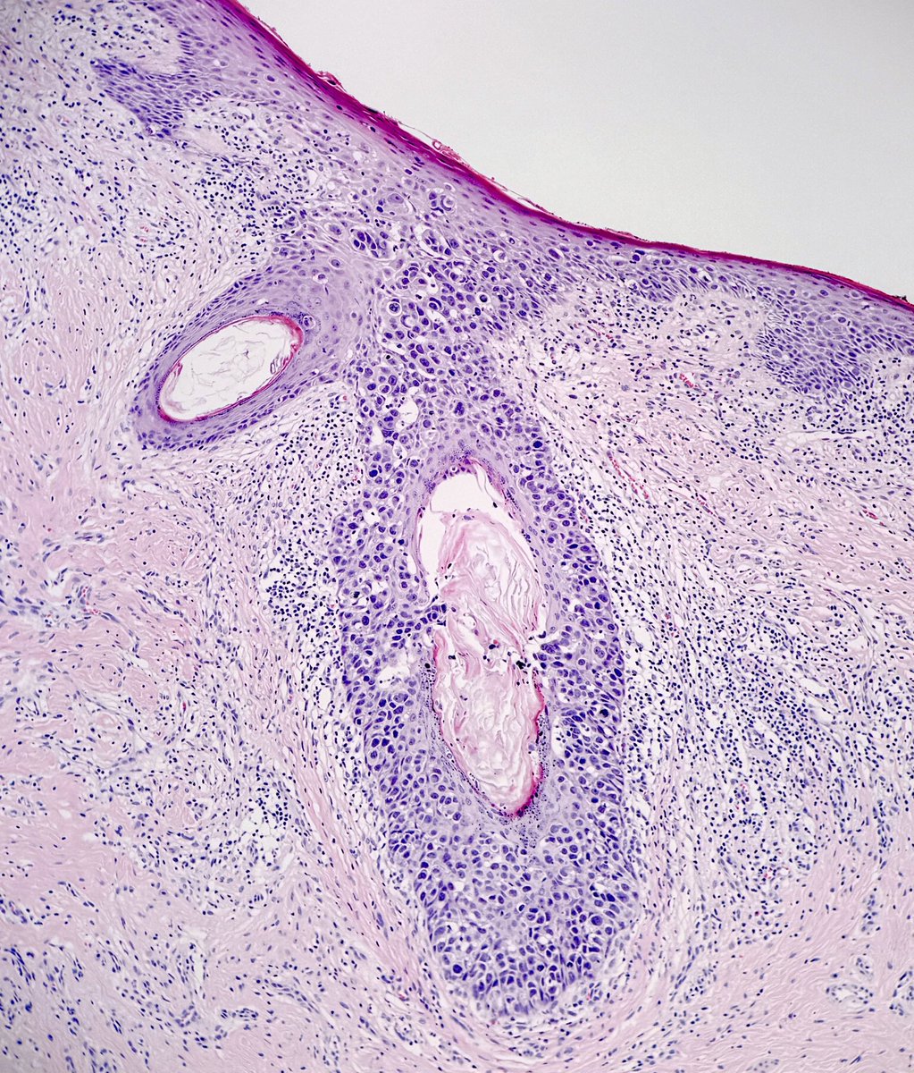
A nice case to share this evening. #PagetDisease of the #nipple with colonisation of a subareolar duct. Spot the malignant cells bursting into the duct lumen. #pathology #BreastPath Wishing everyone a happy Wednesday. ๐Ÿ’œ

A nice case to share this evening.
#PagetDisease of the #nipple with colonisation of a subareolar duct. Spot the malignant cells bursting into the duct lumen.
#pathology
#BreastPath 
Wishing everyone a happy Wednesday.
๐Ÿ’œ
Joe (@mbbs_pathology) 's Twitter Profile Photo

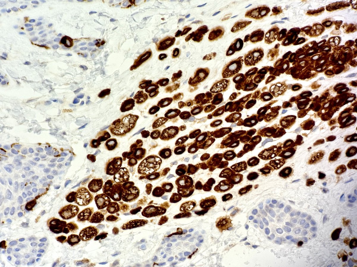
Thursday education day! A deceptive #BreastCarcinoma #TubularCarcinoma Well formed, single layered tubules. CK5, SMMHC and p63 very helpful with internal neighbourhood controls positive. Hope that everyone is doing well today. ๐Ÿ’œ

Thursday education day! A deceptive #BreastCarcinoma 
#TubularCarcinoma 
Well formed, single layered tubules.
CK5, SMMHC and p63 very helpful with internal neighbourhood controls positive.
Hope that everyone is doing well today.
๐Ÿ’œ
Joe (@mbbs_pathology) 's Twitter Profile Photo

A beautiful ๐Ÿ suspended on the way to dinner tonight ๐Ÿ’› Look how fast those wings are beating. Hope that everyone is enjoying Monday ๐Ÿ˜‰ To share with my #pathology friends ๐Ÿ’›

A beautiful ๐Ÿ suspended on the way to dinner tonight ๐Ÿ’› Look how fast those wings are beating.
Hope that everyone is enjoying Monday 
๐Ÿ˜‰
To share with my #pathology friends ๐Ÿ’›
Joe (@mbbs_pathology) 's Twitter Profile Photo

Was joined by a school of dolphins on the Irish Sea today. Such characters! Aint nature wonderful.๐Ÿ’š #nature #pathology

Joe (@mbbs_pathology) 's Twitter Profile Photo

A beautiful example shared with me by a good colleague of mine, Hutan. #BalloonCell / Sebocyte-like degenerative changes in an intradermal #nevus #pathology #dermatology ๐Ÿ“ธ 2 S100 ๐Ÿ“ธ 3 Melan A ๐Ÿค“

A beautiful example shared with me by a good colleague of mine, Hutan.
#BalloonCell / Sebocyte-like degenerative changes in an intradermal #nevus 
#pathology
#dermatology
๐Ÿ“ธ 2 S100
๐Ÿ“ธ 3 Melan A
๐Ÿค“
Joe (@mbbs_pathology) 's Twitter Profile Photo

My lovely colleague BarbaraJennings (she/her) Barbara has just retired from UEA and she will really be missed. We had a shared #PBL teaching session today. ๐Ÿ’š๐Ÿ’š๐Ÿ’š #MedEd

My lovely colleague <a href="/GeneticsMBBS/">BarbaraJennings (she/her)</a> Barbara has just retired from <a href="/uniofeastanglia/">UEA</a> and she will really be missed. We had a shared #PBL teaching session today. ๐Ÿ’š๐Ÿ’š๐Ÿ’š
#MedEd
Joe (@mbbs_pathology) 's Twitter Profile Photo

Just gobbled this delicious gift from one of my very kind and thoughtful medical students. Delicious traditional nigerian pies. Yum! #meded

Just gobbled this delicious gift from one of my very kind and thoughtful medical students. Delicious traditional nigerian pies. Yum! #meded
Joe (@mbbs_pathology) 's Twitter Profile Photo

A beautiful example of the sine qua non for diagnosis of central centrifugal scarring #alopecia. Premature desquamation of the inner root sheath (in the s/c fat here). Rupture too. May be focal so keep those ๐Ÿ‘€ open๐Ÿ˜‰ #pathology #dermatology ๐Ÿ’™

A beautiful example of the sine qua non for diagnosis of central centrifugal scarring #alopecia. Premature desquamation of the inner root sheath (in the s/c fat here). Rupture too. May be focal so keep those ๐Ÿ‘€ open๐Ÿ˜‰
#pathology
#dermatology
๐Ÿ’™
Joe (@mbbs_pathology) 's Twitter Profile Photo

Glycogen-rich, clear cell variant (sebocyte-like) of squamous cell carcinoma in situ. Confirmed with PAS staining (eliminated by diastase). ORS differentiation. #pathology #dermatology #dermpath ๐Ÿ’š

Glycogen-rich, clear cell variant (sebocyte-like) of squamous cell carcinoma in situ. Confirmed with PAS staining (eliminated by diastase). ORS differentiation.
#pathology
#dermatology
#dermpath 
๐Ÿ’š
Joe (@mbbs_pathology) 's Twitter Profile Photo

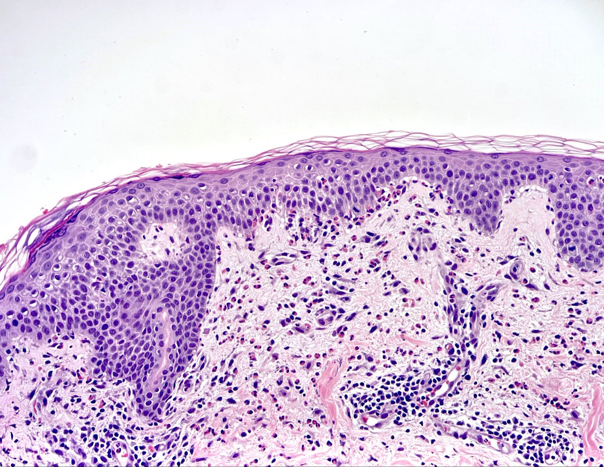
A clue to pre-bullous pemphigoid. ๐Ÿ‘€ how the eosinophils are lining up along the basement membrane and the space which is beginning to form beneath the epidermis. #pathology #dermatology #dermpath ๐Ÿ’œ

A clue to pre-bullous pemphigoid. ๐Ÿ‘€ how the eosinophils are lining up along the basement membrane and the space which is beginning to form beneath the epidermis.
#pathology
#dermatology
#dermpath 
๐Ÿ’œ
Joe (@mbbs_pathology) 's Twitter Profile Photo

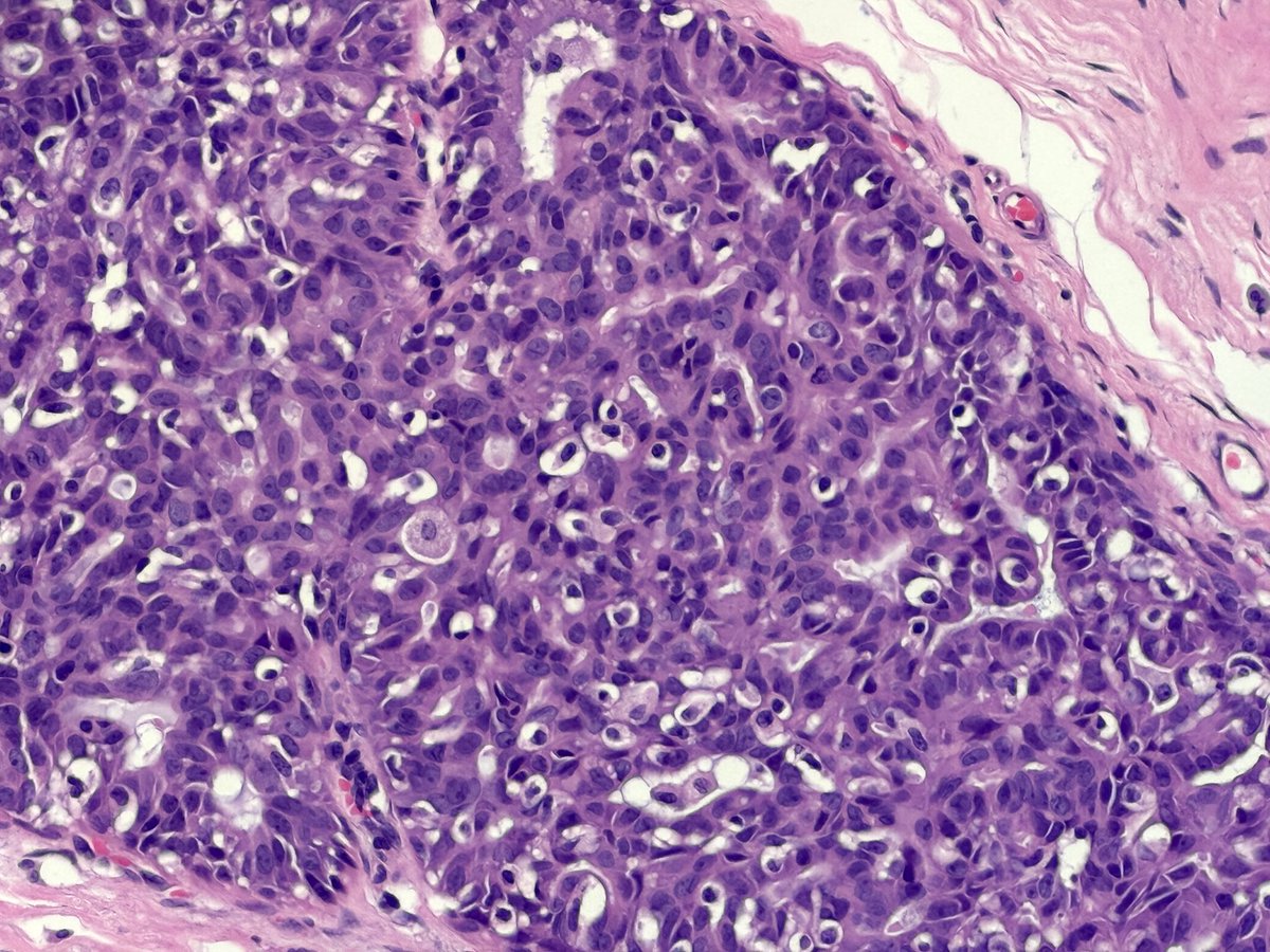
A florid example of usual epithelial hyperplasia. No requirement 4 immunohistochemistry in this case as its a polymorphic classic ๐Ÿ˜‰. If U wanted to confirm - CK5+& variable ER expression. Hope yโ€™all have a great weekend ๐Ÿ’š #pathology #BreastPath

A florid example of usual epithelial hyperplasia. No requirement 4 immunohistochemistry in this case as its a polymorphic classic ๐Ÿ˜‰. If U wanted to confirm - CK5+&amp; variable ER expression.
Hope yโ€™all have a great weekend ๐Ÿ’š
#pathology 
#BreastPath
Joe (@mbbs_pathology) 's Twitter Profile Photo

Pigmented patch on leg. Quite subtle on H+E but lights up with Perls. Spot the melanin in the basal keratinocytes on the Masson Fontana slide. #neat #stasis #siderophages #dermatology #pathology ๐Ÿ’™

Pigmented patch on leg. Quite subtle on H+E but lights up with Perls. Spot the melanin in the basal keratinocytes on the Masson Fontana slide. #neat #stasis #siderophages #dermatology #pathology ๐Ÿ’™
Joe (@mbbs_pathology) 's Twitter Profile Photo

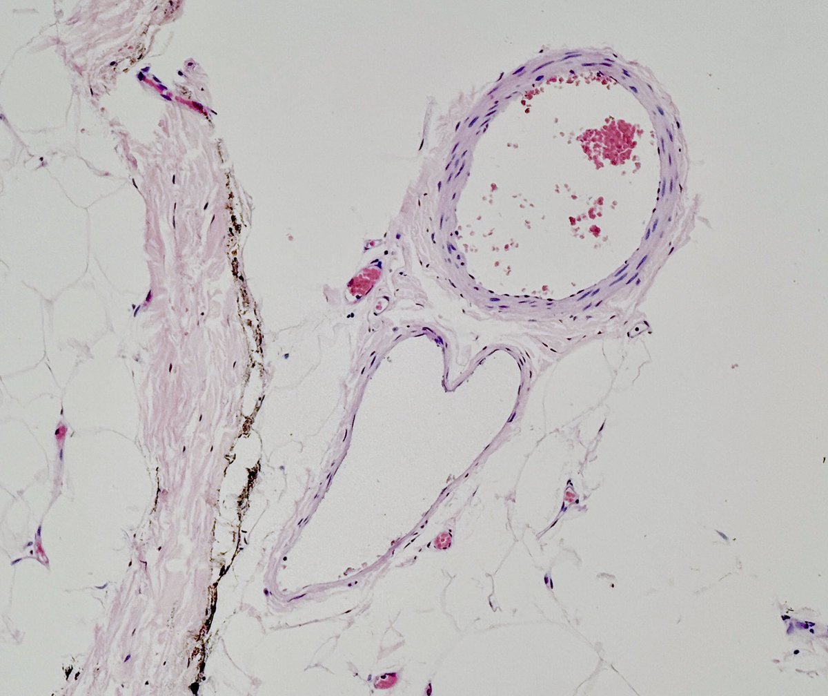
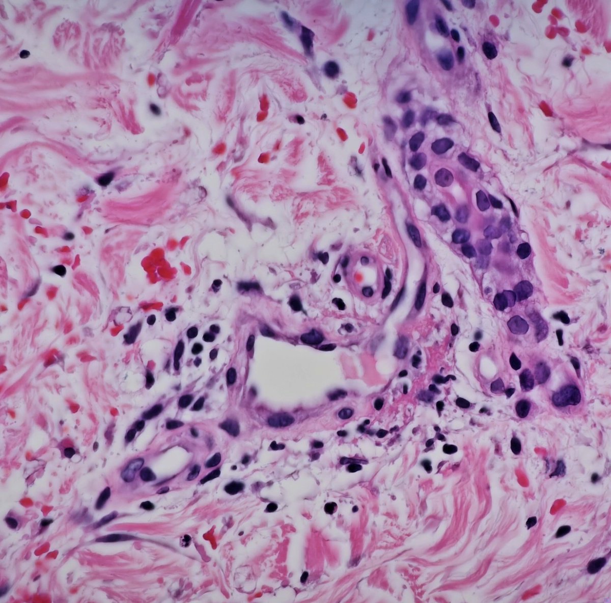
Always a good idea to do deepers if your dermatologist suspects vasculitis and u only c ๐Ÿ”ด cell extravasation with subtle PV inflammation. Tiny focus of #FibrinoidNecrosis on level 25! #dermatology #pathology โ™ฅ๏ธ

Always a good idea to do deepers if your dermatologist suspects vasculitis and u only c ๐Ÿ”ด cell extravasation with subtle PV inflammation. Tiny focus of #FibrinoidNecrosis on level 25! 
#dermatology 
#pathology 
โ™ฅ๏ธ
Lola Lozano (@mdlozanoe) 's Twitter Profile Photo

Join us!!! Our president, Syed Z. Ali is about to lunch more new exciting activities for you. This is a unique opportunity for the juniors ๐Ÿ‘๐Ÿป๐Ÿ’ช๐Ÿป๐Ÿ’ฏ๐Ÿ’ฏ, the present and the future of #cytopathology