Kevin Stephans MD (@mdstephans) 's Twitter Profile
Kevin Stephans MD

@mdstephans

Radiation Oncologist, Associate Professor, Cleveland Clinic Taussig Cancer Center. Director of #SBRT.

ID: 1009071394410377216

calendar_today19-06-2018 13:52:22

86 Tweet

516 Followers

301 Following

Kevin Stephans MD (@mdstephans) 's Twitter Profile Photo

Agree w Nathan A. Pennell MD, PhD, FASCO, not only MRI screening but PET staging of initial disease also results in earlier stage overall, & less brain mets. Encourage participation in Maverick PRT of +\- PCI for LS-SCLC, run by @cgr0105.

Betty Obi MD (@betty_obi) 's Twitter Profile Photo

Congratulations to my daughter Elizabeth for being awarded the ASTRO Minority Summer Research Fellowship. Thank you to her mentors Chirag Shah and Rahul Tendulkar for helping to keep the radiation oncology legacy going.

Congratulations to my daughter Elizabeth for being awarded the ASTRO Minority Summer Research Fellowship. Thank you to her mentors Chirag Shah and Rahul Tendulkar for helping to keep the radiation oncology legacy going.
John Suh (@drjohnsuh) 's Twitter Profile Photo

Welcome Timothy Chan to Cleveland Clinic!! We greatly look forward to your leadership as head of the Center for Immunotherapy and Precision Immuno-oncology and working closely with you in #radonc. ASTRO Cleveland Clinic Lerner Research Institute #CleClinicCancer

Samuel Chao (@samuelchaomd) 's Twitter Profile Photo

Sharing our preliminary results at #ASTRO20 from our pilot study using fluciclovine PET to distinguish tumor recurrence from radiation necrosis. It holds promise, but further studies are needed. Cleveland Clinic MD John Suh Erin Murphy MD #CleClinicCancer

Tian Zhang, MD, MHS (@tiansterzhang) 's Twitter Profile Photo

Great summary for role of adjuvant versus salvage XRT is important for our patients with biochemical recurrent #prostatecancer - Rdwkkk with 22-gene classifier from NRG Oncology RTOG 9601 trial that may help us define high risk populations needing ADT. ASCO #GU21

Great summary for role of adjuvant versus salvage XRT is important for our patients with biochemical recurrent #prostatecancer - <a href="/felixfeng/">Rdwkkk</a> with 22-gene classifier from <a href="/NRGonc/">NRG Oncology</a> RTOG 9601 trial that may help us define high risk populations needing ADT. <a href="/ASCO/">ASCO</a> #GU21
Jessica Scarborough (@scarboroughjess) 's Twitter Profile Photo

I’m thrilled to share our newly published work, “Revisiting a Null Hypothesis: Exploring the Parameters of Oligometastasis Treatment,” along with Jake Scott, Martin Tom, and mk. A 🧵 thread 🧵: redjournal.org/article/S0360-… 1/7

Matthias Guckenberger (@mat_guc) 's Twitter Profile Photo

Full publication of randomised Scandinavian dose escalation trial for LS SCLC 45Gy / 30 Fx / 3 weeks vs 60Gy / 40 Fx / 4 weeks ⬆️ 2a OS 74.2% vs 48.1% ⬆️ Med OS 37.2 mo vs 22.6 mo ↗️ Med PFS 18.6 mo vs 10.9 mo (p=0.13) ➡️ Grade 3+ toxicity and SAEs #radonc tinyurl.com/ryrfztj2

Full publication of randomised Scandinavian dose escalation trial for LS SCLC
45Gy / 30 Fx / 3 weeks vs 60Gy / 40 Fx / 4 weeks
⬆️ 2a OS 74.2% vs 48.1%
⬆️ Med OS 37.2 mo vs 22.6 mo
↗️ Med PFS 18.6 mo vs 10.9 mo (p=0.13)
➡️ Grade 3+ toxicity and SAEs
#radonc
tinyurl.com/ryrfztj2
Myung-Jin Cha (@drchaep) 's Twitter Profile Photo

New publication with Ji Hyun Chang. 🌟Our observations suggest that early antiarrhythmic effects after cardiac radioablation result from conduction disturbances and membrane potential alterations without necrosis. (ahajournals.org/doi/10.1161/JA…)

New publication with <a href="/jihyunRadOnc/">Ji Hyun Chang</a>. 🌟Our observations suggest that early antiarrhythmic effects after cardiac radioablation result from conduction disturbances and membrane potential alterations without necrosis. (ahajournals.org/doi/10.1161/JA…)
Matthias Guckenberger (@mat_guc) 's Twitter Profile Photo

Excellent review article in Seminar of Radiation Oncology by Daniel Gomez about consolidative thoracic radiotherapy in oligometastatic lung cancer #radonc sciencedirect.com/science/articl…

Kevin Stephans MD (@mdstephans) 's Twitter Profile Photo

Prospective contour review takes effort, but DrAndrewVassil has that covered. Great to work with colleagues who go the extra mile every day. #PatientSafetyAwarenessWeek

Michi Gray (@graym_radoncrn) 's Twitter Profile Photo

I did a thing today...I volunteered to give vaccines with the Cuyahoga County Health Dept and the Medical Reserve Corps. It felt great to help move us forward in the fight against COVID19.

I did a thing today...I volunteered to give vaccines with the Cuyahoga County Health Dept and the Medical Reserve Corps.  It felt great to help move us forward in the fight against COVID19.
Lilyana Angelov, MD (@drlilyangelov) 's Twitter Profile Photo

The Cleveland Clinic 14th Annual International Symposium on #SBRT and #SRS will be held February 25-27, 2022, bringing together world leaders in brain, spine and body-targeted stereotactic radiation modalities and techniques. Join us! ccfcme.org/sbrt

The <a href="/ClevelandClinic/">Cleveland Clinic</a> 14th Annual International Symposium on #SBRT and #SRS will be held February 25-27, 2022, bringing together world leaders in brain, spine and body-targeted stereotactic radiation modalities and techniques. Join us! ccfcme.org/sbrt
Kevin Stephans MD (@mdstephans) 's Twitter Profile Photo

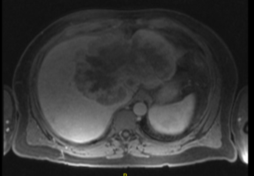
(1/4)As Cholangiocarcinoma awareness month draws to close wanted to point out aggressive multi-disciplinary treatment offers opportunity for success w unresectable CCA. 18 cm tumor w outflow obstruction resulting in aborted trisegmentectomy due to unstable BP and liver bleeding.

(1/4)As Cholangiocarcinoma awareness month draws to close wanted to point out aggressive multi-disciplinary treatment offers opportunity for success w unresectable CCA.  18 cm tumor w outflow obstruction resulting in aborted trisegmentectomy due to unstable BP and liver bleeding.
Kevin Stephans MD (@mdstephans) 's Twitter Profile Photo

(2/4)Treated w 4 cycles gem-cis, followed by y90 and consolidative high dose hypofractionated XRT (a/w improved survival compared to conventional XRT by Christopher H. Crane and Randa Tao). Lower dose PTV’s on edge to maintain normal tissue. 60-67.5 Gy/15 fx to center. higher better.

(2/4)Treated w 4 cycles gem-cis, followed by y90 and consolidative high dose hypofractionated XRT (a/w improved survival compared to conventional XRT by <a href="/haydencrane5/">Christopher H. Crane</a> and Randa Tao).  Lower dose PTV’s on edge to maintain normal tissue. 60-67.5 Gy/15 fx to center. higher better.
Kevin Stephans MD (@mdstephans) 's Twitter Profile Photo

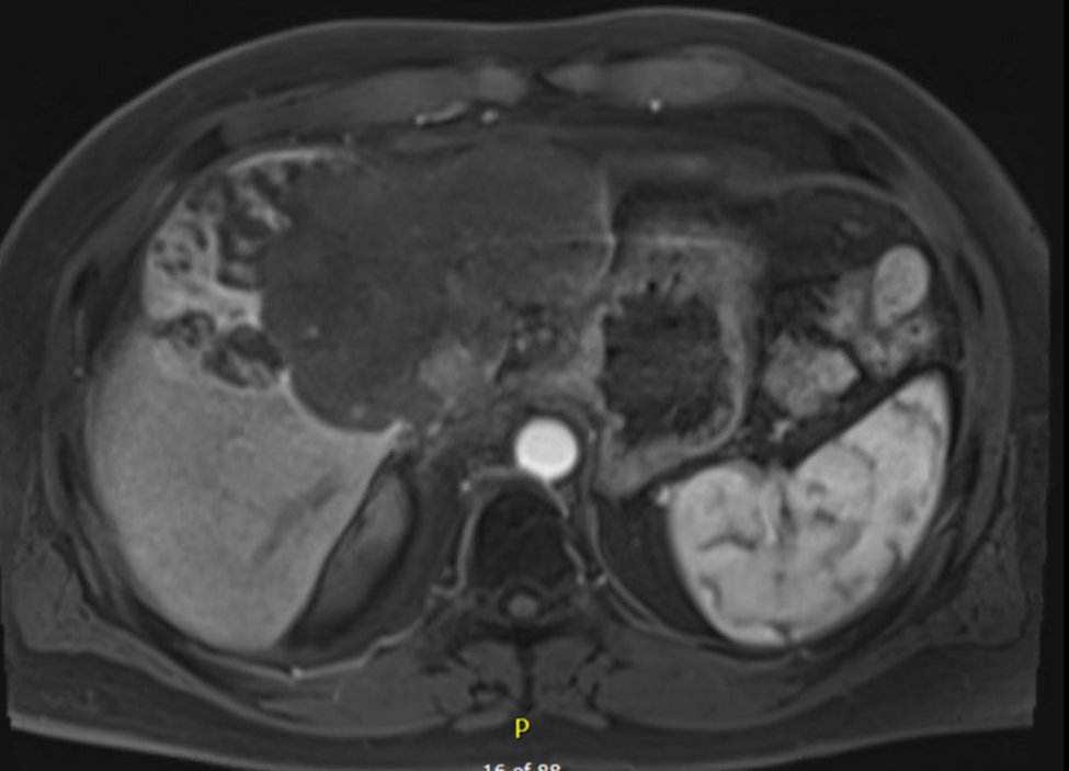
(3/4)Now over 2 years from treatment with no radiographic evidence of residual disease. Intact liver function and excellent performance status. Fortunate to work with excellent colleagues in medical oncology, interventional radiology, and hepatobiliary surgery Cleveland Clinic.

(3/4)Now over 2 years from treatment with no radiographic evidence of residual disease.  Intact liver function and excellent performance status.  Fortunate to work with excellent colleagues in medical oncology, interventional radiology, and hepatobiliary surgery <a href="/ClevelandClinic/">Cleveland Clinic</a>.
Kevin Stephans MD (@mdstephans) 's Twitter Profile Photo

(4/4) PET scan negative for residual disease too. Will follow. Integration of multidisciplinary care and access to new technology can open doors. Grateful to the brave patients who have walked this path, amazed to see what they can accomplish in treatment and in life.

(4/4) PET scan negative for residual disease too.  Will follow.  Integration of multidisciplinary care and access to new technology can open doors.  Grateful to the brave patients who have walked this path, amazed to see what they can accomplish in treatment and in life.
John Suh (@drjohnsuh) 's Twitter Profile Photo

If you want to learn more about ⁦Cleveland Clinic⁩ radiation oncology during the #ASTRO22 meeting, please stop by our booth #2596. We look forward to connecting with you. ⁦VeloSano⁩ ⁦Cleveland Clinic MD⁩ #CleClinicCancer

If you want to learn more about ⁦<a href="/ClevelandClinic/">Cleveland Clinic</a>⁩ radiation oncology during the #ASTRO22 meeting, please stop by our booth #2596. We look forward to connecting with you. ⁦<a href="/bikeVeloSano/">VeloSano</a>⁩ ⁦<a href="/CleClinicMD/">Cleveland Clinic MD</a>⁩ #CleClinicCancer