Nejib Ben Yahia, MD (@nejiby) 's Twitter Profile
Nejib Ben Yahia, MD

@nejiby

Pathologist, former Assistant Professor of Pathology in FB Univ Hospital, Monastir and Resident in Paris (Saint-Antoine & Antoine Béclère). Liberal practice

ID: 2790914253

linkhttps://www.facebook.com/NejibBenYahiaMD calendar_today29-09-2014 07:53:52

3,3K Tweet

3,3K Followers

1,1K Following

Head Neck Pathol (@headneckpathol) 's Twitter Profile Photo

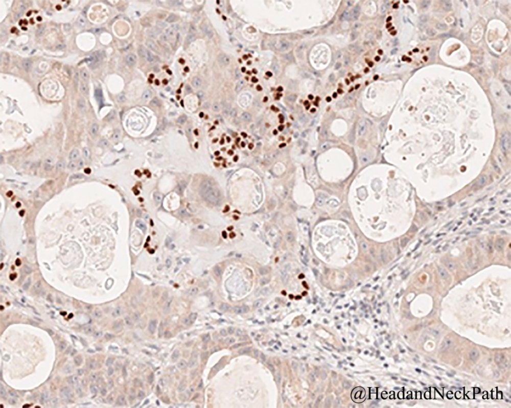
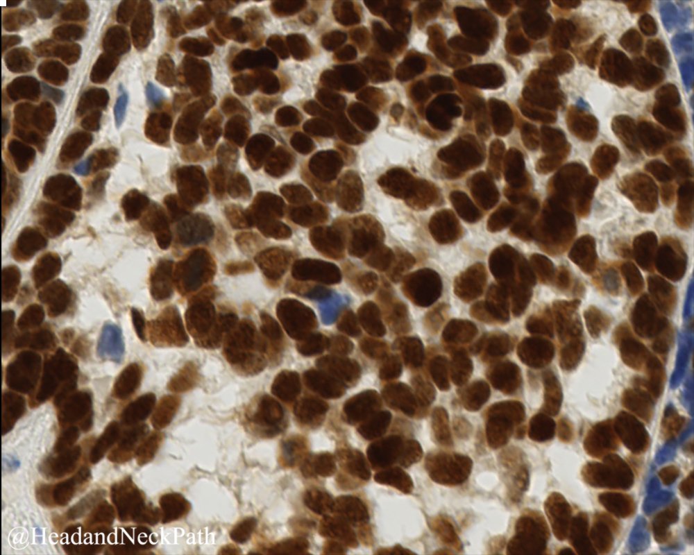
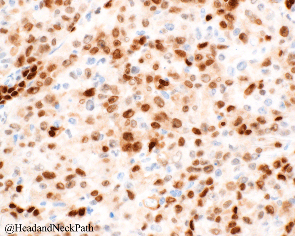
HPV-Related Multiphenotypic Sinonasal Carcinoma: Four Cases that Expand the Morpho-Molecular Spectrum and Include Occupational Data rdcu.be/bSMae #HeadNeckPathol #HNPJ #HeadandNeckPath #Pathology #ENTPath #PathologyTweet

HPV-Related Multiphenotypic Sinonasal Carcinoma: Four Cases that Expand the Morpho-Molecular Spectrum and Include Occupational Data
rdcu.be/bSMae
#HeadNeckPathol #HNPJ #HeadandNeckPath #Pathology #ENTPath #PathologyTweet
Carles Saus (@carles_saus) 's Twitter Profile Photo

Macro/Micro correlation of a Gastric leiomyoma, a rare benign mesenchymal tumor (Desmin+, SMA+, CD34-, CD117-, DOG1-) Provided by my #GIpath colleague Isabel Amengual #grosspath

Macro/Micro correlation of a Gastric leiomyoma, a rare benign mesenchymal tumor
(Desmin+, SMA+, CD34-, CD117-, DOG1-) Provided by my #GIpath colleague Isabel Amengual  #grosspath
Gerônimo Jr. (@geronimojrlapac) 's Twitter Profile Photo

⚠️Tips and Pitfall alerts in the evaluation of Hyalinizing Trabecular Tumor. It is worth checking ! ⚠️ ☑️link.springer.com/article/10.100… #HNPJ #Entpath #pathology Lester Thompson Head Neck Pathol Pembe Oltulu, MD Nejib Ben Yahia, MD

⚠️Tips and Pitfall alerts in the evaluation of Hyalinizing Trabecular Tumor. It is worth checking ! ⚠️
☑️link.springer.com/article/10.100…
#HNPJ #Entpath #pathology <a href="/HeadandNeckPath/">Lester Thompson</a> <a href="/HeadNeckPathol/">Head Neck Pathol</a> <a href="/pembeoltulu/">Pembe Oltulu, MD</a> <a href="/NejibY/">Nejib Ben Yahia, MD</a>
Gerônimo Jr. (@geronimojrlapac) 's Twitter Profile Photo

⚠️PITFALL ALERT - CEREBELLAR HEMANGIOBLASTOMA⚠️ #Neuropath #pathology Ps: Similar gliosis can be seen in ependymomas, gangliogliomas, low grade gliomas ...🧐🔬

⚠️PITFALL ALERT - CEREBELLAR HEMANGIOBLASTOMA⚠️
#Neuropath #pathology

Ps: Similar gliosis can be seen in ependymomas, gangliogliomas, low grade gliomas ...🧐🔬
Eylül Gün, MD (@dreylulgun) 's Twitter Profile Photo

The day has come! Here are the winners of IIIrd International PathArt Photomicrography Contest! Congrats to all the winners! 👏🏻 Please click on the link to see the winners and the photos of all the contestants: turkjpath.org/contest_2019.p… Pembe Oltulu, MD @sultan_clskn_dr Hatice Olger Uzuner,MD

The day has come! Here are the winners of IIIrd International PathArt Photomicrography Contest! Congrats to all the winners! 👏🏻 
Please click on the link to see the winners and the photos of all the contestants: turkjpath.org/contest_2019.p…

<a href="/pembeoltulu/">Pembe Oltulu, MD</a> @sultan_clskn_dr <a href="/OlgerHatice/">Hatice Olger Uzuner,MD</a>
Pembe Oltulu, MD (@pembeoltulu) 's Twitter Profile Photo

Epstein–Barr Virus-Positive Large Cell Neuroendocrine Carcinoma of the Nasopharynx: Report of One Case and Review of the Literature, Head Neck Pathol link.springer.com/article/10.100… Lester Thompson J. Bish Gerônimo Jr. Nejib Ben Yahia, MD

Epstein–Barr Virus-Positive Large Cell Neuroendocrine Carcinoma of the Nasopharynx: Report of One Case and Review of the Literature, <a href="/HeadNeckPathol/">Head Neck Pathol</a> link.springer.com/article/10.100…

<a href="/HeadandNeckPath/">Lester Thompson</a> <a href="/ENTpathology/">J. Bish</a> <a href="/GeronimoJrLapac/">Gerônimo Jr.</a> <a href="/NejibY/">Nejib Ben Yahia, MD</a>
Head Neck Pathol (@headneckpathol) 's Twitter Profile Photo

Colon Cancer Metastasis Within a NIFTP: A Case Report and Review of the Literature rdcu.be/bU5po #HeadNeckPathol #HNPJ #HeadandNeckPath #Pathology #ENTPath #PathologyTweet

Colon Cancer Metastasis Within a NIFTP: A Case Report and Review of the Literature
rdcu.be/bU5po
#HeadNeckPathol #HNPJ #HeadandNeckPath #Pathology #ENTPath #PathologyTweet
Head Neck Pathol (@headneckpathol) 's Twitter Profile Photo

Soft Tissue Special Issue: Cutaneous Pleomorphic Spindle Cell Tumors by Dr. Thomas Brenn. rdcu.be/b0WcY #HeadNeckPathol #HNPJ #HeadandNeckPath #Pathology #ENTPath #PathologyTweet

Soft Tissue Special Issue: Cutaneous Pleomorphic Spindle Cell Tumors by Dr. Thomas Brenn.
rdcu.be/b0WcY
#HeadNeckPathol #HNPJ #HeadandNeckPath #Pathology #ENTPath #PathologyTweet
Head Neck Pathol (@headneckpathol) 's Twitter Profile Photo

Soft Tissue Special Issue: Myoepithelial Neoplasms of Soft Tissue: An Updated Review with Emphasis on Diagnostic Considerations in the Head and Neck by Dr. Vickie Y. Jo rdcu.be/b0Zuu #HeadNeckPathol #HNPJ #HeadandNeckPath #Pathology #ENTPath #PathologyTweet

Soft Tissue Special Issue: Myoepithelial Neoplasms of Soft Tissue: An Updated Review with Emphasis on Diagnostic Considerations in the Head and Neck by Dr. Vickie Y. Jo
rdcu.be/b0Zuu

#HeadNeckPathol #HNPJ #HeadandNeckPath #Pathology #ENTPath #PathologyTweet
Head Neck Pathol (@headneckpathol) 's Twitter Profile Photo

Soft Tissue Special Issue: Imaging of Bone and Soft Tissue Sarcomas in the Head and Neck by Ngoc-Anh Tran, Jeffrey P. Guenette & Jyothi Jagannathan: link.springer.com/article/10.100… #HeadNeckPathol #HNPJ #HeadandNeckPath #Pathology #ENTPath #PathologyTweet

Soft Tissue Special Issue: Imaging of Bone and Soft Tissue Sarcomas in the Head and Neck by Ngoc-Anh Tran, Jeffrey P. Guenette &amp; Jyothi Jagannathan: 
link.springer.com/article/10.100…

#HeadNeckPathol #HNPJ #HeadandNeckPath #Pathology #ENTPath #PathologyTweet
Manana Jikurashvili (@m_jikurashvili) 's Twitter Profile Photo

🧑4y old male patient with an encapsulated, non-invasive and mostly homogenous mass in right kidney, compressing the sinus fat and protruding in calyces and ureter. #grosspath #grossognosis #pathology

🧑4y old male patient with an encapsulated, non-invasive and mostly homogenous mass in right kidney, compressing the sinus fat and protruding in calyces and ureter.
#grosspath #grossognosis #pathology
MPathy Art/Mary Landau (@mpathyart) 's Twitter Profile Photo

I am being interviewed by #PhoenixMagazine tomorrow about #Pathart. They asked me if I had a studio (ummm, no). I set this up today in my office for the photos. I think it’s going to be in the April Top Docs edition. So nervous and excited! #pathology

I am being interviewed by #PhoenixMagazine tomorrow about #Pathart. They asked me if I had a studio (ummm, no). I set this up today in my office for the photos. I think it’s going to be in the April Top Docs edition. So nervous and excited! #pathology
Jerad Gardner, MD (@jmgardnermd) 's Twitter Profile Photo

Thanks to AR Democrat-Gazette & Werner Trieschmann for featuring me in the high profile section of today’s paper! I’m honored. 🙏🏻 arkansasonline.com/news/2020/feb/… #pathology #pathologists #medtwitter

Thanks to <a href="/ArkansasOnline/">AR Democrat-Gazette</a> &amp; <a href="/wernertplays/">Werner Trieschmann</a> for featuring me in the high profile section of today’s paper! I’m honored. 🙏🏻 arkansasonline.com/news/2020/feb/… #pathology #pathologists #medtwitter
Argos Patologia (@argospatologia) 's Twitter Profile Photo

⚠O Laboratório Argos traz a tecnologia inovadora, Abbott ID Now Covid-19, que promete entregar resultados em até 30 minutos. ⚠ Agente o seu exame agora.👇 Fazemos agendamento somente através do Whatsapp: ☎(85) 99740 8077 - WhatsApp ☎(85) 99815 1616 - WhatsApp

⚠O Laboratório Argos traz a tecnologia inovadora, Abbott ID Now Covid-19, que promete entregar resultados em até 30 minutos.  ⚠

Agente o seu exame agora.👇
Fazemos agendamento somente através do Whatsapp:

☎(85) 99740 8077 - WhatsApp
☎(85) 99815 1616 - WhatsApp