@PTiSJournal (@ptisjournal) 's Twitter Profile
@PTiSJournal

@ptisjournal

International journal of research and clinical practice in Sports Medicine. Views of the wider editorial team. Retweets do not mean endorsement.

ID: 757572543196831748

linkhttp://www.physicaltherapyinsport.com/ calendar_today25-07-2016 13:45:44

1,1K Tweet

2,2K Followers

452 Following

@PTiSJournal (@ptisjournal) 's Twitter Profile Photo

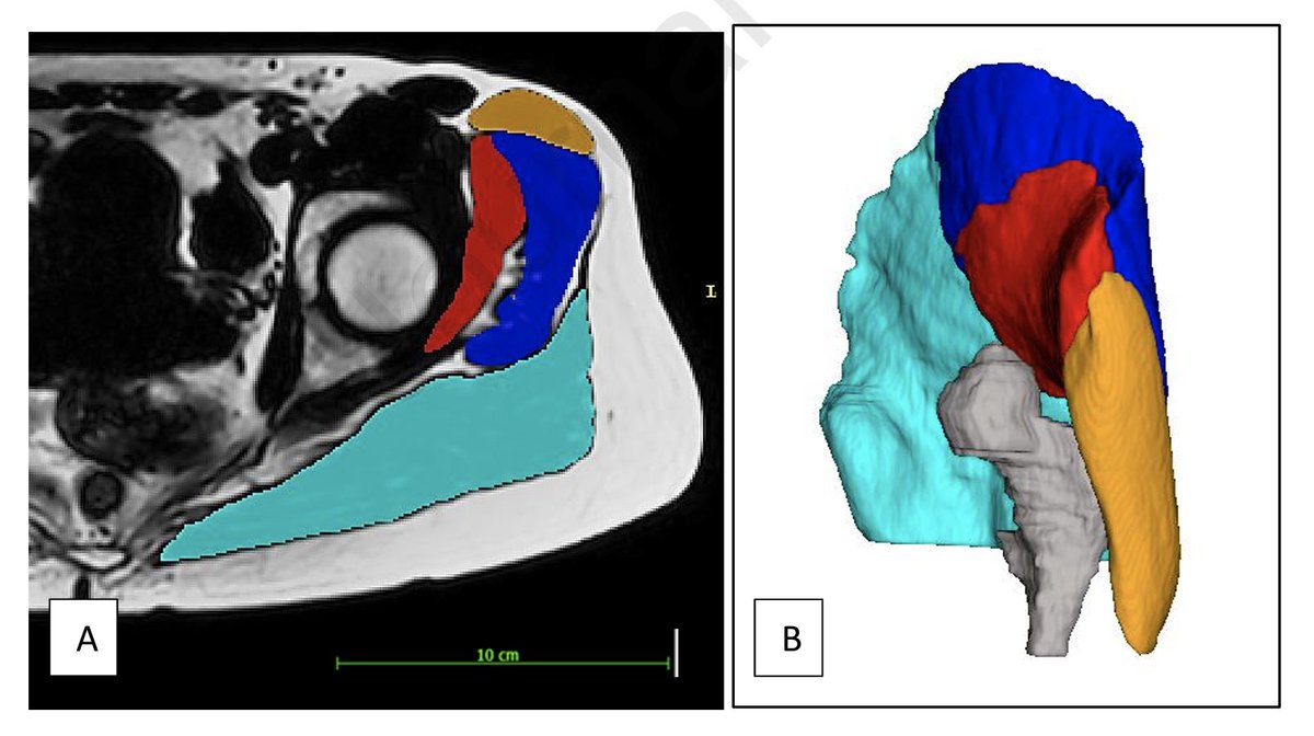
The association between lateral hip muscle size/intramuscular fat infiltration and hip strength in active young adults with long standing hip/groin pain doi.org/10.1016/j.ptsp…

The association between lateral hip muscle size/intramuscular fat infiltration and hip strength in active young adults with long standing hip/groin pain

doi.org/10.1016/j.ptsp…
@PTiSJournal (@ptisjournal) 's Twitter Profile Photo

Clinical outcomes for various benign paroxysmal positional vertigo (BPPV) diagnoses in adolescents and young adults with recent concussions doi.org/10.1016/j.ptsp…

Clinical outcomes for various benign paroxysmal positional vertigo (BPPV) diagnoses in adolescents and young adults with recent concussions

doi.org/10.1016/j.ptsp…
@PTiSJournal (@ptisjournal) 's Twitter Profile Photo

Immediate effects of local muscle vibration on static and dynamic balance control in individuals with chronic ankle instability doi.org/10.1016/j.ptsp…

Immediate effects of local muscle vibration on static and dynamic balance control in individuals with chronic ankle instability

doi.org/10.1016/j.ptsp…
@PTiSJournal (@ptisjournal) 's Twitter Profile Photo

Injury patterns in Swedish elite female and male ice hockey – A cross-sectional comparison of past-season's injuries doi.org/10.1016/j.ptsp…

Injury patterns in Swedish elite female and male ice hockey – A cross-sectional comparison of past-season's injuries

doi.org/10.1016/j.ptsp…
@PTiSJournal (@ptisjournal) 's Twitter Profile Photo

A high incidence of injury among male university student rugby players requires urgent injury prevention strategies doi.org/10.1016/j.ptsp…

A high incidence of injury among male university student rugby players requires urgent injury prevention strategies

doi.org/10.1016/j.ptsp…
@PTiSJournal (@ptisjournal) 's Twitter Profile Photo

Short-term fear of movement improves less after anterior cruciate ligament reconstruction with concomitant meniscus repair doi.org/10.1016/j.ptsp…

Short-term fear of movement improves less after anterior cruciate ligament reconstruction with concomitant meniscus repair

doi.org/10.1016/j.ptsp…
@PTiSJournal (@ptisjournal) 's Twitter Profile Photo

Comparison of finger flexion strength and muscular recovery of male lead sport climbers across climbing classes doi.org/10.1016/j.ptsp…

@PTiSJournal (@ptisjournal) 's Twitter Profile Photo

“A sprained ankle is the biggest sign of mental fatigue”: A qualitative study of the perceptions and experiences of mental fatigue in professional ballet doi.org/10.1016/j.ptsp… Jill Cook Ebonie Rio

@PTiSJournal (@ptisjournal) 's Twitter Profile Photo

Musculoskeletal injury or Sports-Related Concussion (SRC) in a season of rugby union does not affect performance on concussion battery testing in university-aged student-athletes doi.org/10.1016/j.ptsp…

@PTiSJournal (@ptisjournal) 's Twitter Profile Photo

Risk and protective factors for shoulder complaints in indoor volleyball players: A comprehensive systematic review doi.org/10.1016/j.ptsp…

@PTiSJournal (@ptisjournal) 's Twitter Profile Photo

Clinical examination tests for adductor- and pubic-related groin pain in athletes with longstanding groin pain: Inter-examiner reliability and prevalence of positive tests doi.org/10.1016/j.ptsp… Adam Weir Per Hölmich Andreas Serner

Clinical examination tests for adductor- and pubic-related groin pain in athletes with longstanding groin pain: Inter-examiner reliability and prevalence of positive tests

doi.org/10.1016/j.ptsp…

<a href="/AdamWeirSports/">Adam Weir</a> <a href="/PerHolmich/">Per Hölmich</a> <a href="/aserner/">Andreas Serner</a>
@PTiSJournal (@ptisjournal) 's Twitter Profile Photo

A international cross-sectional study examining knowledge and attitudes towards sport-related concussion in Touch doi.org/10.1016/j.ptsp…

A international cross-sectional study examining knowledge and attitudes towards sport-related concussion in Touch

doi.org/10.1016/j.ptsp…
@PTiSJournal (@ptisjournal) 's Twitter Profile Photo

Volume 65 (January 2024) is live! Foot strike & patellofemoral joint stress, injury rates in ultra-trail races, knee loading post-menisectomy, youth shoulder injury prevention programmes, lumbopelvic movement control in powerlifters with LBP, and more! sciencedirect.com/journal/physic…