
Plastic Surgery RLH
@plasticsrlh
Plastics and Reconstructive Surgery at Barts Heath NHS Trust, @emcareandtrauma division - contact us [email protected]
ID: 768892881914384384
25-08-2016 19:28:43
75 Tweet
184 Followers
174 Following

Hope to see as many people as possible at this tomorrow RLH EC&T Division Barts Health Dariush Nikkhah FRCS (Plast)


Great talk from Dariush Nikkhah FRCS (Plast) on free flaps this lunch time #lunchandlearn RLH EC&T Division



Our surgeons doing wonderful things with their annual leave! Great work Dariush Nikkhah FRCS (Plast) x.com/nikkhah1/statuβ¦




Another great Audit meeting of Barts Health Plastic Surgery with focus on child's health Plastic Surgery RLH Barts Health


Mr Mohamed Shibu highlights the challenges of health care provision in austere & war zones - #teaching Plastic Surgery RLH @ Barts Health


Dariush presenting valuable insights on child care on humanitarian missions Plastic Surgery RLH Dariush Nikkhah FRCS (Plast) RLH EC&T Division BFIRST


Dr Mutsago presenting on the use of tissue regenerative matrix for better children limb trauma care Plastic Surgery RLH Barts Health






Spending some time today in Plastic Surgery RLH teaching. Really useful for service development. Homework: read anatomy of hand π€π» π


Excellent day, morning with plastics CNS great work, surprise B'day lunch red face and awarding hero of the month to 12e Barts Health

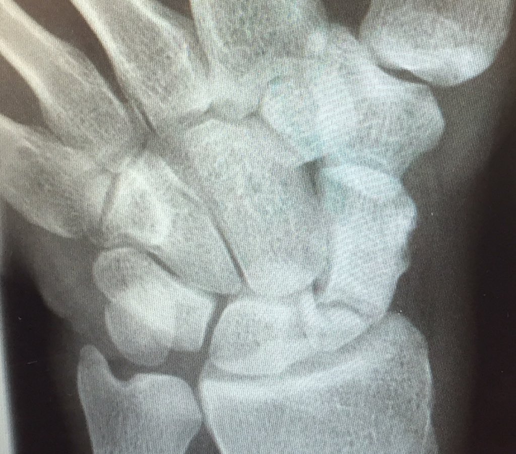
Plastic and Orthoteams at Barts join force to treat non-union scaphoid fractures x2 today Plastic Surgery RLH RLH EC&T Division Barts Health


Valuable contribution of Barts Plastic Surgery Team in QMUL MSc Reconstructive Microsurgery Summer School Plastic Surgery RLH RLH EC&T Division


Excellent progress, great work from all the team, leading to great improvements in care for our patients, thank you Plastic Surgery RLH x.com/nhsbartshealthβ¦