Prof. Dr. med. Aron-Frederik Popov (@profdrpopov) 's Twitter Profile
Prof. Dr. med. Aron-Frederik Popov

@profdrpopov

Head Department of Cardiac Surgery, Asklepios Hamburg-Harburg, Germany, Editor-in-Chief, -tweets are my own-

ID: 1513783847187529728

calendar_today12-04-2022 07:39:39

141 Tweet

428 Followers

246 Following

Prof. Dr. med. Aron-Frederik Popov (@profdrpopov) 's Twitter Profile Photo

The Future of Aortic Surgery? Typ A Dissection after TEVAR (in another clinic before), treated with Bentall, partial removal of TEVAR, Frozen Elephant 33mm, Debranching of supraaortic vessels, CPB via groin, 55min bilateral antegrade cerebral perfusion. Many thanks to the team!

Prof. Dr. med. Aron-Frederik Popov (@profdrpopov) 's Twitter Profile Photo

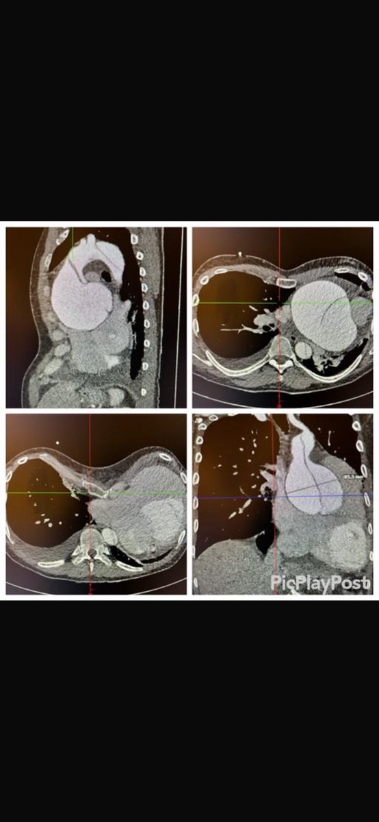
Challenge of the Week… Pectus Excavatum, Huge Aortic Aneurysm 85mm with Aortic Dissection, Aortic valve regurgitation, 51 y male, Ejection Fraction 20% Challenge: Chest Entry Extrathoracal CBP, On-X Bentall 25mm, Hemiarch

Challenge of the Week…

Pectus Excavatum, Huge Aortic Aneurysm 85mm with Aortic Dissection, Aortic valve regurgitation, 51 y male, Ejection Fraction 20%

Challenge: Chest Entry 

Extrathoracal CBP, On-X Bentall 25mm, Hemiarch
Frontiers in Cardiovascular Medicine (@frontcvmedicine) 's Twitter Profile Photo

New Research: Risk factors, prevention, and therapy of intraluminal stent thrombosis in frozen elephant trunk prostheses—what we know so far: Intraluminal thrombus formation (ILT) is a recently discovered and highly clinically relevant… frontiersin.org/articles/10.33… #cardiovascular

Prof. Dr. med. Aron-Frederik Popov (@profdrpopov) 's Twitter Profile Photo

The AMDS-Stent is a very good option in treating acute aortic type A dissection Stretching the felt during performing the anastomosis might be one key of success avoiding aortic stenosis and collapsing . Many thanks to Davide de Manna for sharing the illustrations.

The  AMDS-Stent is a very good option in treating acute aortic type A dissection
Stretching the felt during performing the anastomosis might be one key of success avoiding aortic stenosis and collapsing . Many thanks to Davide de Manna for sharing the illustrations.
Prof. Dr. med. Aron-Frederik Popov (@profdrpopov) 's Twitter Profile Photo

Good planning makes the surgery like walk in the park… Symptomatic Aberrant Right Subclavian Artery Minimal invasive aortic surgery, closed the origin from aortic arch, followed by carotid-subclavian bypass without CBP Petar Risteski, MD, FETCS Ale𝕏ander Weymann Bastian Schmack Arjang Ruhparwar

Prof. Dr. med. Aron-Frederik Popov (@profdrpopov) 's Twitter Profile Photo

When the Battle is Lost and Won Castor TEVAR branched Aortic stent in Zone II with Aortic dissection as emergency. Treated with Aortic arch repair, fixation of TEVAR, Debranching LCCA and Brachiocephalic Trunk and supracommisural replacement of AA Petar Risteski, MD, FETCS Ale𝕏ander Weymann

Prof. Dr. med. Aron-Frederik Popov (@profdrpopov) 's Twitter Profile Photo

The Fate of the Aorta after Coarctation Repair: Open Surgical Replacement of Descending Aorta in a High-Volume Unit mdpi.com/2949398 #mdpijcm via JCM MDPI

Prof. Dr. med. Aron-Frederik Popov (@profdrpopov) 's Twitter Profile Photo

Acute Aortic Syndrome with 9cm descending aorta without landing zone for TEVAR. We offered FET+TEVAR in one session. Unilateral brain perfusion, 28 degrees, Ascending replacement, FET, reimplantion of truncus and carotis artery, debranching LSA and extranatomical bypass and TEVAR

Prof. Dr. med. Aron-Frederik Popov (@profdrpopov) 's Twitter Profile Photo

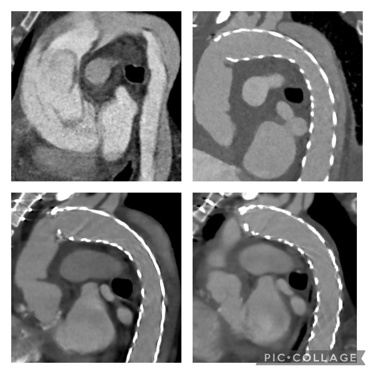
The initial case: Type A , huge AI, aortic root/ascending/ arch dissected, malperfusion, CAD, treated with Freestyle ascending replacement AMDS-Stent ,CABG X ; 1 year later we have observed an excellent result in terms of remodeling Ale𝕏ander Weymann THINK AORTA Global Artivion

The initial case: Type A , huge AI, aortic root/ascending/ arch dissected, malperfusion, CAD, treated with Freestyle ascending replacement AMDS-Stent ,CABG X ; 1 year later we have observed an excellent result in terms of remodeling
<a href="/AWeymannMD/">Ale𝕏ander Weymann</a> 
<a href="/THINK__AORTA/">THINK AORTA Global</a> 
<a href="/ArtivionInc/">Artivion</a>
Gjoko C. Boshkoski MD (@gjokoboskoski) 's Twitter Profile Photo

🔺 Complex cardiac surgery in Harburg: FET + reimplantation of the brachiocephalic trunk, common carotid arteries, and distal anastomosis to the left subclavian artery + 2× CABG. #CardiacSurgery #FET #CABG @AortaHarburg

🔺 Complex cardiac surgery in Harburg: FET + reimplantation of the brachiocephalic trunk, common carotid arteries, and distal anastomosis to the left subclavian artery + 2× CABG. #CardiacSurgery #FET #CABG @AortaHarburg