Purva Gopal (@purvago) 's Twitter Profile
Purva Gopal

@purvago

GI and Liver pathologist at UT Southwestern Medical Center @UTSW_GIpath #girlmom

ID: 605967221

linkhttps://utswmed.org/doctors/purva-gopal/ calendar_today12-06-2012 03:14:36

681 Tweet

1,1K Followers

446 Following

Appl Immunohistochem Mol Morphol Journal (@aimmjournal) 's Twitter Profile Photo

Variations of P40 and P63 #IHC in Different Grades of Esophageal Squamous Cell Ca: A Potential Diagnostic Pitfall ❗️ - P40 and P63 expression lower in well-diff SCC compared to higher grade #GIpath #IHCpath journals.lww.com/appliedimmunoh… Purva Gopal Suntrea Hammer UTSW GI Pathology

Variations of P40 and P63 #IHC in Different
Grades of Esophageal Squamous Cell Ca:
A Potential Diagnostic Pitfall ❗️

- P40 and P63 expression lower in well-diff SCC compared to higher grade

#GIpath #IHCpath

journals.lww.com/appliedimmunoh…

<a href="/Purvago/">Purva Gopal</a>  <a href="/SuntreaHammer/">Suntrea Hammer</a>  <a href="/UTSW_GIpath/">UTSW GI Pathology</a>
Purva Gopal (@purvago) 's Twitter Profile Photo

Please consider donating to support research at Children’s Medical Center Dallas, in honor of precious baby Ceci ❤️

UTSW GI Pathology (@utsw_gipath) 's Twitter Profile Photo

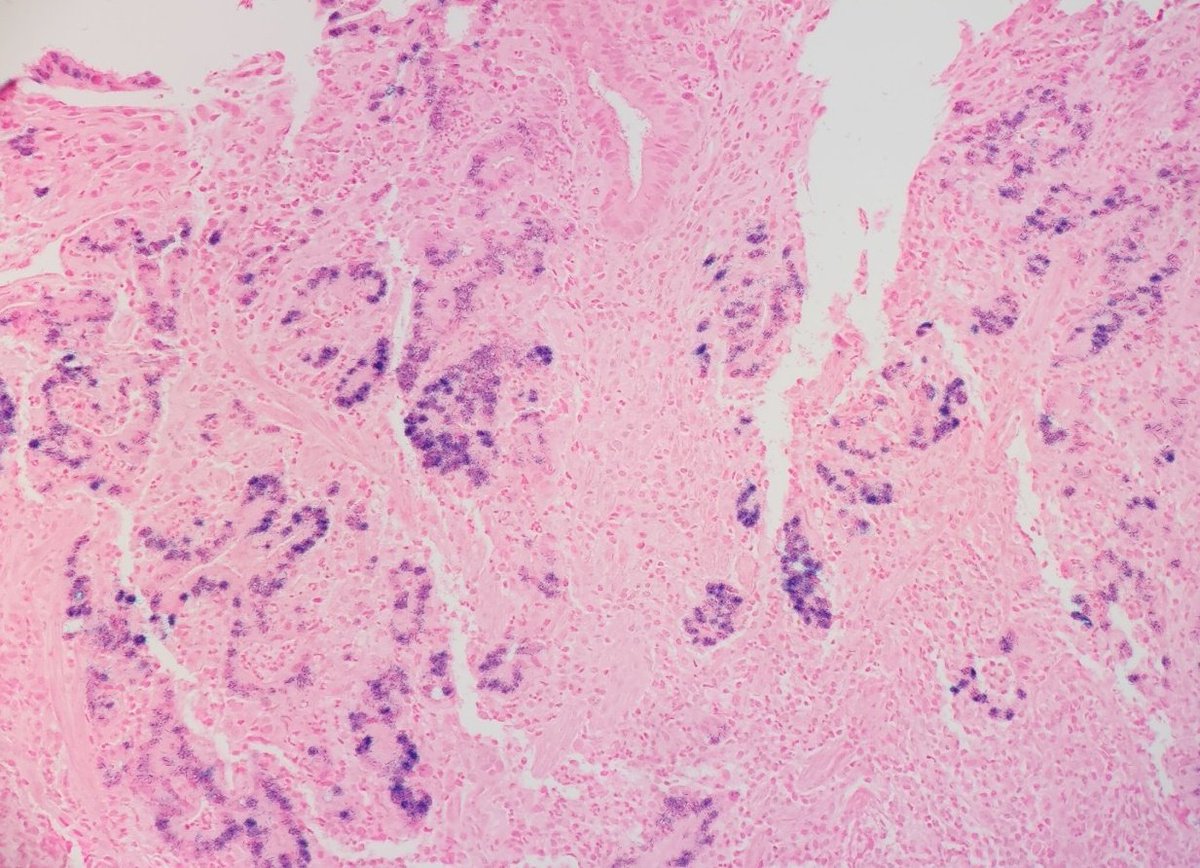
Herpes Esophagitis 3 Ms: Multinucleation Molding of nuclear contours Margination of chromatin #GIpath #pathology #PathTwitter #PathMatch24

Herpes Esophagitis

3 Ms:
Multinucleation
Molding of nuclear contours
Margination of chromatin

#GIpath #pathology #PathTwitter #PathMatch24
UTSW GI Pathology (@utsw_gipath) 's Twitter Profile Photo

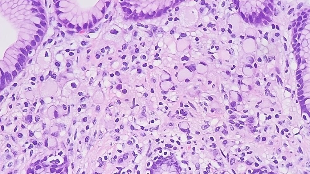
Total gastrectomy from pt with CDH1 germline mutation. 🦅👀 Courtesy of Dr. Dipti Karamchandani. #pathology #GIpath #PathTwitter

Total gastrectomy from pt with CDH1 germline mutation. 

🦅👀 Courtesy of Dr. Dipti Karamchandani.

#pathology #GIpath #PathTwitter
UTSW Department of Pathology (@utsw_pathology) 's Twitter Profile Photo

Join us for our residency virtual open house on September 7th and/or September 13th at 7PM CST to learn about our program and chat with current residents! Register here: forms.gle/NXoQWDmoWKeaLz… utsouthwestern.edu/education/medi… #PathTwitter #pathology #pathmatch24 #path2path

Join us for our residency virtual open house on September 7th and/or September 13th at 7PM CST to learn about our program and chat with current residents!

Register here:  forms.gle/NXoQWDmoWKeaLz…

utsouthwestern.edu/education/medi…

#PathTwitter #pathology #pathmatch24 #path2path
UTSW GI Pathology (@utsw_gipath) 's Twitter Profile Photo

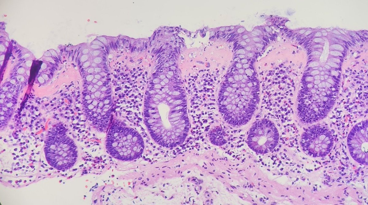
#pathresidents, what classic #GIpath do you see? Remember, never stop at one diagnosis.🧐 #pathology #PathTwitter #pathmatch2024 #2fer

#pathresidents, what classic #GIpath do you see?

Remember, never stop at one diagnosis.🧐

#pathology #PathTwitter #pathmatch2024 #2fer
UTSW GI Pathology (@utsw_gipath) 's Twitter Profile Photo

We are hiring! Join us as our 7th fellowship-trained GI pathologist. DM with questions and for additional information. #GIpath #pathology

We are hiring!  Join us as our 7th fellowship-trained GI pathologist.  

DM with questions and for additional information.

#GIpath #pathology
GIPS (GI Pathology Society) (@usgips) 's Twitter Profile Photo

Join us! Check out the GIPS (GI Pathology Society) @The_USCAP Palm Springs microscopy course "Reaching the Diagnosis in Difficult Cases" w/ Raul Gonzalez (Raul S. Gonzalez, MD), Laura Tang, Namrata Setia (nsetia), Purva Gopal (@purvago). Nov 6-8, 2024. shorturl.at/tyEO4 #GIpath #PathTwitter

Join us! Check out the <a href="/USGIPS/">GIPS (GI Pathology Society)</a> @The_USCAP Palm Springs microscopy course "Reaching the Diagnosis in Difficult Cases" w/ Raul Gonzalez (<a href="/RaulSGonzalezMD/">Raul S. Gonzalez, MD</a>), Laura Tang, Namrata Setia (<a href="/nsetia5/">nsetia</a>), Purva Gopal (@purvago). Nov 6-8, 2024. shorturl.at/tyEO4 #GIpath #PathTwitter
Rajal B Shah (@rajalbshah) 's Twitter Profile Photo

Incredibly humbled and grateful to receive recognition from the organization that you value and admire so deeply! Personally, this has been the most meaningful years of my career. I am thankful to almighty for his blessings and to you for your support, trust and love!❤️

Incredibly humbled and grateful to receive recognition from the organization that you value and admire so deeply! Personally, this has been the most meaningful years of my career. I am thankful to almighty for his blessings and to you for your support, trust and love!❤️
UTSW GI Pathology (@utsw_gipath) 's Twitter Profile Photo

Congratulations to our fantastic graduating fellow, Julia Gallardo, MD. 🎉 🎉 🎉 We are thrilled to announce that Dr. Gallardo will be joining us as our 7th GI/liver fellowship-trained pathologist. #pathology #GIpath #pathX

Congratulations to our fantastic graduating fellow, <a href="/juliagallardo23/">Julia Gallardo, MD</a>. 🎉 🎉 🎉 

We are thrilled to announce that Dr. Gallardo will be joining us as our 7th GI/liver fellowship-trained pathologist.  

#pathology #GIpath #pathX