Renal Pathology Society (@renalpathsoc) 's Twitter Profile
Renal Pathology Society

@renalpathsoc

Twitter account of the Renal Pathology Society (RPS) #renalpath

ID: 954775034178035712

linkhttp://www.renalpathsoc.org calendar_today20-01-2018 17:58:01

4,4K Tweet

6,6K Followers

827 Following

Kidney International (@kidney_int) 's Twitter Profile Photo

Improving frozen section evaluation of procurement donor #kidneybiopsies and reducing the discard rate: a promising role for artificial intelligence doi.org/10.1016/j.kint… Original article: doi.org/10.1016/j.kint… Cedars-Sinai Academic Medicine #KICommentary #renalpath #transplantation

Improving frozen section evaluation of procurement donor #kidneybiopsies and reducing the discard rate: a promising role for artificial intelligence

doi.org/10.1016/j.kint…

Original article: doi.org/10.1016/j.kint…

<a href="/CedarsSinaiMed/">Cedars-Sinai Academic Medicine</a> 
#KICommentary #renalpath #transplantation
Tiffany Caza (@tiff_caza) 's Twitter Profile Photo

Uric acid crystals/microtophi: - associated with gout - occur in deep medulla - collecting ducts - can migrate from tubular lumens to interstitium - can have a granulomatous reaction - basophilic and polarizing when examining frozen sections From Dr. Biederman @renalpathsoc

Uric acid crystals/microtophi:
- associated with gout
- occur in deep medulla - collecting ducts
- can migrate from tubular lumens to interstitium
- can have a granulomatous reaction
- basophilic and polarizing when examining frozen sections 
From Dr. Biederman @renalpathsoc
Jonathan Zuckerman MD PhD (@jzrenalpath) 's Twitter Profile Photo

Nice example of striped fibrosis which is often attributed to chronic CNI toxicity in kidney transplant biopsies. #renalpath #pathtwitter

Nice example of striped fibrosis which is often attributed to chronic CNI toxicity in kidney transplant biopsies. #renalpath #pathtwitter
Int Society of Nephrology (@isnkidneycare) 's Twitter Profile Photo

🌡️ As climate change accelerates, extreme heat is no longer a seasonal nuisance; it’s a silent health crisis. One of its most devastating and overlooked consequences? Chronic Kidney Disease of unknown etiology (CKDu). A new study from Odisha, India, published in KIReports,

🌡️ As climate change accelerates, extreme heat is no longer a seasonal nuisance; it’s a silent health crisis. One of its most devastating and overlooked consequences? Chronic Kidney Disease of unknown etiology (CKDu).

A new study from Odisha, India, published in <a href="/KIReports/">KIReports</a>,
Anuja Java, MD (she/her) (@anuja_java) 's Twitter Profile Photo

Our review “The Role of Complement in Normal Pregnancy and Preeclampsia” is out! We dive into pathophysiology (in mice & humans), touching on genetics, diagnosis, mgmt, key controversies, & unmet needs. A joy to work with Richard Burwick, MD, MPH & #JeanRegal frontiersin.org/journals/immun…

KIReports (@kireports) 's Twitter Profile Photo

Prospective Pilot Study of Plasma Cell–Targeted Therapy With #Bortezomib in Refractory IgA Nephropathy #IgAN #VisualAbstract by Krishna Penmatsa kireports.org/article/S2468-…

Prospective Pilot Study of Plasma Cell–Targeted Therapy With #Bortezomib in Refractory IgA Nephropathy #IgAN

#VisualAbstract by <a href="/krishnadoctor1/">Krishna Penmatsa</a>

kireports.org/article/S2468-…
Yasar Caliskan (@yasar_caliskan) 's Twitter Profile Photo

🧬 New publication! "Utility of Genetic Information for Management in Kidney Transplantation and Living Donation" We discuss how genetic testing informs kidney transplantation, precision care and donor selection. 📄 Read here: authors.elsevier.com/a/1lRzTzcYo6Ci8 #Genetics #KidneyTransplant

🧬 New publication! "Utility of Genetic Information for Management in Kidney Transplantation and Living Donation"
We discuss how genetic testing informs kidney transplantation, precision care and donor selection.
📄 Read here: authors.elsevier.com/a/1lRzTzcYo6Ci8
#Genetics #KidneyTransplant
Dr. John Cush (@rheumnow) 's Twitter Profile Photo

Fibrosis in IgG4-related disease due to the overexpression of early growth response-1 (EGR-1) by Epithelial cells that facilitates tissue fibrosis buff.ly/fnQ14E7 buff.ly/94QmII9

Fibrosis in IgG4-related disease due to the overexpression of early growth response-1 (EGR-1) by  Epithelial cells that facilitates tissue fibrosis  buff.ly/fnQ14E7  buff.ly/94QmII9
Ziad El-Zaatari (@ziad_zaatari) 's Twitter Profile Photo

🔬📷 Uromodulin Cast ~ Pale and irregularly shaped cast material with "frothy" appearance, and surrounded by inflammation (due to extravasation) ~ #RenalPath #Pathology #Kidney

🔬📷 Uromodulin Cast ~ Pale and irregularly shaped cast material with "frothy" appearance, and surrounded by inflammation (due to extravasation) ~ #RenalPath #Pathology #Kidney
Daniel G. Oliveira (@g_o_daniel) 's Twitter Profile Photo

📢 Our new paper is out in Autoimmunity Reviews! We review how social determinants of health #SDH shape outcomes in #lupus — across the full patient journey — and explore solutions. Huge thank you to Zoe & Lena from Lupus Europe and Laurent ARNAUD ! 🔗 doi.org/10.1016/j.autr…

📢 Our new paper is out in Autoimmunity Reviews!
We review how social determinants of health #SDH  shape outcomes in #lupus — across the full patient journey — and explore solutions.
Huge thank you to Zoe &amp; Lena from <a href="/LupusEurope/">Lupus Europe</a>  and <a href="/Lupusreference/">Laurent ARNAUD</a> !

🔗 doi.org/10.1016/j.autr…
AJKD (@ajkdonline) 's Twitter Profile Photo

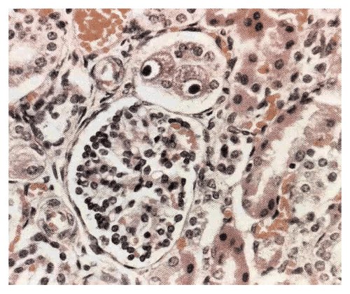
#RenalPath: The collapsing pattern in collapsing glomerulopathy is evident here, with accentuation of each lobule due to the collapse of the tuft. There is also overlying glomerular visceral epithelial cell hyperplasia with protein droplets. bit.ly/2LapiYx (Free)

#RenalPath: The collapsing pattern in collapsing glomerulopathy is evident here, with accentuation of each lobule due to the collapse of the tuft. There is also overlying glomerular visceral epithelial cell hyperplasia with protein droplets. 

bit.ly/2LapiYx (Free)
AJKD (@ajkdonline) 's Twitter Profile Photo

Kidney Cysts in Autosomal Dominant Polycystic Kidney Disease and Alport Syndrome: Two Familial Cases Illustrating Diagnostic Challenges bit.ly/Bais25CR Ron Gansevoort #ADPKD

Kidney Cysts in Autosomal Dominant Polycystic Kidney Disease and Alport Syndrome: Two Familial Cases Illustrating Diagnostic Challenges 

bit.ly/Bais25CR 

<a href="/RonGansevoort/">Ron Gansevoort</a>

#ADPKD