Samhan Alsolami (@samhan182) 's Twitter Profile
Samhan Alsolami

@samhan182

Former PhD candidate in Mo Li lab | Currently Postdoctoral Fellow at Salk Institute | Ibn Rushd Fellow | Aging Research 🔬| Rusty Gage Lab

ID: 873249590111117313

calendar_today09-06-2017 18:45:01

342 Tweet

209 Followers

383 Following

Oxford Nanopore (@nanopore) 's Twitter Profile Photo

iMiGseq is a potentially groundbreaking technique, that uses long nanopore sequencing reads to overcome the limitations of traditional mtDNA sequencing methods. Learn how it provides comprehensive analysis of mtDNA in single cells: bit.ly/3Mqaibw Mo

Mo (@mo_li_kaust) 's Twitter Profile Photo

My former phd student Samhan Alsolami from Thuwal (!👍) and Ibn Rushd fellow being recognized as an ISSCR travel awardee today in ISSCR plenary session today #ISSCR2023 KAUST Research @KAUST_SHI كاوست KAUST

My former phd student <a href="/Samhan182/">Samhan Alsolami</a> from Thuwal (!👍) and Ibn Rushd fellow being recognized as an ISSCR travel awardee today in ISSCR plenary session today #ISSCR2023 <a href="/KaustResearch/">KAUST Research</a> @KAUST_SHI <a href="/KAUST_NewsAR/">كاوست</a> <a href="/KAUST_News/">KAUST</a>
bioRxiv (@biorxivpreprint) 's Twitter Profile Photo

DMSO derives Trophectoderm and Clonal Blastoid from Single Human Pluripotent Stem Cell biorxiv.org/cgi/content/sh… #bioRxiv

Salk Institute (@salkinstitute) 's Twitter Profile Photo

Congrats to Rusty Gage and Pallav Kosuri who were awarded $1.3 million by the W. M. Keck Foundation to study how brain and heart cell functions decline over time due to ribosubstitution events—when DNA is repaired with RNA building blocks #neuroscience salk.edu/news-release/s…

Congrats to Rusty Gage and <a href="/PallavKosuri/">Pallav Kosuri</a> who were awarded $1.3 million by the W. M. Keck Foundation to study how brain and heart cell functions decline over time due to ribosubstitution events—when DNA is repaired with RNA building blocks #neuroscience
salk.edu/news-release/s…
Nature Biotechnology (@naturebiotech) 's Twitter Profile Photo

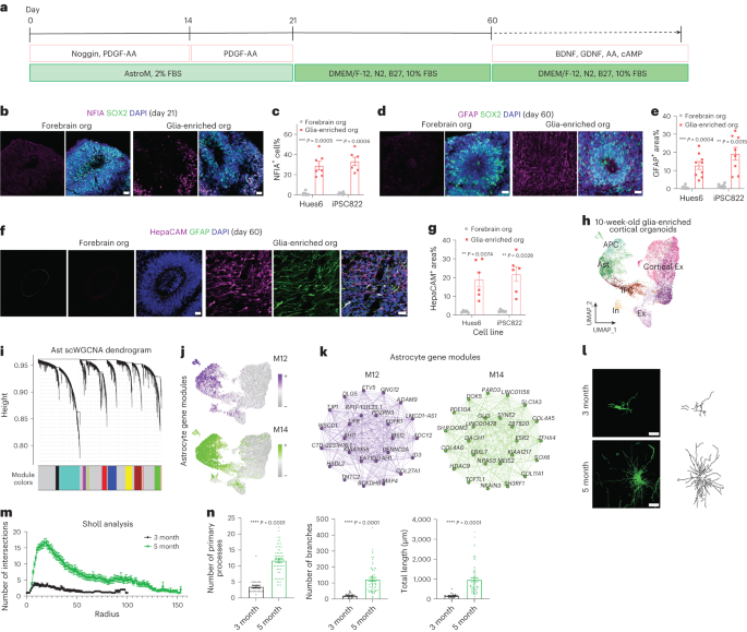
Morphological diversification and functional maturation of human astrocytes in glia-enriched cortical organoid transplanted in mouse brain go.nature.com/48Hab32

Morphological diversification and functional maturation of human astrocytes in glia-enriched cortical organoid transplanted in mouse brain go.nature.com/48Hab32
Salk Institute (@salkinstitute) 's Twitter Profile Photo

Salk Professor Rusty Gage with Lei Zhang, Meiyan Wang, and team have created a new organoid model of the human brain to study inflammation 🧠 The new model includes #astrocytes and will help scientists understand diseases like #Alzheimer's Nature Biotechnology salk.edu/news-release/m…

Salk Professor Rusty Gage with Lei Zhang, Meiyan Wang, and team have created a new organoid model of the human brain to study inflammation 🧠 The new model includes #astrocytes and will help scientists understand diseases like #Alzheimer's <a href="/NatureBiotech/">Nature Biotechnology</a>
salk.edu/news-release/m…
The Karlseder Lab (@karlsederlab) 's Twitter Profile Photo

We are excited that our study on telomere sequencing in collaboration with Oxford Nanopore is published nature.com/articles/s4146… We developed Telo-seq, a method to determine the length and composition of entire human telomeres in bulk, chromosome arm and in some cases allelic resolution

Salk Institute (@salkinstitute) 's Twitter Profile Photo

Congrats to Professor Rusty Gage for being named the 2024 Taylor Laureate by Western University! One of Canada's most prestigious research prizes, Gage was selected for his transformative work in aging research and leadership in the field Schulich WesternU Western University

Congrats to Professor Rusty Gage for being named the 2024 Taylor Laureate by Western University! One of Canada's most prestigious research prizes, Gage was selected for his transformative work in aging research and leadership in the field <a href="/SchulichMedDent/">Schulich WesternU</a> <a href="/WesternU/">Western University</a>
Cell Biology J-Club (@cell_club) 's Twitter Profile Photo

Restoring hippocampal glucose metabolism rescues cognition across Alzheimer’s disease pathologies | Science science.org/doi/10.1126/sc…

Neural Cell News (@neuralcell) 's Twitter Profile Photo

Join us in congratulating Dr. Rusty Gage, the recipient of the 2024 Ogawa-Yamanaka Stem Cell Prize, awarded by Gladstone Institutes. ⭐ Learn more about Dr. Gage's research on age-related neurodegenerative disease and psychiatric disorders. 👇 Salk Institute |

Join us in congratulating Dr. Rusty Gage, the recipient of the 2024 Ogawa-Yamanaka Stem Cell Prize, awarded by <a href="/GladstoneInst/">Gladstone Institutes</a>. ⭐

Learn more about Dr. Gage's research on age-related neurodegenerative disease and psychiatric disorders. 👇 

<a href="/salkinstitute/">Salk Institute</a> |
Ahmed mahas (@aimahas) 's Twitter Profile Photo

1. Happy to share our latest work bioRxiv on developing SONAR (Sensing Of Nucleic acids using ASOs and Reverse-transcriptases) for sensing and responding to nucleic acids in living cells. biorxiv.org/content/10.110… 👇🧵