Swati Satturwar (@satturwarswati) 's Twitter Profile
Swati Satturwar

@satturwarswati

ID: 1226159875585138689

calendar_today08-02-2020 15:04:50

373 Tweet

271 Followers

123 Following

Swati Satturwar (@satturwarswati) 's Twitter Profile Photo

urldefense.com/v3/__https:/ww…$ This is the correct link to the survey...emerging cytology reporting systems...thanks everyone who took the survey!

Cancer Cytopathology (@cancercytopath) 's Twitter Profile Photo

#OpenAccess: FNA and effusion cytology of thoracic SMARCA4–deficient undifferentiated tumor and SMARCA4-deficient NSCLC: A multi-institutional experience with 27 patients acsjournals.onlinelibrary.wiley.com/doi/full/10.10… #CytoPath Liron Pantanowitz Swati Satturwar Sanjay Mukhopadhyay Nicole Zalles MD, PhD

#OpenAccess: FNA and effusion cytology of thoracic SMARCA4–deficient undifferentiated tumor and SMARCA4-deficient NSCLC: A multi-institutional experience with 27 patients

acsjournals.onlinelibrary.wiley.com/doi/full/10.10…

#CytoPath <a href="/PathPro/">Liron Pantanowitz</a> <a href="/SatturwarSwati/">Swati Satturwar</a> <a href="/smlungpathguy/">Sanjay Mukhopadhyay</a> <a href="/ZallesNicole/">Nicole Zalles MD, PhD</a>
The Ohio State University College of Medicine (@ohiostatemed) 's Twitter Profile Photo

Our Lifetime Achievement in Education Award recipient is Wendy Frankel, MD, Professor Emeritus of Pathology at #OSUCOM. Since joining us in 1997, she has touched countless lives with her mentorship and brilliance. 👏❤️

Our Lifetime Achievement in Education Award recipient is <a href="/WendyFrankelMD/">Wendy Frankel, MD</a>, Professor Emeritus of Pathology at #OSUCOM. Since joining us in 1997, she has touched countless lives with her mentorship and brilliance. 👏❤️
Swati Satturwar (@satturwarswati) 's Twitter Profile Photo

It is never too late....pathology trainees should take advantage of free membership to this great resource and increase their engagement at DPA!! See you all at PathVisions in San Diego!!

Cytopathology.org (@cytopathology) 's Twitter Profile Photo

You are invited to submit abstracts for Platform and Poster Presentations for the 73rd Annual Scientific Meeting to be held November 5-9, 2025, in St. Louis, Missouri, USA. For more information and to submit - buff.ly/4938he3 #ASCyto25 #cyto #cytopath #cytologist

You are invited to submit abstracts for Platform and Poster Presentations for the 73rd Annual Scientific Meeting to be held November 5-9, 2025, in St. Louis, Missouri, USA.
For more information and to submit - buff.ly/4938he3
#ASCyto25 #cyto #cytopath #cytologist
UPMC Pathology (@upmcpathology) 's Twitter Profile Photo

We are thrilled to share #CPACE 7-part open access series on #AI_in_Pathology, now published in Modern Pathology! Thanks to UPMC Pathology amazing authors & co-editors Drs. Pantanowitz, Hanna & Rashidi. A CPACE/University of Pittsburgh School of Medicine effort to democratize AI in healthcare

We are thrilled to share #CPACE 7-part open access series on #AI_in_Pathology, now published in <a href="/ModernPathology/">Modern Pathology</a>! Thanks to <a href="/UPMCPathology/">UPMC Pathology</a> amazing authors &amp; co-editors Drs. Pantanowitz, Hanna &amp; Rashidi. A CPACE/<a href="/PittTweet/">University of Pittsburgh</a> School of Medicine effort to democratize AI in healthcare
Swati Satturwar (@satturwarswati) 's Twitter Profile Photo

Don't miss early bird discount for Pathvisions 2025!! Do not miss this opportunity....From pixels to patients....reshaping pathology practice updates!

The Digital Pathology Association (@dpatweet) 's Twitter Profile Photo

COMMITTEES + TASK FORCES Members have the opportunity to be a part of a committee that aids in the advancement of digital pathology. A global network of professionals across disciplines such as pathology, IT and medical engineering are united behind this purpose.

COMMITTEES + TASK FORCES 
Members have the opportunity to be a part of a committee that aids in the advancement of digital pathology. A global network of professionals across disciplines such as pathology, IT and medical engineering are united behind this purpose.
The Digital Pathology Association (@dpatweet) 's Twitter Profile Photo

Track two afternoon sessions discussed the purpose of a progressive learning for multi-class brain tissue segmentation in WSI, thyroid cytology with AIxTHY, AI-powered prognostic indexing and AI-based recurrence prediction in invasive lung adenocarcinoma. #Pathvisions25

Track two afternoon sessions discussed the purpose of a progressive learning for multi-class brain tissue segmentation in WSI, thyroid cytology with AIxTHY, AI-powered prognostic indexing and AI-based recurrence prediction in invasive lung adenocarcinoma.
#Pathvisions25
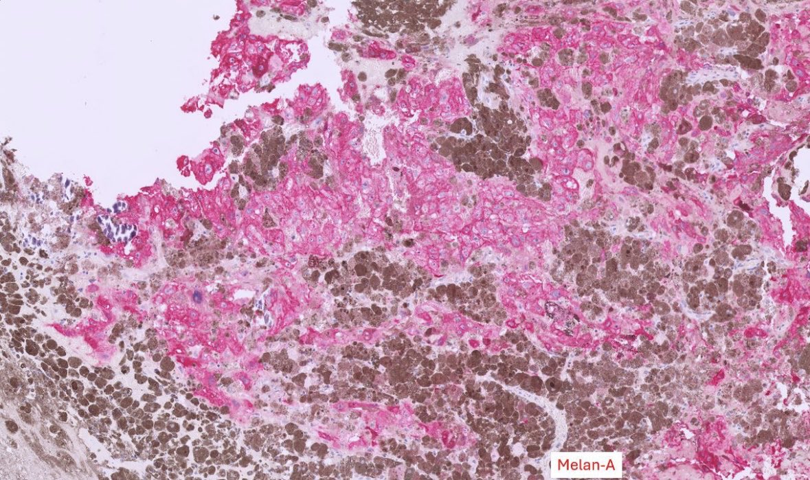
Peter Kobalka (@peterkobalka) 's Twitter Profile Photo

Mass of spine 32M. Malignant Melanotic Nerve Sheath Tumor (MMNST). Heavily pigmented tumor. Note the frequent psammoma bodies here, a clue to the correct diagnosis. Syndrome/molecular? Other features of this syndrome? #pathx #pathtwitter #neuropath #neuropathology #cnspathology

Mass of spine 32M. Malignant Melanotic Nerve Sheath Tumor (MMNST). Heavily pigmented tumor. Note the frequent psammoma bodies here, a clue to the correct diagnosis. Syndrome/molecular? Other features of this syndrome? #pathx #pathtwitter #neuropath #neuropathology #cnspathology
Cancer Cytopathology (@cancercytopath) 's Twitter Profile Photo

#OpenAccess: FNA and effusion cytology of thoracic SMARCA4–deficient undifferentiated tumor and SMARCA4-deficient NSCLC: A multi-institutional experience with 27 patients acsjournals.onlinelibrary.wiley.com/doi/full/10.10… #CytoPath Liron Pantanowitz Swati Satturwar Sanjay Mukhopadhyay Nicole Zalles MD, PhD

#OpenAccess: FNA and effusion cytology of thoracic SMARCA4–deficient undifferentiated tumor and SMARCA4-deficient NSCLC: A multi-institutional experience with 27 patients

acsjournals.onlinelibrary.wiley.com/doi/full/10.10…

#CytoPath <a href="/PathPro/">Liron Pantanowitz</a> <a href="/SatturwarSwati/">Swati Satturwar</a> <a href="/smlungpathguy/">Sanjay Mukhopadhyay</a> <a href="/ZallesNicole/">Nicole Zalles MD, PhD</a>