Sultan Al-Hajahjeh (@sultanhajahjeh) 's Twitter Profile
Sultan Al-Hajahjeh

@sultanhajahjeh

Vascular and interventional radiology fellow @IowaRAD @UIHealthcare

ID: 1761261022373900288

calendar_today24-02-2024 05:25:37

15 Tweet

30 Followers

96 Following

Dr Kish Mankad (@drmankad) 's Twitter Profile Photo

Tip of the day 💡: When the lateral ventricles have irregular shores, review the cortex for malformations. Volume T1 would be the best next step to confirm. Genetic malformations need not be symmetrical. Here’s a relatively novel mutation: GRIN2B for your review.

Tip of the day 💡: When the lateral ventricles have irregular shores, review the cortex for malformations. Volume T1 would be the best next step to confirm. Genetic malformations need not be symmetrical. Here’s a relatively novel mutation: GRIN2B for your review.
Lea Alhilali, MD (@teachplaygrub) 's Twitter Profile Photo

Looking for a white knight to help you remember white matter anatomy? Do questions about white matter make you turn white as a ghost? Well, here’s a white-hot way to remember it! Coronally, major white matter tracts look like 2 people dancing—can you see it? Let me explain!

Looking for a white knight to help you remember white matter anatomy?

Do questions about white matter make you turn white as a ghost?

Well, here’s a white-hot way to remember it!

Coronally, major white matter tracts look like 2 people dancing—can you see it?

Let me explain!
Dr Kish Mankad (@drmankad) 's Twitter Profile Photo

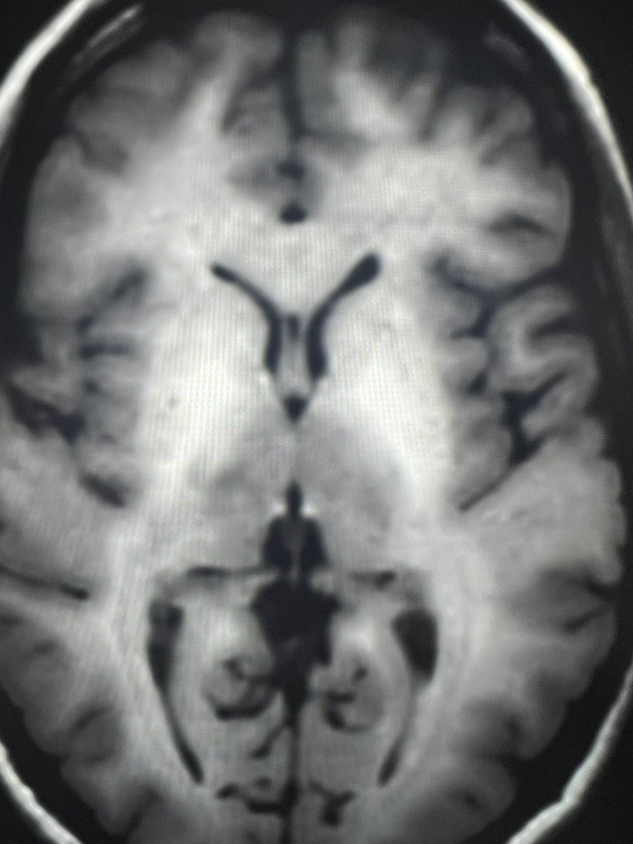
Tip of the day 💡: This is not a bad quality picture. This is a case of manganese deposition in the brain characterised by T1 shortening. Note the sparing however of the central pons and thalami. Trust me, it’s characteristic for Mn transporter defects.

Tip of the day 💡: This is not a bad quality picture. This is a case of manganese deposition in the brain characterised by T1 shortening. Note the sparing however of the central pons and thalami. Trust me, it’s characteristic for Mn transporter defects.
SNIS Info (@snisinfo) 's Twitter Profile Photo

It's always important to understand #anatomy even during an #ICA terminus occlusion - how would you classify this pcomm artery? Comment below! #stroke CV Section ESMINT Society

It's always important to understand #anatomy even during an #ICA terminus occlusion - how would you classify this pcomm artery? Comment below!
#stroke <a href="/cvsection/">CV Section</a> <a href="/esmintsociety/">ESMINT Society</a>
Carver College of Medicine (@iowamed) 's Twitter Profile Photo

Physicians, time to show your Hawkeye pride. 💛 Check your Doximity account to see if you're eligible to vote for UI Hospitals & Clinics or @UIChildrens in this year’s U.S. News & World Report “Best Hospitals” and “Best Children’s Hospitals” rankings: spr.ly/6017X6k7N

Sultan Al-Hajahjeh (@sultanhajahjeh) 's Twitter Profile Photo

I am delighted to announce that I will start an Interventional Radiology fellowship at University of Iowa Radiology. I am eager to advance my skills and contribute to the field with such a distinguished program. I am looking forward to the journey ahead!

Sultan Al-Hajahjeh (@sultanhajahjeh) 's Twitter Profile Photo

Exciting news! Our research, "There is poor agreement between the subjective and quantitative adjudication of aneurysm wall enhancement," has been published in AJNR !🎉 I'm honored to have collaborated with my incredible colleagues on this critical topic. You can read more

AJNR (@theajnr) 's Twitter Profile Photo

Edgar A Samaniego P Carlos Dier Iowa Vascular University of Iowa Radiology Sultan Al-Hajahjeh, MD Sebastián Sánchez Andres Gudiño Elena Sagüés Fer Avalos "Subjective adjudication of AWE in saccular aneurysms is prone to bias and interreader variability. Objectively quantifying the SI of the aneurysm wall can improve AWE assessment. A 3D AWE method can be particularly useful for evaluating patients with multiple and larger

Bruno Policeni (@bpoliceni) 's Twitter Profile Photo

🚀 Thrilled to welcome our new class of fellows! Can’t wait to see the impact they’ll make this year. Here’s to growth, innovation, and a great journey ahead!

Carlos Dier (@dier_carlos) 's Twitter Profile Photo

Inter-rater reliability of atherosclerotic plaque enhancement on 7 T vessel wall MRI: Comparison with quantitative analysis Edgar A Samaniego P Iowa Vascular University of Iowa Radiology journals.sagepub.com/doi/10.1177/15…

Carlos Dier (@dier_carlos) 's Twitter Profile Photo

Intracranial plaque enhancement is a biomarker of plaque vulnerability. Voxel-based quantification may aid in its assessment, particularly in posterior circulation plaques.

Sultan Al-Hajahjeh (@sultanhajahjeh) 's Twitter Profile Photo

Our latest study evaluates the inter-rater reliability of intracranial plaque enhancement (IPE) on 7T vessel wall MRI, comparing subjective assessment with voxel-based quantification. Iowa Vascular University of Iowa Radiology Carlos Dier Bruno Policeni Edgar A Samaniego P