
Swathi Prabhu, MD
@swathiprabhu5
Thinker, traveller, believes in living life to the fullest🇮🇳
Assistant Professor, Division of Oncopathology @MAHE_manipal
ID: 961944386899648514
09-02-2018 12:46:28
8,8K Tweet
3,3K Followers
3,3K Following

Highlights from the ESMO Gastrointestinal Cancers Congress 2025 by Myriam Chalabi Frank Sinicrope, MD Vinod BalachandranMD Michael overman oncodaily.com/insight/esmo-3… #ESMOGI25 #Cancer #OncoDaily #Medicine #Oncology #MedEd #MedX #MedNews


I’m happy to share our latest work on tumour necrosis! During my time in the Mikala Egeblad lab, we found that tumour necrosis is not a passive phenomenon secondary to tumour growth, but an active phenomenon driven by neutrophils and NETs! Thread below: (1/13) nature.com/articles/s4158…

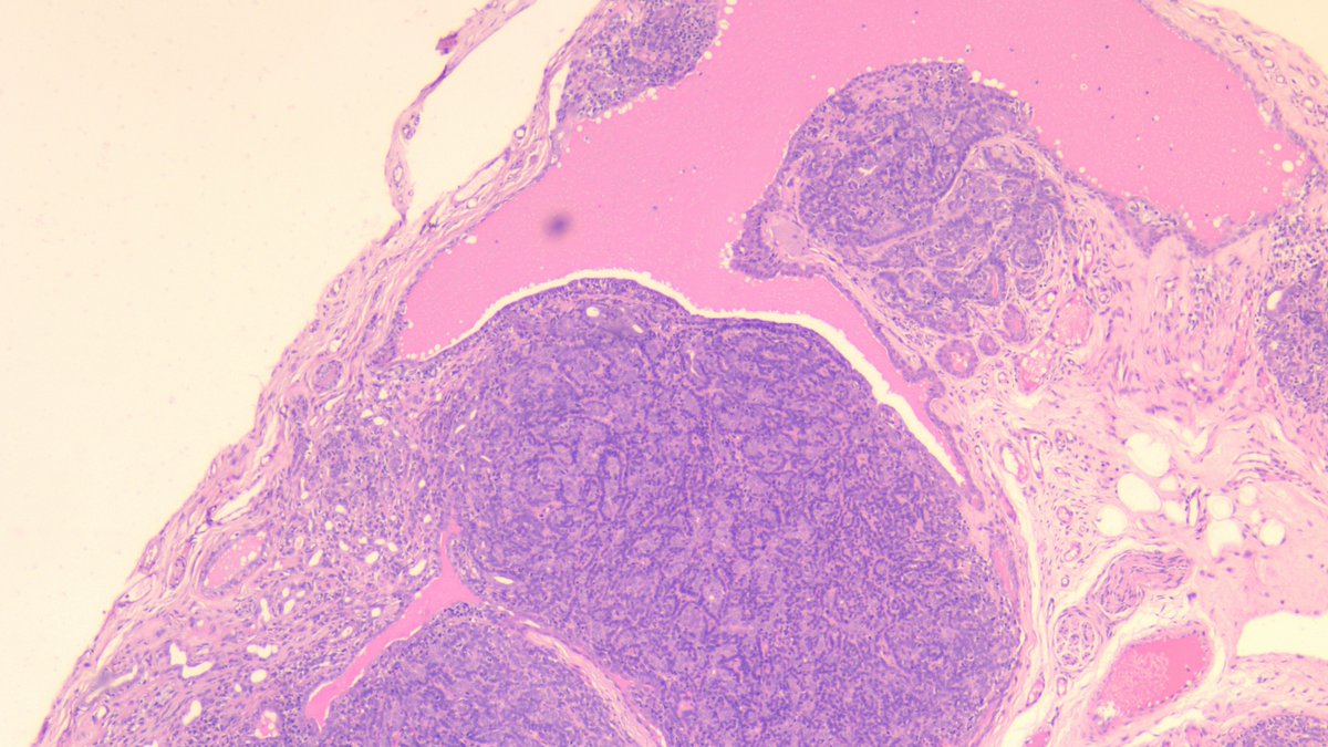
47/F swelling submandibular region #cytopath #pathtwitter Pepe Jiménez Heffernan Vidya Monappa Kalyani Bambal Abhisek Kumar, DNB


Revisit this September 2024 article discussing the cases of two patients with papillary renal neoplasm with reverse polarity. 🔬 acsjournals.onlinelibrary.wiley.com/doi/10.1002/cn… #CytoPath #GUpath Sarah J. Wu, MD, PhD @edcibas @pathdocboston @michelledunno17



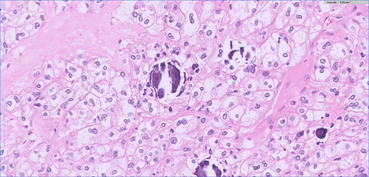
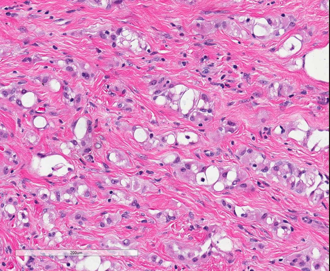
50/F 5cm lung mass.Patient has an ontological history. #cytopath #pathtwitter #lung Pepe Jiménez Heffernan Vidya Monappa Kalyani Bambal Olaleke Folaranmi Abhisek Kumar, DNB


37/F Pap smear. #cytopath #pathtwitter #parasite Pepe Jiménez Heffernan Vidya Monappa Kalyani Bambal Abhisek Kumar, DNB Olaleke Folaranmi



Preprint from Dow Lab Weill Cornell Medicine using CRISPR base editing screens: Genetic mechanisms of resistance to targeted KRAS inhibition biorxiv.org/content/10.110… MAPK reactivation remains the predominant mechanism of resistance to KRASinh. Also identifies a hotspot mutation in CiC.



Angiosarcoma diagnostic difficulties Check out our new article ijp.iranpath.org/article_728541… Vidya Monappa


Read our latest #research in Head Neck Pathol Salivary Oncocytic Intraductal Carcinoma of Harboring a Novel GAB1::FRK Gene Fusion doi.org/10.1007/s12105… #ENTPath #moldx #molpath



