Taisia Vitkovski (@taisiavitkovski) 's Twitter Profile
Taisia Vitkovski

@taisiavitkovski

GI pathologist 🔬 @NorthwellHealth Residency Program Director👩‍🏫 Educational tweets no medical advice

ID: 1261694554496999424

calendar_today16-05-2020 16:26:45

417 Tweet

937 Followers

406 Following

Pallavi Khattar@PK (@khattarpallavi) 's Twitter Profile Photo

Unexpected #Hematopathology #Fellowship opening for the year 2024-25! Join us if you are looking for a fantastic #hematopathology training opportunity. DM me for more info or click professionals.northwell.edu/graduate-medic… Zucker Pathology Residency Ace My Path @pathologytrainees Northwell Health Association of Pathology Chairs

Taisia Vitkovski (@taisiavitkovski) 's Twitter Profile Photo

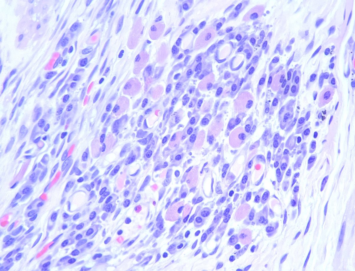
This is a group of plasma cells. Some of them contain Russell bodies, which are cytoplasmic inclusions containing immunoglobulins. We often associate these with Russell body gastritis, but this is in an ileostomy in a patient with Crohn’s #gipath Zucker Pathology Residency

This is a group of plasma cells. Some of them contain Russell bodies, which are cytoplasmic inclusions containing immunoglobulins. We often associate these with Russell body gastritis, but this is in an ileostomy in a patient with Crohn’s #gipath <a href="/ZuckerPathRes/">Zucker Pathology Residency</a>
Prof Jenna Gregory (@jennagregory488) 's Twitter Profile Photo

Nice example of gastric antral vascular ectasia (GAVE) today - in a person with classical “watermelon stomach” appearance on endoscopy (being investigated because of iron deficiency anaemia and probable malena). Thought I would share with you all 💁‍♀️🔬🤓 #GIpath #PathTwitter

Nice example of gastric antral vascular ectasia (GAVE) today - in a person with classical “watermelon stomach” appearance on endoscopy (being investigated because of iron deficiency anaemia and probable malena). Thought I would share with you all 💁‍♀️🔬🤓 #GIpath #PathTwitter
Adam L. Booth, MD (@alboothmd) 's Twitter Profile Photo

Join Gastroenterologist Judy Trieu, MD, MPH, CAPathologists President Donald Karcher, MD, FCAP, and myself live March 16th as we discuss Rising Colon Cancer in Younger Adults youtube.com/watch?v=fuMRMg… #pathology #gastroenterology #gipath #coloncancerawareness #crcsm

Join Gastroenterologist <a href="/TrieuMD/">Judy Trieu, MD, MPH</a>, <a href="/Pathologists/">CAPathologists</a> President <a href="/DonKarcherMD/">Donald Karcher, MD, FCAP</a>, and myself live March 16th as we discuss Rising Colon Cancer in Younger Adults

youtube.com/watch?v=fuMRMg…

#pathology #gastroenterology #gipath #coloncancerawareness #crcsm