UWRenalPath (@uwrenalpath) 's Twitter Profile
UWRenalPath

@uwrenalpath

Renal Pathology Group at the University of Washington. Tweets do not represent medical advice.

ID: 1202456841571012608

linkhttps://dlmp.uw.edu/patient-care/renal calendar_today05-12-2019 05:18:11

262 Tweet

757 Followers

417 Following

Jonathan Zuckerman MD PhD (@jzrenalpath) 's Twitter Profile Photo

Interesting case of chronic active ABMR with superimposed collapsing glomerulopathy. Also features of chronic CNI effect. Several years post txp. #renalpath #nephropath

Interesting case of chronic active ABMR with superimposed collapsing glomerulopathy. Also features of chronic CNI effect. Several years post txp. #renalpath #nephropath
UWRenalPath (@uwrenalpath) 's Twitter Profile Photo

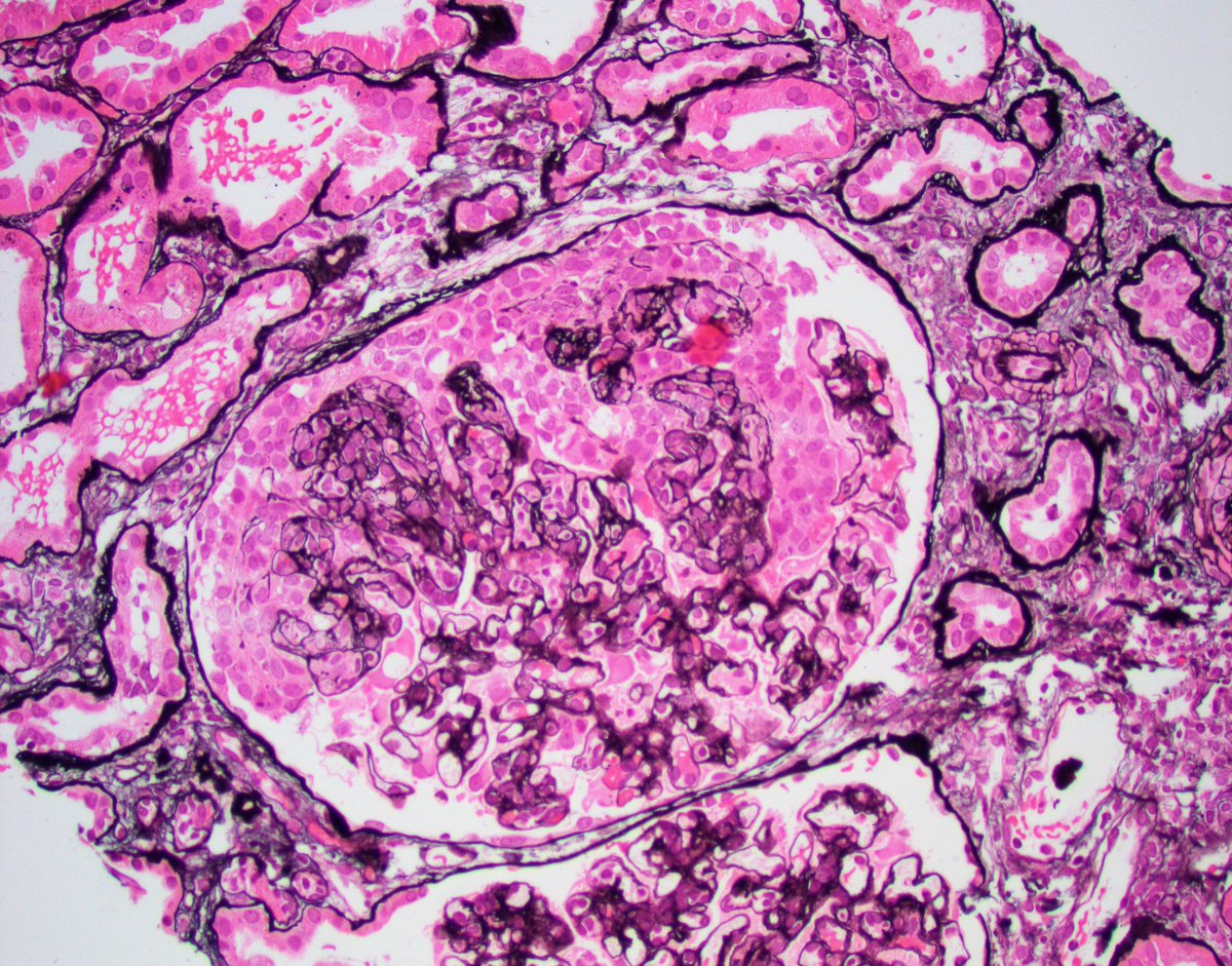
A patient presented to the emergency room with nausea, vomiting, abdominal pain, decreased urinary output, and rhabdomyolysis. History of heavy drinking and cocaine abuse. Below is his renal Bx Shreeram Akilesh 🐙 Shahad N.SH. Kelly Smith Charles Alpers UW Nephrology. DDx?

A patient presented to the emergency room with nausea, vomiting, abdominal pain, decreased urinary output, and rhabdomyolysis. History of heavy drinking and cocaine abuse. Below is his renal Bx <a href="/podocytes/">Shreeram Akilesh 🐙</a> <a href="/koony84/">Shahad N.SH.</a> <a href="/kelsmith_path/">Kelly Smith</a> <a href="/AlpersCharles/">Charles Alpers</a> <a href="/UWNephrology/">UW Nephrology</a>. DDx?
Jonathan Zuckerman MD PhD (@jzrenalpath) 's Twitter Profile Photo

Florid infection related GN. Middle age IV drug user with AKI, hematuria, and heavy proteinuria. Bx with diffuse exudative GN, focal crescents, and many hump like deposits on LM, IF (C3 is picture), and EM. #renalpath #nephropath

Florid infection related GN. Middle age IV drug user with AKI, hematuria, and heavy proteinuria. Bx with diffuse exudative GN, focal crescents, and many hump like deposits on LM, IF (C3 is picture), and EM. #renalpath #nephropath
Shreeram Akilesh 🐙 (@podocytes) 's Twitter Profile Photo

#850challenge #SockItToKidneyDisease update. 230k down, 620K to go. Nice to get a sub 2:09/500m split for today's 10K. Pity I don't have as nice views as Susan Quaggin 😉

#850challenge #SockItToKidneyDisease update. 230k down, 620K to go. Nice to get a sub 2:09/500m split for today's 10K. Pity I don't have as nice views as <a href="/SusanQuaggin/">Susan Quaggin</a> 😉
Jonathan Zuckerman MD PhD (@jzrenalpath) 's Twitter Profile Photo

#askrenalpath Case of class IV lupus. IgA staining is dead negative throughout entire core (gloms and casts) (both frozen and parrafin IF). Rest of tissue stains like lupus. could this be a manifestation of systemic IgA deficiency? #renalpath #nephropath

Astrid Weins (@astridweins) 's Twitter Profile Photo

While our paper is undergoing formal peer review, we decided to pre-publish a version of our manuscript on Medrxiv! Thanks to all our collaborators for their amazing work on this study! On to a new paradigm for MCD and FSGS! #bwhpath #bwhkidney medrxiv.org/content/10.110…

Anne Mills (@annemillsmd) 's Twitter Profile Photo

Another nice case from my resident unknown treasure boxes... gingival lesion in a newborn. You don’t really need IHC to make this IPR dx, but if you did what might you order?

Another nice case from my resident unknown treasure boxes... gingival lesion in a newborn.  You don’t really need IHC to make this IPR dx, but if you did what might you order?
Jean Hou, MD (@jeanhoumd) 's Twitter Profile Photo

Diabetic Drama: 26 yo M with no PMH a/w 2 weeks severe nausea, vomiting, dehydration. Glucose was 1200!! (new onset DM/DKA?) and potassium 1.5. Anuric renal failure requiring HD. Bx shows ATN and rhabdomyolysis! No significant diabetic changes. Is this rhabdo 2/2 DKA? COVID neg.

Diabetic Drama: 26 yo M with no PMH a/w 2 weeks severe nausea, vomiting, dehydration. Glucose was 1200!! (new onset DM/DKA?) and potassium 1.5. Anuric renal failure requiring HD. Bx shows ATN and rhabdomyolysis! No significant diabetic changes.  Is this rhabdo 2/2 DKA? COVID neg.
Lynn D. Cornell, M.D. (@ldcornell) 's Twitter Profile Photo

Cureus | Kidney Recovery From Acute Kidney Injury After Hematopoietic Stem Cell Transplant: A Systematic Review and Meta-Analysis cureus.com/articles/47366… Kianoush Kashani Mayo Clinic Nephrology

Olaleke Folaranmi (@drgeeone) 's Twitter Profile Photo

Prostatectomy in a patient managed for BPH... Surprise!!!😲🤩 I saw the calcified Schisto eggs only around seminal vesicles/ejaculatory ducts, wondering why🤔 #Gupath #TropicalPathology Nigar Anjuman Khurram Anju Pandey Lorand Kis A. Polónia Dr. Luca Priya Rao, MD Ebru LinkeMD

Prostatectomy in a patient managed for BPH... Surprise!!!😲🤩
I saw the calcified Schisto eggs only around seminal vesicles/ejaculatory ducts, wondering why🤔
#Gupath #TropicalPathology 
<a href="/NigarAKhurram/">Nigar Anjuman Khurram</a> <a href="/anjuthevirgo/">Anju Pandey</a> <a href="/kis_lorand/">Lorand Kis</a> <a href="/PoloniaAntonio/">A. Polónia</a> <a href="/atman_ci/">Dr. Luca</a> <a href="/priyaraomd/">Priya Rao, MD</a> <a href="/ebruserinsoz/">Ebru LinkeMD</a>
UWRenalPath (@uwrenalpath) 's Twitter Profile Photo

Reminder: UW Medicine UW Dept. of Laboratory Medicine and Pathology 🔬 switching its entire EHR and LIS to Epic starting tonight! To our referring providers -please do not hesitate to contact us directly if you do not receive your report. We appreciate your patience while we negotiate this transition!

Jonathan Zuckerman MD PhD (@jzrenalpath) 's Twitter Profile Photo

BK nephropathy blasts this unfortunate transplanted kidney. So many viral inclusions. Not hard to find viral particles by EM either. #renalpath #nephropath Jean Hou, MD

BK nephropathy blasts this unfortunate transplanted kidney. So many viral inclusions. Not hard to find viral particles by EM either. #renalpath #nephropath <a href="/JeanHouMD/">Jean Hou, MD</a>
UWRenalPath (@uwrenalpath) 's Twitter Profile Photo

For your viewing pleasure: two excellent presentations at UW Nephrology #renalpath Biopsy Grand Rounds by Dr. Behzad Najafian (anti-brush border disease, case 1) and Shreeram Akilesh 🐙 (CLL and PGNMID, case 2 at 30:27 minute mark). nephrology.uw.edu/education/kidn…

UWRenalPath (@uwrenalpath) 's Twitter Profile Photo

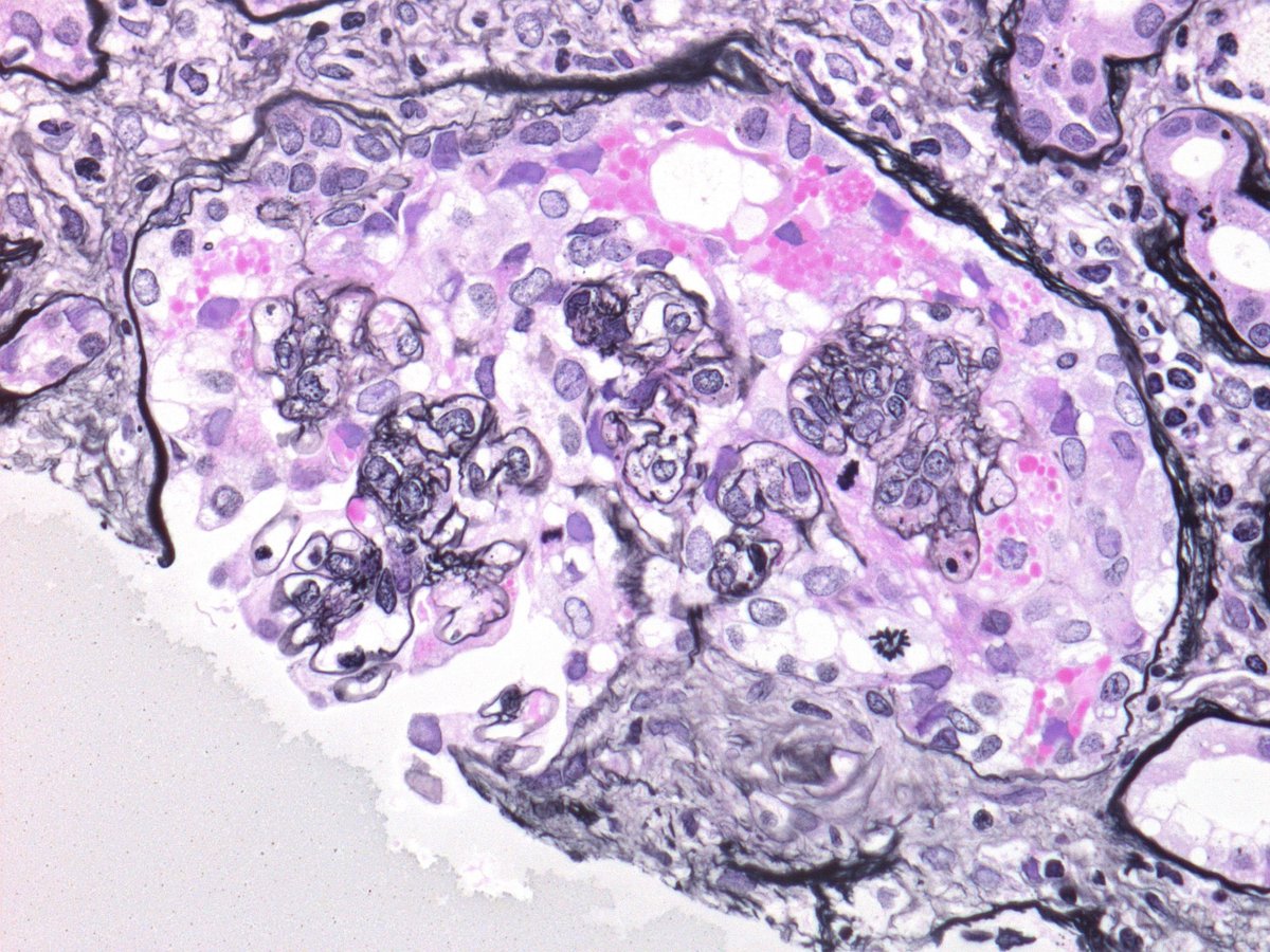
Seen in a case of IgAN. Do you think this represents collapsing glomerulopathy or a cellular crescent? How many mitotic figures do you see?

Seen in a case of IgAN. Do you think this represents collapsing glomerulopathy or a cellular crescent? How many mitotic figures do you see?