Zach Yetmar (@zyetmar) 's Twitter Profile
Zach Yetmar

@zyetmar

Transplant ID @ClevelandClinic I Former @MayoClinicINFD & @MayoMN_IMRES | @NEOMEDedu '17 | #1 fan of @PaigeMartyMD

ID: 857401468273512448

calendar_today27-04-2017 01:10:14

137 Tweet

411 Followers

393 Following

transplantid.net (@transplantidnet) 's Twitter Profile Photo

🚨NEWS FLASH!🚨 Due to popular demand, transplantid.net now has a new JOURNAL CLUB section This month Nicolas Barros & Pascalis Vergidis MD, MSc discuss 200-day letermovir prophylaxis in HSCT! The Lancet Haematology ASTCT The EBMT Their excellent discussion at transplantid.net/MY26WACL

🚨NEWS FLASH!🚨
Due to popular demand, transplantid.net now has a new JOURNAL CLUB section

This month <a href="/NicoBarrosID/">Nicolas Barros</a> &amp; <a href="/pascalisID/">Pascalis Vergidis MD, MSc</a> discuss 200-day letermovir prophylaxis in HSCT! <a href="/TheLancetHaem/">The Lancet Haematology</a> <a href="/ASTCT/">ASTCT</a> <a href="/TheEBMT/">The EBMT</a> 

Their excellent discussion at transplantid.net/MY26WACL
Mayo Clinic Infectious Diseases (@mayoclinicinfd) 's Twitter Profile Photo

Publication Alert Patients with localized nocardiosis of MSK structures have good outcomes, as opposed disseminated infection in immunocompromised hosts. Congratulations Drs. Ryan Khodadadi, M.D. Jack McHugh @s_chesdachai @elenabeamMD Zach Yetmar and colleagues! jbji.copernicus.org/articles/9/207…

CCF ID Fellows (@ccf_idfellows) 's Twitter Profile Photo

Excited for the official CCF Infectious Diseases Fellowship account ! Follow us for updates on ID education, research, and insights from our fellows. #InfectiousDiseases #MedicalEducation #IDFellows

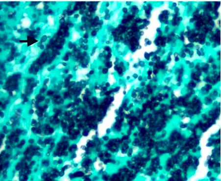
CCF ID Fellows (@ccf_idfellows) 's Twitter Profile Photo

🦠 #FungusFriday: An immunocompromised patient presents with cough and shortness of breath, developed acute hypoxic respiratory failure. Endobronchial biopsy shows the following. Can you name the fungus? 🤔 #IDFellows #InfectiousDiseases #MedEd

🦠 #FungusFriday: 
An immunocompromised patient presents with cough and shortness of breath, developed acute hypoxic respiratory failure. Endobronchial biopsy shows the following. 
Can you name the fungus? 🤔 #IDFellows #InfectiousDiseases #MedEd
transplantid.net (@transplantidnet) 's Twitter Profile Photo

We want your opinions on transplantid.net—whether you've heard of it or not‼️ Plus, share your go-to resources for #TxID education. 🙏Pls take our quick anonymous survey (<10 min)🙏 Approved by Infectious Diseases Community of Practice - AST & Albert Einstein College of Medicine - Official IRB. Survey link: forms.gle/Lob4vpbgAJXA14…

Mayo Clinic Infectious Diseases (@mayoclinicinfd) 's Twitter Profile Photo

Publication Alert Comparative Effectiveness of Outpatient COVID‐19 Therapies in Solid Organ Transplant Recipients Zach Yetmar Raymund Razonable onlinelibrary.wiley.com/doi/10.1111/ti…

transplantid.net (@transplantidnet) 's Twitter Profile Photo

New 🔥 Infectious Disease Clinics review on #Mucormycosis Jennifer Cuellar Rodríguez ✍️Rhino-orbito-cerebral and pulm most common ✍️Molecular tools emerging for diagnosis ✍️Surgery often needed ✍️New agents in pipeline: encoch ampho + fosmanogepix Added by Sara Belga, MD MPH to Mucor 📁 transplantid.net/JWK7SFXW

New 🔥 <a href="/IDClinics/">Infectious Disease Clinics</a> review on #Mucormycosis <a href="/JennCuellarR/">Jennifer Cuellar Rodríguez</a>
✍️Rhino-orbito-cerebral and pulm most common
✍️Molecular tools emerging for diagnosis
✍️Surgery often needed
✍️New agents in pipeline: encoch ampho + fosmanogepix

Added by <a href="/belga_sara/">Sara Belga, MD MPH</a> to Mucor 📁

transplantid.net/JWK7SFXW
transplantid.net (@transplantidnet) 's Twitter Profile Photo

Maribavir v. GCV - Resistance! Subanalysis of pivotal maribavir trial Journal of Infectious Diseases Resistance: 💊More common w/ maribavir (10% v 2.5%) 💊Associated with VL ≥9100 IU/mL and refractory inf In R/R CMV w/ high VL, do you start with maribavir? Now in CMV 📁 transplantid.net/L7ERB7ET

Maribavir v. GCV - Resistance!

Subanalysis of pivotal maribavir trial <a href="/JIDJournal/">Journal of Infectious Diseases</a>
Resistance:
💊More common w/ maribavir (10% v 2.5%)
💊Associated with VL ≥9100 IU/mL and refractory inf

In R/R CMV w/ high VL, do you start with maribavir?

Now in CMV 📁

transplantid.net/L7ERB7ET
transplantid.net (@transplantidnet) 's Twitter Profile Photo

🆕 Review of MCS infections Infectious Disease Clinics Emily Eichenberger Stephanie Pouch ❤️‍🔥 PET-CT helpful ❤️‍🔥 BSI ≥72h, MDROs, Candida can indicate device-specific inf ❤️‍🔥 Complicated inf may need suppression Must-read for those new to LVADs! Added to LVAD 📁 by Sara Belga, MD MPH transplantid.net/8XYSHTVG

🆕 Review of MCS infections <a href="/IDClinics/">Infectious Disease Clinics</a> <a href="/emilymeich/">Emily Eichenberger</a> <a href="/StephaniePouch/">Stephanie Pouch</a>
❤️‍🔥 PET-CT helpful
❤️‍🔥 BSI ≥72h, MDROs, Candida can indicate device-specific inf
❤️‍🔥 Complicated inf may need suppression

Must-read for those new to LVADs!

Added to LVAD 📁 by <a href="/belga_sara/">Sara Belga, MD MPH</a> 

transplantid.net/8XYSHTVG
transplantid.net (@transplantidnet) 's Twitter Profile Photo

Optimal vaccination is challenging - especially in ICH pts! New NEJM Tori Hall study assessing flu vax in heme pts: two-dose adjuvanted v standard 💉 Similar seroconversion 💉 Better response in MM, though similar between arms Find it in vax 📁! transplantid.net/55L3SZ5T

Optimal vaccination is challenging - especially in ICH pts!

New <a href="/NEJM/">NEJM</a> <a href="/victoriahall26/">Tori Hall</a> study assessing flu vax in heme pts: two-dose adjuvanted v standard
💉 Similar seroconversion
💉 Better response in MM, though similar between arms

Find it in vax 📁!

transplantid.net/55L3SZ5T
Mayo Clinic Infectious Diseases (@mayoclinicinfd) 's Twitter Profile Photo

Publication Alert As we enter spring and warmer season, this is a reminder that tick-borne infections will soon be upon us. Here is new data on human anaplasmosis: trends over a decade @atiplis omar abu saleh @S_chesdachai Zach Yetmar doi.org/10.1093/cid/ci…

Mayo Clinic Infectious Diseases (@mayoclinicinfd) 's Twitter Profile Photo

Publication Alert State-of-the-Art Review: Modern Approach to Nocardiosis—Diagnosis, Management, and Uncertainties | Clinical Infectious Diseases ⁦Zach Yetmar⁩ ⁦Elena Beam⁩ academic.oup.com/cid/article/80…

transplantid.net (@transplantidnet) 's Twitter Profile Photo

Do you use transplantid.net for #TxID? Do you have ideas about improving it? Do you prefer other resources? PubMed, texts, Google Scholar? Tell us! ⌛ Anonymous survey <10 min⌛ Approved by Infectious Diseases Community of Practice - AST & Albert Einstein College of Medicine - Official IRB. forms.gle/q3Dfvksj4QPdAD…

Mayyadah Alabdely/ مياده العبدلي (@mayyadah_ha) 's Twitter Profile Photo

I’m happy to share that our paper “Surgical Site Infection After Intestine Transplantation: Risk Factors & Outcomes” is now published Grateful to everyone who contributed to this project and especially to Dr.Yetmar for his invaluable mentorship onlinelibrary.wiley.com/doi/10.1111/ti… Zach Yetmar

transplantid.net (@transplantidnet) 's Twitter Profile Photo

Happy 4️⃣ 🗓️ of July! Happy Independence Day, USA!🗽 Observe by expressing you opinion! In this case, a follow-up survey on the transplant 🆔 library transplantid.net? 💯 % anonymous 🕑 <10 minutes! Approved Infectious Diseases Community of Practice - AST and Albert Einstein College of Medicine - Official IRB forms.gle/u9wQfjCbMASVL1…