Andrea Becerril (@abega95) 's Twitter Profile
Andrea Becerril

@abega95

MD @TecdeMonterrey 🇲🇽 | #Neurosurgery Research Fellow @UTHealthHouston | Aspiring Neurosurgeon | Runner | F1 enthusiast 🏎

ID: 225550179

calendar_today11-12-2010 21:25:18

3,3K Tweet

506 Followers

193 Following

Stroke AHA/ASA (@strokeaha_asa) 's Twitter Profile Photo

Outcome After Aneurysmal Subarachnoid Hemorrhage: A Matter of Descent? In this #BloggingStroke post, Christian Boehme discusses #Stroke article by Andrea Becerril et al. #AHAJournals H Alex Choi @Faris_Shaker C. J. Jared Chen, MD, FAANS ahajournals.org/do/10.1161/blo…

Outcome After Aneurysmal Subarachnoid Hemorrhage: A Matter of Descent?

In this #BloggingStroke post, <a href="/chris7ianb/">Christian Boehme</a> discusses #Stroke article by <a href="/abega95/">Andrea Becerril</a> et al. #AHAJournals <a href="/HuimahnChoi/">H Alex Choi</a> @Faris_Shaker <a href="/chenjared/">C. J. Jared Chen, MD, FAANS</a>

ahajournals.org/do/10.1161/blo…
Jacques Morcos MD FRCS FAANS (@jacquesmorcosmd) 's Twitter Profile Photo

8th MASSIN (Madjid Samii) Congress starts today!! Amazing Program, 130+speakers,Oct 2-5. If you are not registered to attend in person, you can join FREE, without any registration fees/forms through this link, everyday: med.uth.edu/neurosurgery/m… UTHealthNeurosciences WFNS Young Neurosurgeons Forum Neurosurgery

8th MASSIN (Madjid Samii) Congress starts today!! Amazing Program, 130+speakers,Oct 2-5. If you are not registered to attend in person, you can join FREE, without any registration fees/forms through this link, everyday: med.uth.edu/neurosurgery/m… <a href="/UTHNeuro/">UTHealthNeurosciences</a> <a href="/WFNS_YNF/">WFNS Young Neurosurgeons Forum</a> <a href="/neurosurgery/">Neurosurgery</a>
Collins Mokua 🇰🇪 (@collinsmok) 's Twitter Profile Photo

Grateful to my mentors (C. J. Jared Chen, MD, FAANS & Andrea Becerril) at UT Houston Neurosurgery and CNS for the opportunity to present our work demonstrating the role of patient characteristics, AVM features, and treatment parameters on RIC in patients treated with SRS. Looking forward to next time!!

Grateful to my mentors (<a href="/chenjared/">C. J. Jared Chen, MD, FAANS</a> &amp;  <a href="/abega95/">Andrea Becerril</a>) at <a href="/NeurosurgUTH/">UT Houston Neurosurgery</a> and <a href="/CNS_Update/">CNS</a> for the opportunity to present our work demonstrating the role of patient characteristics, AVM features, and treatment parameters on RIC in patients treated with SRS. Looking forward to next time!!
Francis Deng, MD (@francisdeng) 's Twitter Profile Photo

A dramatic complication of invasive imaging: aneurysm re-rupture. Some angiographers wouldn't even save these images, much less blast them on the pages of NEJM. doi.org/10.1056/NEJMic…

AHA Science (@ahascience) 's Twitter Profile Photo

This updated guideline is intended to be a resource for clinicians to use to guide various prevention strategies for individuals with no history of stroke, and replaces the 2014 Guidelines for the Primary Prevention of Stroke.

This updated guideline is intended to be a resource for clinicians to use to guide various prevention strategies for individuals with no history of stroke, and replaces the 2014 Guidelines for the Primary Prevention of Stroke.
Neurology Journal (@greenjournal) 's Twitter Profile Photo

This study suggests that adjuvant intravenous tirofiban before stenting could lower the risk of acute stent thrombosis during stent angioplasty in patients with symptomatic high-grade intracranial atherosclerotic stenosis: bit.ly/4fmYh2j #NeuroX

This study suggests that adjuvant intravenous tirofiban before stenting could lower the risk of acute stent thrombosis during stent angioplasty in patients with symptomatic high-grade intracranial atherosclerotic stenosis: bit.ly/4fmYh2j

#NeuroX
Women In Neurosurgery (WINS) (@womeninnsgy) 's Twitter Profile Photo

✍️ Wondering how to craft effective post-interview letters or rank programs confidently? Join Post-Interview Actions: Communications, Letters, and Rank Lists 🗓️ #2025MATCH #neurosurgery

✍️ Wondering how to craft effective post-interview letters or rank programs confidently? Join Post-Interview Actions: Communications, Letters, and Rank Lists 🗓️  #2025MATCH #neurosurgery
Adnan H. Siddiqui, MD (@_adnansiddiqui) 's Twitter Profile Photo

NEW CASE ➡️ Ideal time to treat patient with residual #aneurysm post SAH is after vasospasm window is passed and prior to discharge. Thoughts? #neurosurgery #neurosurgeon #cerebrovascular Collin Liu, MD, MS

CNS (@cns_update) 's Twitter Profile Photo

The call for abstracts is officially open for the NS Tumor Section 2025 Joint Tumor Section Symposium! Submit your original science by May 15, 2025, to be part of this premier scientific meeting focused on the study and treatment of brain tumors: bit.ly/4hToGFZ

The call for abstracts is officially open for the <a href="/NSTumorSection/">NS Tumor Section</a> 2025 Joint Tumor Section Symposium! Submit your original science by May 15, 2025, to be part of this premier scientific meeting focused on the study and treatment of brain tumors: bit.ly/4hToGFZ
Johanna Seiden, MD MPH (@johannaseidenmd) 's Twitter Profile Photo

PEARL trial Raul G Nogueira, MD, FAHA, FSVIN at #ISC25 IA alteplase after successful mechanical thrombectomy resulted in high probability of excellent outcome (mRS 0-1 )at 90 days vs standard medical treatment after MT without inc risk of ICH or all-cause deaths #ISC25 #aha Stroke AHA/ASA

PEARL trial <a href="/RaulNogueiraMD/">Raul G Nogueira, MD, FAHA, FSVIN</a> at #ISC25 
IA alteplase after successful mechanical thrombectomy resulted in high probability of excellent outcome (mRS 0-1 )at 90 days vs standard medical treatment after MT without inc risk of ICH or all-cause deaths 
#ISC25 #aha <a href="/StrokeAHA_ASA/">Stroke AHA/ASA</a>
Jason Sheehan (@jasonpsheehan) 's Twitter Profile Photo

A multicenter study from the MISTA group on intracranial AVM's. My team at UVA was delighted to be a part of this study in JNIS.

A  multicenter study from the MISTA group on intracranial AVM's.  My team  at UVA was delighted to be a part of this study in JNIS.
UTHealthNeurosciences (@uthneuro) 's Twitter Profile Photo

A huge congratulations to our very own resident Pedram Peesh, MD, PhD, MBA, for being first author on a research paper about how gut bacteria can impact inflammation after stroke in Nature Communications! med.uth.edu/blog/2025/04/0… nature.com/articles/s4146…

A huge congratulations to our very own resident Pedram Peesh, MD, PhD, MBA, for being first author on a research paper about how gut bacteria can impact inflammation after stroke in <a href="/NatureComms/">Nature Communications</a>! 

med.uth.edu/blog/2025/04/0…

nature.com/articles/s4146…
Stroke AHA/ASA (@strokeaha_asa) 's Twitter Profile Photo

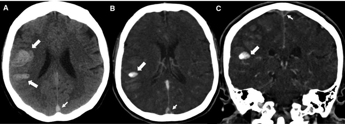
#Stroke Image showcases the "spot sign" in a case of intracerebral hemorrhage associated with cerebral venous sinus thrombosis. #AHAJournals ahajrnls.org/3ZiHLdF

#Stroke Image showcases the "spot sign" in a case of intracerebral hemorrhage associated with cerebral venous sinus thrombosis. #AHAJournals ahajrnls.org/3ZiHLdF
C. J. Jared Chen, MD, FAANS (@chenjared) 's Twitter Profile Photo

SRS as potential first-line intervention for symptomatic low-grade dAVFs? 👉 Check out the collaborative effort by CONDOR and Intl Radiosurgery Research Foundation - bit.ly/4ksqgQt. Excellent work by my fellow Andrea Becerril before she joins UofL Neurosurgery for her residency!

SRS as potential first-line intervention for symptomatic low-grade dAVFs? 👉 Check out the collaborative effort by CONDOR and <a href="/IntRRF/">Intl Radiosurgery Research Foundation</a> - bit.ly/4ksqgQt. Excellent work by my fellow <a href="/abega95/">Andrea Becerril</a> before she joins <a href="/UofLNeurosurg/">UofL Neurosurgery</a> for her residency!