Adrian Petzl (@adrian_petzl) 's Twitter Profile
Adrian Petzl

@adrian_petzl

ID: 1512502253223124993

calendar_today08-04-2022 18:47:37

11 Tweet

36 Followers

54 Following

Timothy Markman (@dr_markman) 's Twitter Profile Photo

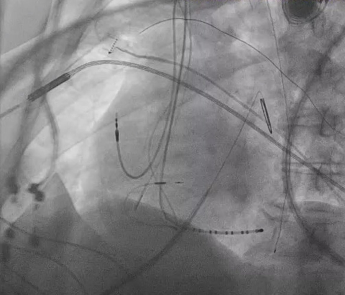
Michael Gurin Heart Rhythm Society Very excited to share the work presented by Adrian Petzl, simultaneously published in @JACCjournals. He describes a PAC ablation limited by infrequent intraprocedural PACs. With direct, intravascular electrical sympathetic stimulation, PACs were induced and ablation facilitated.

<a href="/MichaelGurinMD/">Michael Gurin</a> <a href="/HRSonline/">Heart Rhythm Society</a> Very excited to share the work presented by <a href="/adrian_petzl/">Adrian Petzl</a>, simultaneously published in @JACCjournals. He describes a PAC ablation limited by infrequent intraprocedural PACs. With direct, intravascular electrical sympathetic stimulation, PACs were induced and ablation facilitated.
Timothy Markman (@dr_markman) 's Twitter Profile Photo

#EPeeps Brugada syndrome remains poorly understood. In JACC Journals, Nagase et al provide novel insights by looking at epicardial signals -> repolarization as a major mechanistic culprit. Excellent work by Adrian Petzl Penn Electrophysiology Fellowship on this editorial. authors.elsevier.com/a/1jVzU,siTgkq…

Matthew Hyman (@drmatthewhyman) 's Twitter Profile Photo

#EPeeps Have you ever worried about long-term RCA damage following cavotricuspid isthmus radiofrequency ablation? Check out our recent study in HeartRhythm kwnsfk27.r.eu-west-1.awstrack.me/L0/https:%2F%2…

#EPeeps Have you ever worried about long-term RCA damage following cavotricuspid isthmus radiofrequency ablation? Check out our recent study in <a href="/hrs_journal/">HeartRhythm</a> 

kwnsfk27.r.eu-west-1.awstrack.me/L0/https:%2F%2…
Heart Rhythm Case Reports (@hrs_casereports) 's Twitter Profile Photo

Case report: Electrical Instability and Sudden Loss of Pacemaker Capture – A Tale of Flecainide Toxicity Adrian Petzl heartrhythmcasereports.com/article/S2214-…

Case report: Electrical Instability and Sudden Loss of Pacemaker Capture – A Tale of Flecainide Toxicity
<a href="/adrian_petzl/">Adrian Petzl</a> 
heartrhythmcasereports.com/article/S2214-…
Penn Cardiology (@penncardiology) 's Twitter Profile Photo

A new report details the case of a patient with an in-hospital bradycardic arrest despite a permanent pacemaker, discovered to be due to severe flecainide toxicity. Read it here ➡️ spr.ly/6014qlVaY ✏️ Adrian Petzl Carli J. Peters, MD Frank Silvestry MD Poojita Shivamurthy

JICE (@jice_ep) 's Twitter Profile Photo

🚨Images in EP #FreeRead in JICE RBBB Pattern with RV Pacing in Arrhythmogenic Right Ventricular Cardiomyopathy 🧐📖rdcu.be/embdg by Adrian Petzl, Michael Gurin & Francis E. Marchlinski #EPeeps

🚨Images in EP  #FreeRead in <a href="/JICE_EP/">JICE</a> 

RBBB Pattern with RV Pacing in Arrhythmogenic Right Ventricular Cardiomyopathy

🧐📖rdcu.be/embdg

by <a href="/adrian_petzl/">Adrian Petzl</a>, <a href="/MichaelGurinMD/">Michael Gurin</a> &amp; Francis E. Marchlinski

#EPeeps
Adrian Petzl (@adrian_petzl) 's Twitter Profile Photo

Outcomes in Patients with Cardiac Amyloidosis Undergoing Catheter Ablation for Atrial Arrhythmias. heartrhythmopen.com/article/S2666-…

HeartRhythm (@hrs_journal) 's Twitter Profile Photo

Intracardiac echocardiography inside left atrium detects wall-adherent thrombus before ablation and prevents potential major thromboembolic complication Adrian Petzl Fermin Carlos Garcia heartrhythmjournal.com/article/S1547-…

Intracardiac echocardiography inside left atrium detects wall-adherent thrombus before ablation and prevents potential major thromboembolic complication

<a href="/adrian_petzl/">Adrian Petzl</a> <a href="/DrFerminGarcia/">Fermin Carlos Garcia</a> 

heartrhythmjournal.com/article/S1547-…