Behtash (@behtashg) 's Twitter Profile
Behtash

@behtashg

Assistant professor @nu_pathology. Genitourinary and Molecular #Pathology.
@MSKpathology, @MDAndersonNews & @CWRU alumni. Photographer and painter.
T/RT my own

ID: 79017385

linkhttp://www.behtashg.com calendar_today01-10-2009 22:09:44

443 Tweet

532 Followers

490 Following

Gladell Paner, MD (@gladellpaner) 's Twitter Profile Photo

This #renal cell carcinoma shows biphasic pattern and … PRCC:TFE3 fusion on RNA-seq 😳 Biphasic pattern is more associated with TFEB-rearranged RCC. This TFE3 RCC also has other patterns. #GUPath ROHIT MEHRA

This #renal cell carcinoma shows biphasic pattern and … PRCC:TFE3 fusion on RNA-seq 😳 

Biphasic pattern is more associated with TFEB-rearranged RCC. 

This TFE3 RCC also has other patterns. #GUPath <a href="/drmehrarohit/">ROHIT MEHRA</a>
International Society of Urological Pathology (@intsocuropath) 's Twitter Profile Photo

🚨 ISUP Presents..... 🔬 Dr. Bonnie Choy on "Utilizing Cytology-Histology Correlation in the Evaluation of Urinary Tract Tumors" Bonnie Choy, MD Northwestern Pathology 📅 30 July 2024 at 12pm EST via Zoom Register here: us06web.zoom.us/webinar/regist…

🚨 ISUP Presents.....

🔬 Dr. Bonnie Choy on "Utilizing Cytology-Histology Correlation in the Evaluation of Urinary Tract Tumors"
<a href="/bonnie_choy/">Bonnie Choy, MD</a> <a href="/NU_Pathology/">Northwestern Pathology</a> 

📅 30 July 2024 at 12pm EST via Zoom

Register here: us06web.zoom.us/webinar/regist…
Scott Kilpatrick, MD (@scottbikeethan) 's Twitter Profile Photo

As many of you now may be aware, Dr. Chris Fletcher recently passed away. His contributions to the field of ST pathology (and my career) are immeasurable. Interestingly, once I decided in 1993 to develop expertise in #BSTpath, my question was where (or with whom) would I train?

As many of you now may be aware, Dr. Chris Fletcher recently passed away. His contributions to the field of ST pathology (and my career) are immeasurable. Interestingly, once I decided in 1993 to develop expertise in #BSTpath, my question was where (or with whom) would I train?
Behtash (@behtashg) 's Twitter Profile Photo

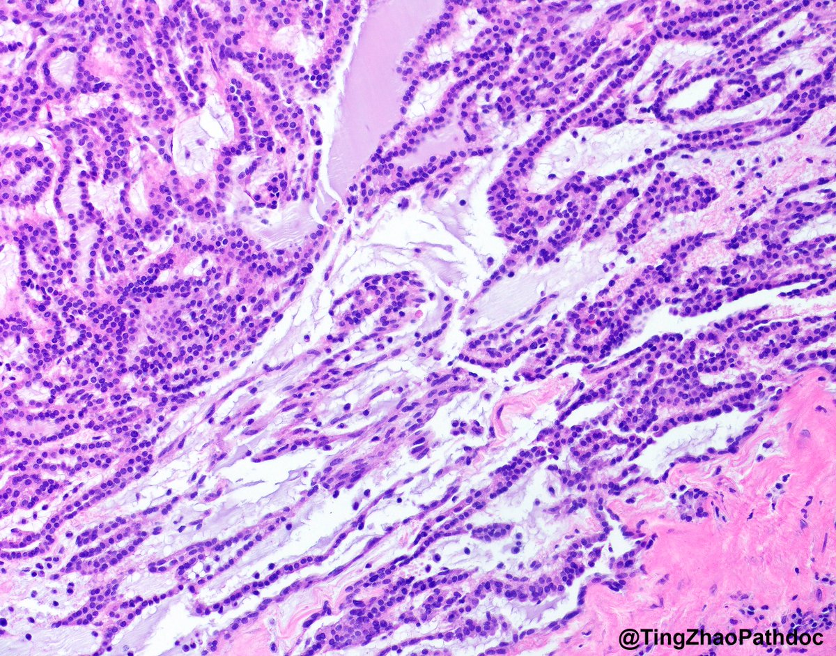
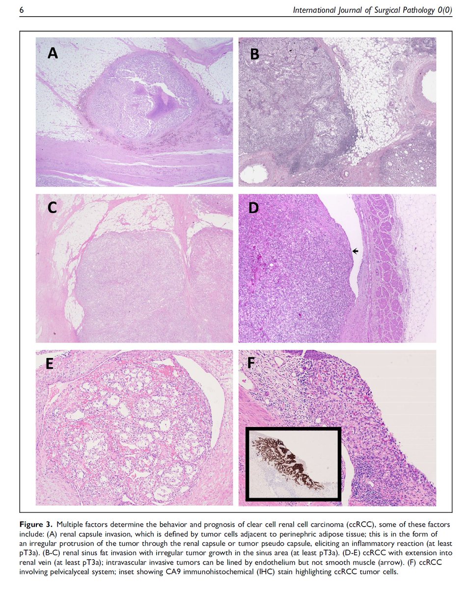
A Comprehensive Review of the Histopathology, Genetics, and Differential Diagnosis of Clear Cell Renal Cell Carcinoma pubmed.ncbi.nlm.nih.gov/39051572/

A Comprehensive Review of the Histopathology, Genetics, and Differential Diagnosis of Clear Cell Renal Cell Carcinoma
pubmed.ncbi.nlm.nih.gov/39051572/
Luis Z. Blanco Jr., MD (he/him) 🔬 (@luisblancojrmd) 's Twitter Profile Photo

1/3 #PathMatch25 why choose Northwestern Pathology in #Chicago? I played #tourist in my own city this past week. Check below for some of my faves, including the #BestSkyline, that living here offers (most just a short walk from Northwestern Medicine hospital):

Northwestern Pathology (@nu_pathology) 's Twitter Profile Photo

Interested in a residency at Northwestern Pathology? Join Chairman Daniel Brat, MD, PhD and Residency Program Leadership for a Q&A on August 29, 2024 from 2-3pm CST. Register here: forms.gle/6Pq8VgayohtZXX… #PurplePath #PathMatch25 #PathTwitter

Interested in a residency at Northwestern Pathology? Join Chairman <a href="/DanielJBrat/">Daniel Brat, MD, PhD</a> and Residency Program Leadership for a Q&amp;A on August 29, 2024 from 2-3pm CST. Register here: forms.gle/6Pq8VgayohtZXX…
#PurplePath #PathMatch25 #PathTwitter
Luis Z. Blanco Jr., MD (he/him) 🔬 (@luisblancojrmd) 's Twitter Profile Photo

You heard from the Northwestern Pathology leadership - now ask our #Pathology residents your burning questions about #PurplePath! Join our chiefs Margarita Loxas, MD & @krupam_md with our other amazing trainees by registering here: docs.google.com/forms/d/e/1FAI… #PathMatch25 💜

You heard from the <a href="/NU_Pathology/">Northwestern Pathology</a> leadership - now ask our #Pathology residents your burning questions about #PurplePath! Join our chiefs <a href="/margaritaloxas/">Margarita Loxas, MD</a> &amp; @krupam_md with our other amazing trainees by registering here: docs.google.com/forms/d/e/1FAI… #PathMatch25 💜
Jared T. Ahrendsen MD, PhD (AP/NP/FP) (@jaredahrendsen) 's Twitter Profile Photo

Congratulations to Daniel Brat, MD, PhD, named “Luminary in Neuropathology” at #USCAP2025. This recognition is well deserved. It’s an honor to work for such an accomplished physician-scientist and leader! #neuropath #pathology Northwestern Pathology

Congratulations to <a href="/DanielJBrat/">Daniel Brat, MD, PhD</a>, named “Luminary in Neuropathology” at #USCAP2025. This recognition is well deserved. It’s an honor to work for such an accomplished physician-scientist and leader! #neuropath #pathology <a href="/NU_Pathology/">Northwestern Pathology</a>
Northwestern Pathology (@nu_pathology) 's Twitter Profile Photo

Great to reconnect with everyone at our Annual USCAP Alumni Reception in Boston this past Monday. Thanks to all who joined! 🥂💜#PurplePath

Great to reconnect with everyone at our Annual USCAP Alumni Reception in Boston this past Monday. Thanks to all who joined! 🥂💜#PurplePath
Northwestern Pathology (@nu_pathology) 's Twitter Profile Photo

Proud to announce Drs. Mark Montgomery and Gokce Deniz Ardor as this year’s incoming Chief Residents! We are in good hands! Congratulations!🎉 #PurplePath

Proud to announce Drs. Mark Montgomery and Gokce Deniz Ardor as this year’s incoming Chief Residents! We are in good hands! Congratulations!🎉 #PurplePath
Scott Kilpatrick, MD (@scottbikeethan) 's Twitter Profile Photo

If you missed our tribute to Dr. Fletcher International Soc of Bone & Soft Tissue Pathology Companion Meeting USCAP, here is a link courtesy of Ethan Kaminsky Productions, youtube.com/watch?v=3qNd7O…. Huge thanks to Jason L. Hornick, M.D., Ph.D., Alessandra Nascimento, and Dr. Vickie Jo, for contributing their time, thoughts, and pictures!

Liang Cheng, MD (@liangchengmd) 's Twitter Profile Photo

Happy Friday!  I am pleased to share a new review article written by rising GU pathology star Dr. Khaleel Al-Obaidy, Khaleel Al-Obaidy, MD, FCAP, FASCP just published in Urologic Oncology Urologic Oncology Mark Ball, MD, FACS Summary:  RNA sequencing is a powerful tool for uncovering molecular alterations in

Happy Friday!  I am pleased to share a new review article written by rising GU pathology star Dr. Khaleel Al-Obaidy, <a href="/KhaleelAlObaidy/">Khaleel Al-Obaidy, MD, FCAP, FASCP</a> just published in Urologic Oncology <a href="/UrolOncol/">Urologic Oncology</a> <a href="/markballmd/">Mark Ball, MD, FACS</a>

Summary: 
RNA sequencing is a powerful tool for uncovering molecular alterations in
GU Pathology Society (GUPS) (@gu_path_society) 's Twitter Profile Photo

*** GUPS Virtual Education Series – June 2025 Event*** When: June 6, 2025 12:00 PM Eastern Time (US and Canada) Topic: Management of metastatic ‘clear cell’ versus ‘non-clear cell’ renal cell carcinoma Registration now open: us02web.zoom.us/webinar/regist…

*** GUPS Virtual Education Series – June 2025 Event***

When: June 6, 2025 12:00 PM Eastern Time (US and Canada)
Topic: Management of metastatic ‘clear cell’ versus ‘non-clear cell’ renal cell carcinoma
Registration now open:

us02web.zoom.us/webinar/regist…
Sounak Gupta (@shounak_gupta) 's Twitter Profile Photo

Congratulations to Rumeal D. Whaley, MD for taking on the hurculean task of reviewing 100s of translocation RCCs Excited to see the follow up studies that are yet to come….. Free access for the next 50 days: kwnsfk27.r.eu-west-1.awstrack.me/L0/https:%2F%2…

Congratulations  to <a href="/RDWhaleyMD/">Rumeal D. Whaley, MD</a> for taking on the hurculean task of reviewing 100s of translocation RCCs

Excited to see the follow up studies that are yet to come…..

Free access for the next 50 days:
kwnsfk27.r.eu-west-1.awstrack.me/L0/https:%2F%2…
ROHIT MEHRA (@drmehrarohit) 's Twitter Profile Photo

Thanks to our speakers Behtash Pavlos Msaouel Katy Beckermann for a very educational and informative GU Pathology Society (GUPS) VES on management of metastatic RCC! Thanks to Dr Emily Chan & Aiman Haider for expert moderation! #kidneycancer #gupath Shivani Kandukuri, MD (she/her) #Genomics #pathology

Thanks to our speakers <a href="/behtashg/">Behtash</a> <a href="/PavlosMsaouel/">Pavlos Msaouel</a> <a href="/katy_beckermann/">Katy Beckermann</a> for a very educational and informative <a href="/GU_Path_Society/">GU Pathology Society (GUPS)</a> VES on management of metastatic RCC! Thanks to Dr Emily Chan &amp; <a href="/aimhaider/">Aiman Haider</a> for expert moderation! #kidneycancer #gupath <a href="/ShivaniKandu/">Shivani Kandukuri, MD (she/her)</a> #Genomics #pathology