Celestine Trinidad, MD (@celestrinmd) 's Twitter Profile
Celestine Trinidad, MD

@celestrinmd

Pathologist from the Philippines, with a special interest in Bone and Soft Tissue, Breast Pathology, and Dermatopathology. Also a nerd, and proud of it!

ID: 1190278162728374273

calendar_today01-11-2019 14:43:51

2,2K Tweet

1,1K Followers

551 Following

Brendan Dickson, MD (@b_c_dickson) 's Twitter Profile Photo

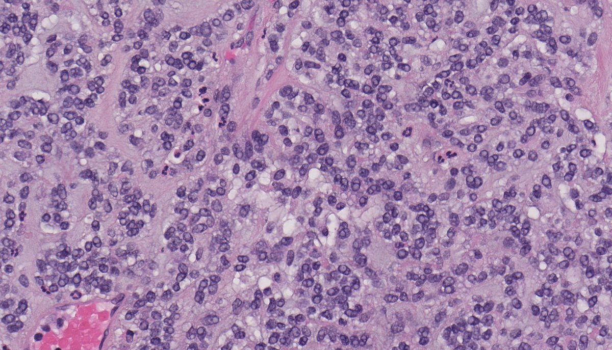
EWSR1-NFATC2—associated sarcoma. NB: a very rare neoplasm, predominating in bone; anatomizing cords-to-sheets of small-to-medium cells; abundant myxohyaline stroma; RNA-seq useful in differentiating from potential mimics (Ewing sarcoma, myoepithelial tumour, &c).

EWSR1-NFATC2—associated sarcoma. NB: a very rare neoplasm, predominating in bone; anatomizing cords-to-sheets of small-to-medium cells; abundant myxohyaline stroma; RNA-seq useful in differentiating from potential mimics (Ewing sarcoma, myoepithelial tumour, &c).
Pablo José Erráez-Jaramillo (@pablojoseej) 's Twitter Profile Photo

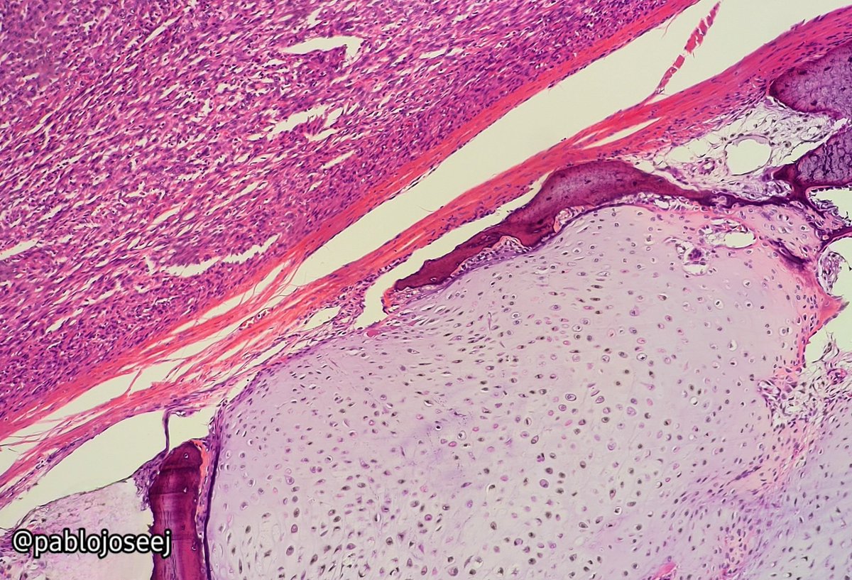
🦴Dedifferentiated chondrosarcoma.🦴 Left: high grade noncartilaginous sarcoma / Right: conventional chondrosarcoma. #Pathology #AnatomiaPatologica #Pathologyst #BSTpath #PathTwitter

🦴Dedifferentiated chondrosarcoma.🦴

Left: high grade noncartilaginous sarcoma / Right: conventional chondrosarcoma.

#Pathology #AnatomiaPatologica #Pathologyst 
#BSTpath 
#PathTwitter
Jay Hwang (@path4people) 's Twitter Profile Photo

Who knew blueberries could teach us about healthy cells? 🫐😲. Today’s #IntroToPath, I use 'em to explain metaplasia (🖤 blackberries), hyperplasia, and hypertrophy 💪🏽. It's like a berry-licious journey through the world of pathology! 🌎#Path4People #BerriesForEducation 🍓🍒🔬

Who knew blueberries could teach us about healthy cells? 🫐😲. Today’s #IntroToPath, I use 'em to explain metaplasia (🖤 blackberries), hyperplasia, and hypertrophy 💪🏽. It's like a berry-licious journey through the world of pathology! 🌎#Path4People #BerriesForEducation 🍓🍒🔬
Brett Baskovich, MD (@drdoubleb) 's Twitter Profile Photo

Sonic Hedgehog (SHH) signaling pathway... SHH binds PTCH1, leading to release of SMO (Smoothened), altering transcription and cell growth. Mutations in the pathway are involved in birth defects, basal cell carcinoma, Gorlin Syndrome, medulloblastoma, & other tumors.

Syed Z. Ali (@sza_jhcyto) 's Twitter Profile Photo

"The wait is finally over". TBSRTC 2023 (3rd Ed) is now available for download as an e-book. The print version will be out soon. A big thanks to the four associate editors and all the chapter authors for their dedication and commitment to this most important work. Syed and Paul

"The wait is finally over". TBSRTC 2023 (3rd Ed) is now available for download as an e-book. The print version will be out soon. A big thanks to the four associate editors and all the chapter authors for their dedication and commitment to this most important work. 
Syed and Paul
C. Christofer Juhlin (@drjuhlin) 's Twitter Profile Photo

As much as I love first-generation neuroendocrine markers, one must be aware of pitfalls when assessing lesions with focal/diffuse synaptophysin immunoreactivity. Several non-neuroendocrine tumors may express this marker, so confirmation with additional stains = YES. An example:

Tristan Rutland MBBS FRCPA IFCAP (@tristanrutland7) 's Twitter Profile Photo

⚕️Femur, adult male #BSTpath #Endopath #GUpath #Pathtwitter #Pathresident ➡️Ill be posting less in the next few months for family reasons.

⚕️Femur, adult male

#BSTpath #Endopath #GUpath #Pathtwitter #Pathresident

➡️Ill be posting less in the next few months for family reasons.
Dimitris Goutas MD, PhD (@goutasdimitris) 's Twitter Profile Photo

Spitz series 4/5 from the consult files of Arnaud de la Fouchardiere MD, PhD Multinucleated melanocytes, with moderate atypia, arranged in a sheet-like growth pattern in this MAP3K8-fused Spitz tumor #dermpath #dermatology

Spitz series 4/5 from the consult files of <a href="/melanopath/">Arnaud de la Fouchardiere MD, PhD</a> 
Multinucleated melanocytes, with moderate atypia, arranged in a sheet-like growth pattern in this MAP3K8-fused Spitz tumor #dermpath #dermatology
Celestine Trinidad, MD (@celestrinmd) 's Twitter Profile Photo

Hello, PathTwitter! I have not been posting going here recently because of new work responsibilities last year, but this year one of the goals is to get back to doing things I actually like doing, such as learning from everyone here. Hope we have a good year ahead! 😊

Celestine Trinidad, MD (@celestrinmd) 's Twitter Profile Photo

Hello, first post in quite a while! Anyone also attending the 1st international congress of the Korean Society of Pathologists? 😊 I am quite shy in person ahaha but would try my best to say hi if some of you are also here!

Celestine Trinidad, MD (@celestrinmd) 's Twitter Profile Photo

Hello everyone! To pathologists here, what is the best whole slide image viewer (like Aperio ImageScope) for Mac? It seems we can only install ImageScope on Windows, and we are looking for an equivalent. Thank you! 😊