jean marc chauny (@chaunyjm) 's Twitter Profile
jean marc chauny

@chaunyjm

ID: 542310778

calendar_today01-04-2012 06:47:02

821 Tweet

154 Followers

224 Following

CanVECTOR Network (@canvector) 's Twitter Profile Photo

Let's #DiscussCLOTPlus: American College of Gastroenterology-Canadian Association of Gastroenterology Clinical Practice Guideline: Management of Anticoagulants and Antiplatelets During Acute Gastrointestinal Bleeding and the Periendoscopic Period buff.ly/3u5XmxV

Let's #DiscussCLOTPlus: American College of Gastroenterology-Canadian Association of Gastroenterology Clinical Practice Guideline: Management of Anticoagulants and Antiplatelets During Acute Gastrointestinal Bleeding and the Periendoscopic Period

buff.ly/3u5XmxV
Divya Gunda (@learnneurorad) 's Twitter Profile Photo

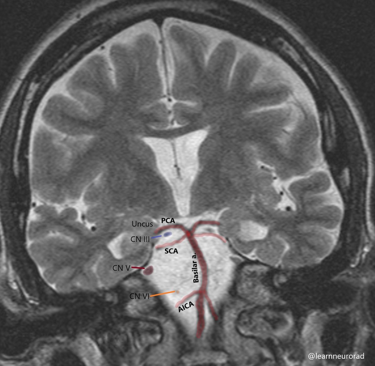
Cranial nerve anatomy to help understand why uncal herniation and Pcomm aneurysms result in a fixed and dilated pupil. CN III and IV run b/w the PCA & SCA. CN V and VI run in the prepontine cistern, lateral to the basilar artery. #Neurorad #radres #Neurotwitter #MedEd #MedTwitter

Cranial nerve anatomy to help understand why uncal herniation and Pcomm aneurysms result in a fixed and dilated pupil. CN III and IV run b/w the PCA & SCA. CN V and VI run in the prepontine cistern, lateral to the basilar artery. #Neurorad #radres #Neurotwitter #MedEd #MedTwitter
Justin Morgenstern (@first10em) 's Twitter Profile Photo

Multiple emergency departments in Toronto are on the verge of collapse tonight. There are no nurses. They are begging people with no nursing training to act as nurses. Care will be compromised. But they won't declare an official emergency (presumably to save face?)

Doc Vadeboncoeur (@vadeboncoeur_al) 's Twitter Profile Photo

Certaines personnes semblent avoir perdu confiance dans à peu près dans tout ce que fait ou dit la santé publique, ce qui personnellement m'apparait assez étrange. Je suis loin d'être convaincu que c'est une juste perception des choses ni que c'est très utile de penser ainsi.

PhilWellsMD (@philwellsmd1) 's Twitter Profile Photo

Finally published our article on bleeding risk with extended anticoagulation for VTE. Several rules work well and our new CHAP Score is easy. Importantly most fatal bleeds occur in those also high risk for a major bleed. can01.safelinks.protection.outlook.com/?url=https%3A%… ars.els-cdn.com/content/image/…

Judy Morris (@mhjudymorris) 's Twitter Profile Photo

Dr Atkinson dit: "Le bateau de sauvetage (l'urgence) est plein...difficile alors de soigner ceux à l'eau (certains avec urgences vitales)...c'est inacceptable." Des situations décrites dans l'article, il y en a au Qc aussi.AMUQ

Thrombosis Canada (@thrombosiscan) 's Twitter Profile Photo

September is a busy month for Thrombosis Canada! Join us for our free, live webinar on Wednesday, September 7, 2022 from 7:00 PM to 8:00 PM EDT. Register for the event : thrombosiscanada.ca/prevent_the_ev…

September is a busy month for Thrombosis Canada! 
Join us for our free, live webinar on Wednesday, September 7, 2022 from 7:00 PM to 8:00 PM EDT.
Register for the event : thrombosiscanada.ca/prevent_the_ev…
Thrombosis Canada (@thrombosiscan) 's Twitter Profile Photo

Consider registering to attend our education webinar, Prevent the Event next Wednesday at 7:00PM. Visit thrombosiscanada.ca/prevent_the_ev… for more information and to register today.

Consider registering to attend our education webinar, Prevent the Event next Wednesday at 7:00PM. Visit thrombosiscanada.ca/prevent_the_ev… for more information and to register today.
Josephine Darke-Mo (@josephinejymo) 's Twitter Profile Photo

For Everyone who is interested in EM research - have a look at Royal College of Emergency Medicine top 10 research priorities! Very glad to see number 1 up there which is a particularly interest of mine 😊

For Everyone who is interested in EM research - have a look at <a href="/RCollEM/">Royal College of Emergency Medicine</a> top 10 research priorities! Very glad to see number 1 up there which is a particularly interest of mine 😊
Eric Topol (@erictopol) 's Twitter Profile Photo

On a related front, the largest randomized trial of daily rapid antigen tests (~55,000 participants) for guiding length of isolation after exposure (vs 10 days) showed reduced attack rates (spread) 6.3 vs 7.5%, respectively thelancet.com/journals/lanre… Isabel Oliver UK Health Security Agency

On a related front, the largest randomized trial of daily rapid antigen tests (~55,000 participants) for guiding length of isolation after exposure (vs 10 days) showed reduced attack rates (spread) 6.3 vs 7.5%, respectively
thelancet.com/journals/lanre… <a href="/isaperena/">Isabel Oliver</a> <a href="/UKHSA/">UK Health Security Agency</a>
Thrombosis Canada (@thrombosiscan) 's Twitter Profile Photo

World Thrombosis Day started off early in Calgary with the lighting of the Calgary Tower in recognition of #WTDay22. We're looking forward to the pictures from across the country in the next few days. Stay tuned! Thanks to Eddy Lang for capturing this for us! #KnowThrombosis

World Thrombosis Day started off early in Calgary with the lighting of the Calgary Tower in recognition of #WTDay22. We're looking forward to the pictures from across the country in the next few days. Stay tuned! Thanks to <a href="/EddyLang1/">Eddy Lang</a> for capturing this for us! #KnowThrombosis
SamirS_H (@samirs_h) 's Twitter Profile Photo

Dre Guylaine Larose 🩺 Nathalie Gaucher Radio-Canada Info Très inquiétant J'ai travaillé un quart à l'urgence pédiatrique hier soir: des dizaines d'enfants hospitaliséEs, une centaine d'enfants dans la salle d'attente pour des heures... Le personnel fait de son mieux, mais notre système mal-adapté met la vie des enfants en danger 😥

Kerstin de Wit (@kerstindewit) 's Twitter Profile Photo

Calling all mid-career emergency medicine researchers. Application for the 2023 CIHR-ICRH/CAEP Mid-Career Lecturer Award in Emergency Medicine is open until December 4th. cihr-irsc.gc.ca/e/53211.html CAEP @NCER_CDA

Dre Guylaine Larose 🩺 (@glarosemd) 's Twitter Profile Photo

Une crise majeure! Et toujours le silence du côté de la santé publique et du gouvernement😞 journaldequebec.com/2022/12/01/les…