Saadiya Nazli, MD, BSc, QIA(ASCP) (@docsaadiya) 's Twitter Profile
Saadiya Nazli, MD, BSc, QIA(ASCP)

@docsaadiya

PGY-2 AP/CP, Former Cell Therapy Fellow @MayoClinic
Transfusion Medicine, Therapeutic Apheresis & Cellular Therapies. Former Apheresis Physician @KSUMedicalCity

ID: 1281939169

calendar_today20-03-2013 00:53:09

874 Tweet

582 Followers

623 Following

Mayo Clinic Pathology (@mayoclinicpath) 's Twitter Profile Photo

Congratulations Dr. Burak Tekin for receiving ISUP stipend award🏆 and amazing poster sessions. Dr. Tekin is our outstanding🏅GU fellow and incoming faculty at Mayo Clinic Burak Tekin Sounak Gupta Rumeal D. Whaley, MD Ryan Kendziora #USCAP #Boston

Congratulations Dr. Burak Tekin for receiving ISUP stipend award🏆 and amazing poster sessions.
Dr. Tekin is our outstanding🏅GU fellow and incoming faculty at Mayo Clinic <a href="/buraktekinmd/">Burak Tekin</a> <a href="/Shounak_Gupta/">Sounak Gupta</a> <a href="/RDWhaleyMD/">Rumeal D. Whaley, MD</a> <a href="/RyanKendzioraMD/">Ryan Kendziora</a> 
#USCAP #Boston
ASCP (@ascp_chicago) 's Twitter Profile Photo

Calling all poster abstracts! Submit your latest work for a chance to present in front of a prestigious crowd at #ASCP2025 in Atlanta. Win fame and big prizes! To learn more and submit your work, visit bit.ly/3G6ZJZU

Calling all poster abstracts! Submit your latest work for a chance to present in front of a prestigious crowd at #ASCP2025 in Atlanta. Win fame and big prizes!  To learn more and submit your work, visit bit.ly/3G6ZJZU
Diana V. Vera-Garcia MD (@drdianavera) 's Twitter Profile Photo

Very thrilled of today's Mayo Research Fellows’ Association (MRFA) poster presentation. It is great to witness all of the great projects happening at Mayo Clinic! It was exciting to share the advances of our current study!🐀🔬 Special thanks to my amazing team for their guidance!

Very thrilled of today's <a href="/MayoMrfa/">Mayo Research Fellows’ Association (MRFA)</a> poster presentation. It is great to witness all of the great projects happening at <a href="/MayoClinic/">Mayo Clinic</a>!

It was exciting to share the advances of our current study!🐀🔬

Special thanks to my amazing team for their guidance!
Elizabeth Montgomery, MD (@lizmontgomerymd) 's Twitter Profile Photo

Metastatic renal cell carcinoma is really a sneaky thing. This example produced a duodenal submucosal lesion - at first glance it resembles Brunner glands. #UMiamiPath Modern Pathology Innovative Science Press

Metastatic renal cell carcinoma is really a sneaky thing.  This example produced a duodenal submucosal lesion - at first glance it resembles Brunner glands. #UMiamiPath <a href="/ModernPathology/">Modern Pathology</a> <a href="/science_press/">Innovative Science Press</a>
Saadiya Nazli, MD, BSc, QIA(ASCP) (@docsaadiya) 's Twitter Profile Photo

5 fellows of the Mayo Clinic Cell therapy fellowship program numbered and lined up at ISCT with program director Dr. Eapen Jacob! Proud to be Alumni of the program college.mayo.edu/academics/resi… Dr. Ashley Krull, Ph.D. ISCT Shannon Strader, DO, MS #ISCT2025 #NewOrleans

5 fellows of the Mayo Clinic Cell therapy fellowship program numbered and lined up at ISCT with program director Dr. Eapen Jacob!
Proud to be Alumni of the program
college.mayo.edu/academics/resi…
<a href="/AshleyAKrull/">Dr. Ashley Krull, Ph.D.</a> <a href="/ISCTglobal/">ISCT</a> <a href="/ShanStraderDO/">Shannon Strader, DO, MS</a> 
#ISCT2025 #NewOrleans
Shannon Strader, DO, MS (@shanstraderdo) 's Twitter Profile Photo

Attending ISCT with the best Mayo Clinic team was absolutely incredible. The highlight was spending time with the pioneer of CAR-T therapy, Dr. Bruce Levine, who is an inspiration to many! Can’t wait for Dublin! 🧬🦾🔬

Attending ISCT with the best Mayo Clinic team was absolutely incredible. The highlight was spending time with the pioneer of CAR-T therapy, Dr. Bruce Levine, who is an inspiration to many! Can’t wait for Dublin! 🧬🦾🔬
Mayo Clinic Labs (@mayocliniclabs) 's Twitter Profile Photo

The use of cytology specimens for molecular analysis of solid tumors is a proven approach to aid in establishing a patient’s molecular diagnosis. Attend our free webinar on May 21 to learn more. bit.ly/44zA1rk

Behnas Malek F.Z (@malakbehnas) 's Twitter Profile Photo

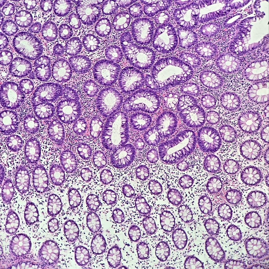
🔬Spotted: a tubular adenoma with low-grade dysplasia just chilling next to perfectly normal colonic mucosa. #beautyOfPathology #GIpath

🔬Spotted: a tubular adenoma with low-grade dysplasia just chilling next to perfectly normal colonic mucosa.

#beautyOfPathology #GIpath
Gary L. Keeney, M.D. (@garykeeneymd) 's Twitter Profile Photo

It’s a privilege to work with our trainees. We end up learning from each other. You should consider a Mayo Surgical Pathology fellowship! It sets you up for the rest of your life!

It’s a privilege to work with our trainees.  We end up learning from each other.  You should consider a Mayo Surgical Pathology fellowship!  It sets you up for the rest of your life!
Andrew Bellizzi 🇺🇦 (@ihc_guy) 's Twitter Profile Photo

I'm delighted to share that the recording of Dr. Dabbs' ISIMM Web webinar has been added to our website: isimm.org/2025/07/05/fro… I'm also sharing several #wallhangers from the webinar and a link to the preprint of the HER2 CASI Study (1/2) papers.ssrn.com/sol3/papers.cf…

I'm delighted to share that the recording of Dr. Dabbs'
<a href="/ISIMMweb/">ISIMM Web</a> webinar has been added to our website: isimm.org/2025/07/05/fro…

I'm also sharing several #wallhangers from the webinar and a link to the preprint of the HER2 CASI Study (1/2)

papers.ssrn.com/sol3/papers.cf…
Sanjay Mukhopadhyay (@smlungpathguy) 's Twitter Profile Photo

Disseminated histoplasmosis, cytology, BAL specimen, pap stain #pathology #pulmpath #pathbugs #crittersontwitter #cytopath In lung specimens, this morphology is a surrogate for disseminated disease pubmed.ncbi.nlm.nih.gov/24054723/

Disseminated histoplasmosis, cytology, BAL specimen, pap stain #pathology #pulmpath #pathbugs #crittersontwitter #cytopath 

In lung specimens, this morphology is a surrogate for disseminated disease 

pubmed.ncbi.nlm.nih.gov/24054723/
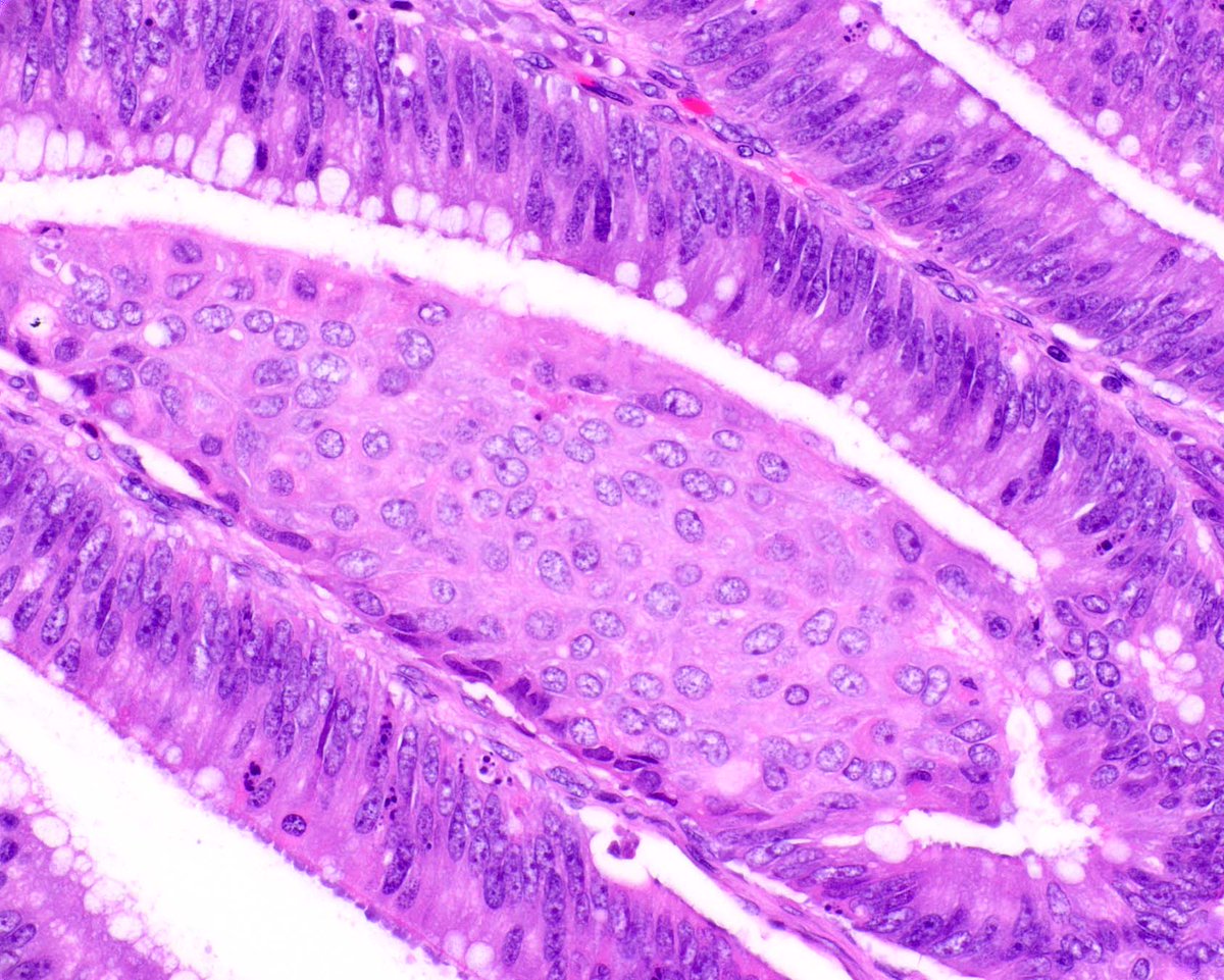
Innovative Science Press (@science_press) 's Twitter Profile Photo

This colon adenoma shows "pseudoinvasion", and squamous morules, which are generally incidental findings. Some term them "micro-carcinoids" based on patchy expression of neuroendocrine markers.

This colon adenoma shows "pseudoinvasion", and squamous morules, which are generally incidental findings.  Some term them "micro-carcinoids" based on patchy expression of neuroendocrine markers.