Dom Chan (@domkchan) 's Twitter Profile
Dom Chan

@domkchan

Dad | ID RPh | Director of Pharmacy | Mentee | Mentor
👊 bad vibes & 🦠
#IDtwitter | #TwitteRX | #PharmEd | #MedEd | #PharmRes | #Leadership
Views are my own

ID: 889244924729843712

calendar_today23-07-2017 22:04:46

2,2K Tweet

670 Followers

751 Following

fortheloveofmicrobiology (@fortheloveofmi2) 's Twitter Profile Photo

Saline wet mount of a stool sample showed the cysts and pear-shaped trophozoites of Giardia lamblia. The characteristic “falling leaf” motility of the trophozoites was observed as the organisms were propelled by their four pairs of flagella.

Dan Morgan (@dr_dmorgan) 's Twitter Profile Photo

The Limited Role for Antiviral Therapy in Influenza commentary on a SR/MA with Jon Baghdadi "When considering the evidence, we are left to wonder why reflexive treatment of influenza with oseltamivir has become so ingrained in clinical practice." jamanetwork.com/journals/jamai…

The Limited Role for Antiviral Therapy in Influenza 

commentary on a SR/MA with <a href="/JonBaghdadi/">Jon Baghdadi</a> 

"When considering the evidence, we are left to wonder why reflexive treatment of influenza with oseltamivir has become so ingrained in clinical practice." 

jamanetwork.com/journals/jamai…
Clinical Infectious Diseases (@cidjournal) 's Twitter Profile Photo

Oral Versus Intravenous Antibiotic Therapy for Staphylococcus aureus Bacteremia or Endocarditis: A Systematic Review and Meta-Analysis of Randomized, Controlled Trials bit.ly/41dOZkn

Dom Chan (@domkchan) 's Twitter Profile Photo

It's important to read/hear other perspectives. I agree w/ a lot & disagree w/ some of what is written. I appreciate the diligence in making this perspective more visible. Truly.

fortheloveofmicrobiology (@fortheloveofmi2) 's Twitter Profile Photo

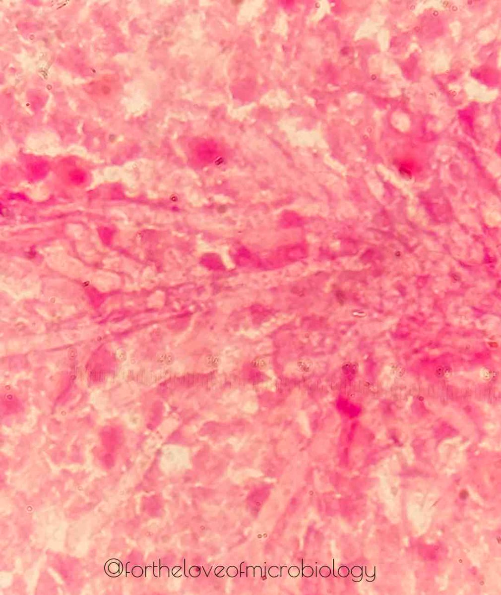
Gram stain from brain abscess shows numerous septate fungal hyphae that have not taken up stain, appearing as refractile, ghost-like filamentous structures in the background. The hyphae are long, branching, septate, with parallel walls—features suggestive of a filamentous fungus

Gram stain from brain abscess shows numerous septate fungal hyphae that have not taken up  stain, appearing as refractile, ghost-like filamentous structures in the background. The hyphae are long, branching, septate, with parallel walls—features suggestive of a filamentous fungus
Harvard Business Review (@harvardbiz) 's Twitter Profile Photo

When you go from employee to manager, the important learning has little to do with the technical aspects of the job, and a lot to do with emotional intelligence. s.hbr.org/2YztQQQ