Héctor-Enrique Torres-Rivas, MD (@duckhuca) 's Twitter Profile
Héctor-Enrique Torres-Rivas, MD

@duckhuca

Interventional Pathologist.
@HUCA_Asturias.
Associate professor @uniovi_info.
@ULA_Venezuela.
orcid.org/0000-0003-0154…

ID: 933719338279952384

calendar_today23-11-2017 15:30:12

16,16K Tweet

2,2K Followers

2,2K Following

Rafael Paschoalini (He/him) (@falarafa) 's Twitter Profile Photo

This hobnail subtype on Thyroid FNA reminds my this beautiful pink Dahlia from Monet’s garden at Giverny #pathart #cytopathology #thyroidfna #pathology #fnacytology #cytology #hobnail #thyroidcancer

This hobnail subtype on Thyroid FNA reminds my this beautiful pink Dahlia from Monet’s garden at Giverny #pathart #cytopathology #thyroidfna #pathology #fnacytology #cytology #hobnail #thyroidcancer
Miguel Ariza Prota (@miguelariza83) 's Twitter Profile Photo

🔥 That makes 9… 📢 Our 9th publication on CRYO-EBUS is out! This time, we prove that CRYO-EBUS is a game-changer for mediastinal restaging in lung cancer after neoadjuvant therapy. 💡 Innovate. Prove it. Publish. Repeat. 📰 Read the full paper 🔗 lnkd.in/dirGcvPv

🔥 That makes 9…
📢 Our 9th publication on CRYO-EBUS is out!

This time, we prove that CRYO-EBUS is a game-changer for mediastinal restaging in lung cancer after neoadjuvant therapy.

💡 Innovate. Prove it. Publish. Repeat.

📰 Read the full paper 🔗 lnkd.in/dirGcvPv
NotasDePatologia (@notas_patologia) 's Twitter Profile Photo

🔬 Müllerian Duct Anomalies: Focus on Complete Bicornuate Uterus Congenital uterine anomalies result from defects in the formation, fusion, or resorption of the Müllerian ducts during embryogenesis. These anomalies are often associated with urinary tract malformations due to the

🔬 Müllerian Duct Anomalies: Focus on Complete Bicornuate Uterus

Congenital uterine anomalies result from defects in the formation, fusion, or resorption of the Müllerian ducts during embryogenesis. These anomalies are often associated with urinary tract malformations due to the
Sanjay Mukhopadhyay (@smlungpathguy) 's Twitter Profile Photo

Disseminated histoplasmosis, cytology, BAL specimen, pap stain #pathology #pulmpath #pathbugs #crittersontwitter #cytopath In lung specimens, this morphology is a surrogate for disseminated disease pubmed.ncbi.nlm.nih.gov/24054723/

Disseminated histoplasmosis, cytology, BAL specimen, pap stain #pathology #pulmpath #pathbugs #crittersontwitter #cytopath 

In lung specimens, this morphology is a surrogate for disseminated disease 

pubmed.ncbi.nlm.nih.gov/24054723/
Jay Hwang (@path4people) 's Twitter Profile Photo

Acinar Cell Carcinoma of Pancreas can mimic NET of Pancreas 🔵 ACC can have acinar architecture; NET can have rosetting. 🔵 Both can stain w neuroendocrine markers (~30% of ACC) 🔵 ACC has prominent nucleoli and granular cytoplasm but can look somewhat stippled/salt+pepper

Acinar Cell Carcinoma of Pancreas can mimic NET of Pancreas

🔵 ACC can have acinar architecture; NET can have rosetting.
🔵 Both can stain w neuroendocrine markers (~30% of ACC)
🔵 ACC has prominent nucleoli and granular cytoplasm but can look somewhat stippled/salt+pepper
Cytopathology (@cytopathologyj) 's Twitter Profile Photo

🔉🔊 To succeed in performing #US -guided #FNA, interventional #cytopath must grasp key concepts of ultrasound physics: frequency, attenuation, focus, spatial and temporal resolution, Doppler,… #OpenAccess simple explanation here #CytoJ ⬇️ doi.org/10.1111/cyt.13…

SEAP-IAP (@seap_iap) 's Twitter Profile Photo

🌞 ¡Este verano, fórmate desde donde quieras! 🎯 Cursos CLAVES para el diagnóstico: Mini módulos de formación online, acreditados y prácticos 🧪 Casos digitalizados 📅 Siempre disponibles 👩‍🔬 Para patólogos y biólogos 🎓 Formación acreditada #VeranoSEAP 👉 campusvirtual.seaponline.es

🌞 ¡Este verano, fórmate desde donde quieras!
🎯 Cursos CLAVES para el diagnóstico:
Mini módulos de formación online, acreditados y prácticos
🧪 Casos digitalizados
📅 Siempre disponibles
👩‍🔬 Para patólogos y biólogos
🎓 Formación acreditada
#VeranoSEAP
👉 campusvirtual.seaponline.es
Héctor-Enrique Torres-Rivas, MD (@duckhuca) 's Twitter Profile Photo

🖥️ Right thyroid nodule. Isoechoic. Ill-defined. 💉 Ultrasound guided fine needle aspiration performed by Interventional Pathologist. 1️⃣ Pass. 25g, 1.5cm. 🔬 Bethesda II. Lymphocytic Thyroiditis. #Cytology #CytoPath #PathX

🖥️ Right thyroid nodule.  Isoechoic.  Ill-defined.
💉 Ultrasound guided fine needle aspiration performed by Interventional Pathologist.
1️⃣ Pass.  25g, 1.5cm.
🔬 Bethesda II.  Lymphocytic Thyroiditis.

#Cytology #CytoPath #PathX
Syed Z. Ali (@sza_jhcyto) 's Twitter Profile Photo

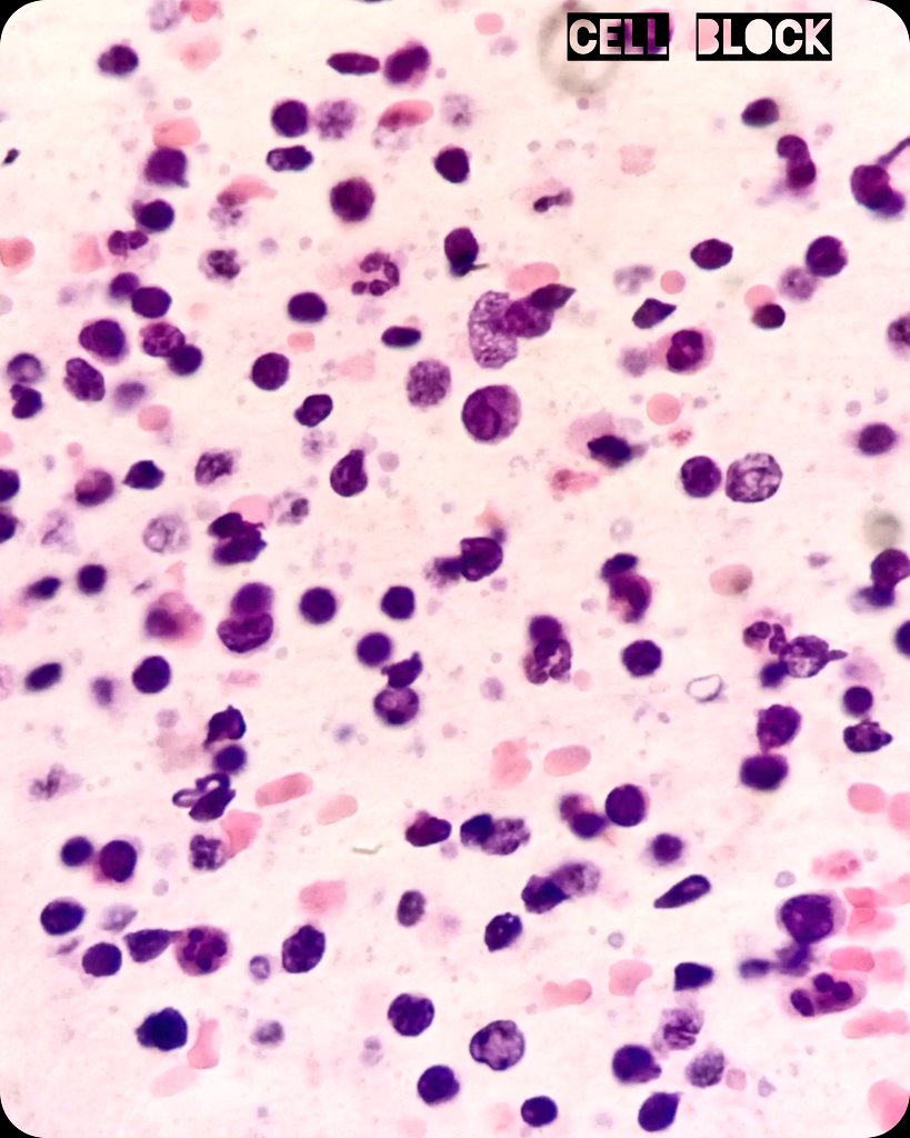
NOT a lymph node FNA, this spectacular cell block is from a pleural effusion of a patient with known history of pulmonary tuberculosis. I've rarely if ever seen that many "necrotizing granulomas" in an effusion sample, some with the classic Langhans giant cells.

NOT a lymph node FNA, this spectacular cell block is from a pleural effusion of a patient with known history of pulmonary tuberculosis. I've rarely if ever seen that many "necrotizing granulomas" in an effusion sample, some with the classic Langhans giant cells.
Héctor-Enrique Torres-Rivas, MD (@duckhuca) 's Twitter Profile Photo

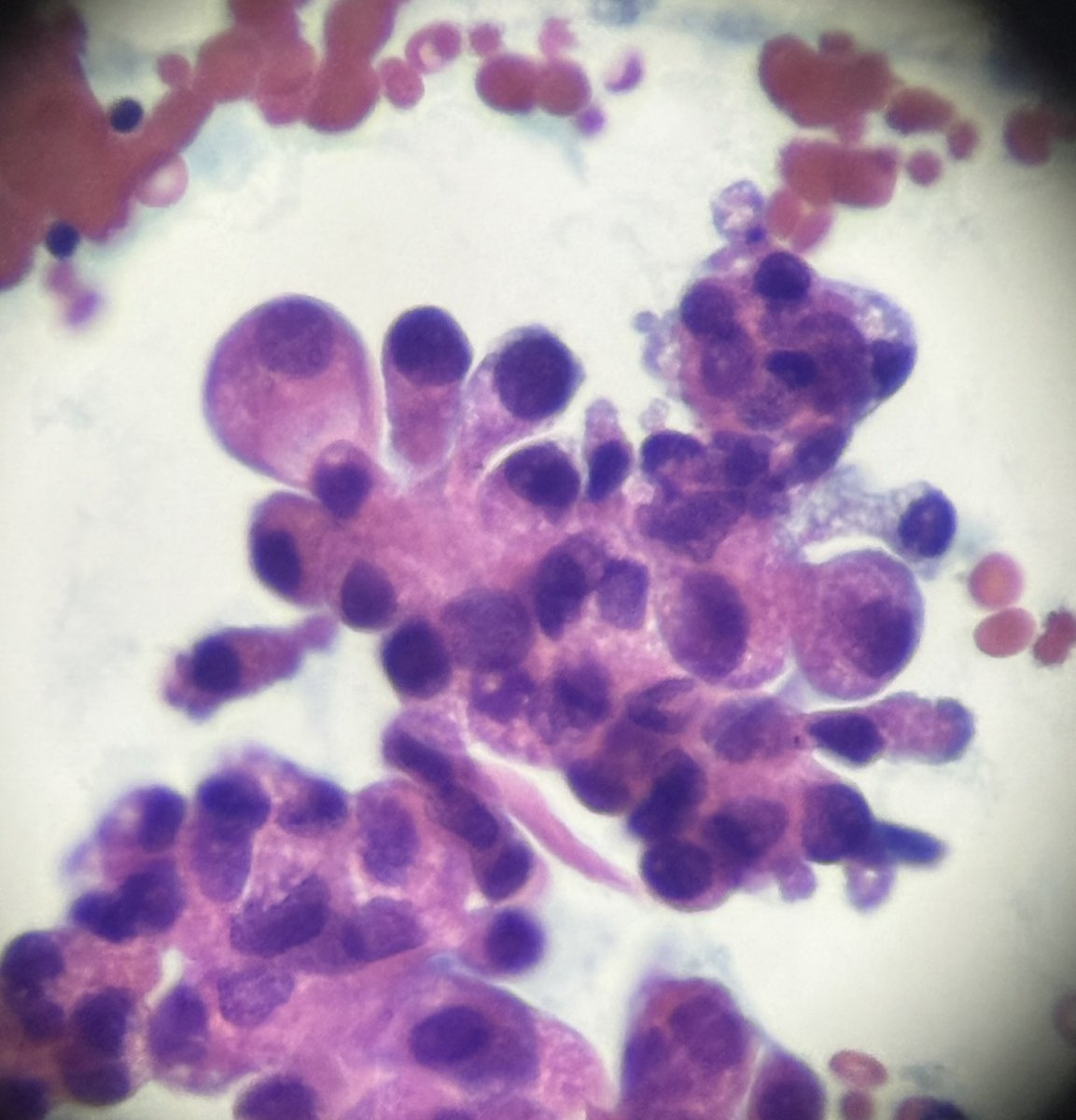
🦀 Medical record: B Cell lymphoma. 🖥️ Right genian lesion. Irregular borders. Hypo / anechoic. 💉 Ultrasound guided fine needle aspiration performed by Interventional Pathologist. 2️⃣ Passes. 25g. 2.5cm. 🔬 Lymphoma relapse. Flow cytometry ➕. #Cytology #CytoPath #PathX

🦀 Medical record: B Cell lymphoma.
🖥️ Right genian lesion.  Irregular borders. Hypo / anechoic.
💉 Ultrasound guided fine needle aspiration performed by Interventional Pathologist.
2️⃣ Passes.  25g. 2.5cm.
🔬 Lymphoma relapse.  Flow cytometry ➕.

#Cytology #CytoPath #PathX
Héctor-Enrique Torres-Rivas, MD (@duckhuca) 's Twitter Profile Photo

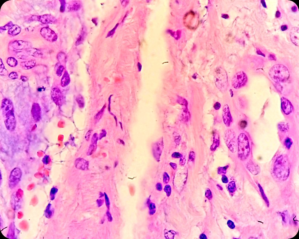
🫁 Lung Adenocarcinoma. 🔬 Real Arterial Invasion (tumor endothelialization) ➕ Perineural Invasion. #LungCancer #LungPath #PulmPath #PathX

🫁 Lung Adenocarcinoma.
🔬 Real Arterial Invasion (tumor endothelialization) ➕ Perineural Invasion.

#LungCancer #LungPath #PulmPath #PathX