Frederico Bastos Gonçalves (@frederico_bg) 's Twitter Profile
Frederico Bastos Gonçalves

@frederico_bg

ID: 299092525

calendar_today15-05-2011 14:02:05

285 Tweet

222 Followers

137 Following

ESVS (@esvsmembership) 's Twitter Profile Photo

🪡It's time to practise suturing vascular #anastomosis! With our online hands-on anastomosis workshop: - basic principles - drawbacks & tips to improve end-to-side/end-to-end techniques - practise on an Anastomosis Trainer Kit ✒️ Sign-ups closing soon! esvs.org/event/pad-path…

Frederico Bastos Gonçalves (@frederico_bg) 's Twitter Profile Photo

What is your take on late complications and surveillance after EVAR? Thanks to the ESVS for the opportunity to share my views in such great company!

Frederico Bastos Gonçalves (@frederico_bg) 's Twitter Profile Photo

Management of type B aortic dissection: Assessing paradigm shifts and the impact of endovascular technology revportcardiol.org//pt-management… comment on: dx.doi.org/10.1016/j.repc… Interesting findings - is there still a role for open surgery in acute type B?

Frederico Bastos Gonçalves (@frederico_bg) 's Twitter Profile Photo

Disappointing results for REBOA. Although warranting a reflection from vascular surgeons, ⚠️we should not directly extrapolate to rAAA management⚠️especially intra-operative use for both open and EVAR, in unstable patients - different context, and probably different outcomes.

Arindam Chaudhuri (@vascularis) 's Twitter Profile Photo

Great to see this - the continued strong position of EJVES and the rise of #EJVESforum - all made possible by the #EJVESauthors excellent submissions and robust screening/editing #EJVESeditors #EJVESreviewers!!

ACV Journal (@acv_journal) 's Twitter Profile Photo

What do you think about the "Octopus Technique"? When and how do you use it? Check it out at acvjournal.com/index.php/acv/… State your opinion and personal experience below! @SPACV EJVES European Vascular Surgeons in Training (EVST) ESVS Society for Vascular Surgery

What do you think about the "Octopus Technique"? When and how do you use it?  Check it out at acvjournal.com/index.php/acv/…
State your opinion and personal experience below!
@SPACV
<a href="/EJVES_ESVS/">EJVES</a> 
<a href="/EVST_ESVS/">European Vascular Surgeons in Training (EVST)</a> 
<a href="/ESVSmembership/">ESVS</a>  
<a href="/VascularSVS/">Society for Vascular Surgery</a>
ACV Journal (@acv_journal) 's Twitter Profile Photo

Did the CORAL trial impact your clinical practice? State your opinion below ! #CORALtrial #Renalstenosis #Renalstenting #Renalangioplasty #Vascularsurgery #SPACV @SPACV_ EJVES European Vascular Surgeons in Training (EVST) Vascular SVS Check Duarte A. et al article here acvjournal.com/index.php/acv/…

Did the CORAL trial impact your clinical practice? State your opinion below !
#CORALtrial #Renalstenosis #Renalstenting #Renalangioplasty #Vascularsurgery #SPACV
@SPACV_ <a href="/EJVES_ESVS/">EJVES</a> <a href="/EVST_ESVS/">European Vascular Surgeons in Training (EVST)</a> <a href="/VascularSVS/">Vascular SVS</a> 

Check Duarte A. et al article here
acvjournal.com/index.php/acv/…
ACV Journal (@acv_journal) 's Twitter Profile Photo

Have you seriously thought about giving up your residency program? 1/3 of Portuguese Vascular Residents answered YES Read more here: acvjournal.com/index.php/acv/… #vascularsurgery #residency #surgicalexperience #burnout #SPACV Ryan Gouveia e Melo Frederico Bastos Gonçalves

Have you seriously thought about giving up your residency program?
1/3 of Portuguese Vascular Residents answered YES Read more here: acvjournal.com/index.php/acv/…
#vascularsurgery #residency #surgicalexperience #burnout #SPACV
<a href="/gouveia_melo/">Ryan Gouveia e Melo</a>
<a href="/frederico_bg/">Frederico Bastos Gonçalves</a>
Arindam Chaudhuri (@vascularis) 's Twitter Profile Photo

Fresh from EJVES #EJVESforum - are you using #heparin when managing ruptured #aneurysm "Impact of Intra-Operative Heparin ~ in a Matched Cohort of Patients with a Ruptured Abdominal Aortic Aneurysm" - I do! #aortaed Frederico Bastos Gonçalves doi.org/10.1016/j.ejvs…

EJVES (@ejves_esvs) 's Twitter Profile Photo

Don't miss this month's #EJVESECs 🧵!! 1 - The UK COMPlex AneurySm Study (UK- COMPASS) 2 - Radiation dose reduction during contralateral limb cannulation using Fiber Optic RealShape technology in EVAR 3 - Survival, limb salvage and management of patients with lower limb acute

Don't miss this month's #EJVESECs 🧵!!

1 - The UK COMPlex AneurySm Study (UK- COMPASS)

2 - Radiation dose reduction during contralateral limb cannulation using Fiber Optic RealShape technology in EVAR

3 - Survival, limb salvage and management of patients with lower limb acute
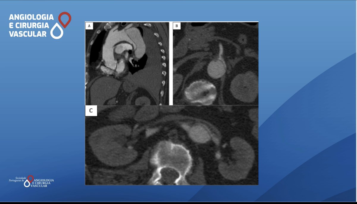
ACV Journal (@acv_journal) 's Twitter Profile Photo

70-year-old, female went to ED with acute abdominal pain, diarrhea and hematemesis. she was haemodinamic unstable and upper endoscopy was negative. CTA is below. After volume resuscitation and blood pressure control, persisted abdominal pain and hematochezias. What would you do?

70-year-old, female went to ED  with acute abdominal pain, diarrhea and hematemesis. she was haemodinamic unstable and upper endoscopy was negative. CTA is below. After volume resuscitation and blood pressure control, persisted abdominal pain and hematochezias. What would you do?