Jordan Hendrickson (@jfhendrickson) 's Twitter Profile
Jordan Hendrickson

@jfhendrickson

ID: 1013743567871848449

calendar_today02-07-2018 11:17:55

52 Tweet

80 Followers

153 Following

Jordan Hendrickson (@jfhendrickson) 's Twitter Profile Photo

Dilemma: start someone on low-dose GDMT for new diagnosed HFrEF or hold off as they came in for acute GIB and are leaving the hospital without completing the work-up for source of bleeding (against our recs)

Jordan Hendrickson (@jfhendrickson) 's Twitter Profile Photo

Watching Bedlam in a pandemic is a bit different than past years. My normal anxiety over a [hopeful] Sooner victory has been replaced by utter terror as I see 20+ thousand fans gather together as COVID-19 cases are skyrocketing in the state.

Diane Yentel (@dianeyentel) 's Twitter Profile Photo

Today Congress votes on bill with immediate & essential relief for millions of struggling renters, preventing tens of millions from losing their homes next month. The bill extends the eviction moratorium through 1/31 & provides $25B in rental assistance. 1/

André Martin Mansoor (@andremansoor) 's Twitter Profile Photo

1/ A physical exam SMASLAR in 10 tweets. This middle-age patient was admitted several weeks ago with cardiogenic shock of unclear etiology. He is recovering well on the ward when I meet him. This is what I see:

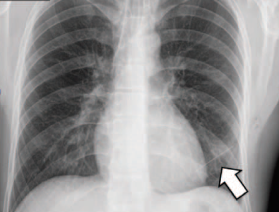
Thomas Morris (@thomasngmorris) 's Twitter Profile Photo

Here's a chest X-ray that made the radiologist gasp and reach for the phone. What could this thin grey line possibly be? The patient was a 30 yo male, no significant medical history, who had started to experience stabbing pains in his chest a few days earlier.

Here's a chest X-ray that made the radiologist gasp and reach for the phone. What could this thin grey line possibly be? The patient was a 30 yo male, no significant medical history, who had started to experience stabbing pains in his chest a few days earlier.
Jordan Hendrickson (@jfhendrickson) 's Twitter Profile Photo

I don’t want to brag, BUT I do want people to know that today, January 8, 2021, I folded my laundry that was sitting on my bed after a busy night shift instead of pushing it to the floor leaving it only to be picked at for weeks on end. Setting a high bar for 2021, folks.

Tyler Larsen (@tylerlarsenmd) 's Twitter Profile Photo

1/ Why are hypodermic needles and IV catheters referenced by gauge numbers? And why does the needle diameter get smaller as the gauge number increases? Let's explore the obscure history of IV sizing in the following #histmed #tweetorial.

1/ Why are hypodermic needles and IV catheters referenced by gauge numbers?

And why does the needle diameter get smaller as the gauge number increases?

Let's explore the obscure history of IV sizing in the following #histmed #tweetorial.
Adam Cifu (@adamcifu) 's Twitter Profile Photo

1/9 Started our yearly Critical Appraisal of the Landmark Literature course with the 4th years today (on Zoom, 😬). Seems like a good time for a quick tweetorial on reading RCTs. These are the studies we rely on most in medicine but they can be misleading. What would you add?

Jordan Hendrickson (@jfhendrickson) 's Twitter Profile Photo

The biggest irony of home ownership in residency: purposefully buying a house with a garage so I would never have to scrape my car windows in the morning BUT on the two snowiest days of residency I am on night float at the VA without covered parking.

F. Perry Wilson, MD MSCE (@fperrywilson) 's Twitter Profile Photo

Folks, we need to talk about this Vitamin D trial. I have no stake in this game - take Vitamin D if you want but this pre-print is super sus. (THREAD) papers.ssrn.com/sol3/papers.cf…

Thiago (@endodialogues) 's Twitter Profile Photo

❗️SGLT2i were described a long time ago. ✅They are now popular drugs to treat type 2 diabetes, heart failure, and chronic kidney disease. Want to know more? Time for a 🧵 1/20