Katrina Collins, MD || Pathologist (@katcollmd) 's Twitter Profile
Katrina Collins, MD || Pathologist

@katcollmd

@HHPathology @MDAndersonNews @IndianaPath #slidearchiveseries #macrovsmicro #madebyme

ID: 1712449747506601984

linkhttp://scholar.google.com/citations?user=UctzBM8AAAAJ&hl=en calendar_today12-10-2023 12:47:02

3,3K Tweet

920 Followers

204 Following

Mayo Clinic Labs (@mayocliniclabs) 's Twitter Profile Photo

Looking for focused testing options for patients with #gynecological malignancies? Our next-generation sequencing panels offer a cost-effective option to inform prognosis and individualized treatment. Learn more. bit.ly/3wf1sHA

Ahmed Montasser (@amontassermd) 's Twitter Profile Photo

Even in endemic areas, you don’t see this everyday 😨 Urinary bladder mass, 25 ys 🤦🏽‍♂️ #GUpath #Pathology #CritterOnTwitter #PathX 🪱

Even in endemic areas, you don’t see this everyday 😨

Urinary bladder mass, 25 ys 🤦🏽‍♂️

#GUpath #Pathology #CritterOnTwitter #PathX 🪱
Jason L. Hornick, M.D., Ph.D. (@jlhornick) 's Twitter Profile Photo

Very pleased to share an online piece brought to you by the CAP Personalized Health Care Committee. By Dr. Maria Del Carmen Rodriguez Pena and yours truly. IHC in soft tissue tumor pathology! cap.org/member-resourc… #PathTwitter #molpath #surgpath #BSTpath CAPathologists

Appl Immunohistochem Mol Morphol Journal (@aimmjournal) 's Twitter Profile Photo

Immune Checkpoint Molecule Expression, 9p24.1 Gene Alterations, and Tumor Microenvironment of Primary Central Nervous System Lymphomas and Their Clinical Relevance journals.lww.com/appliedimmunoh…

Springer Pathology (@springerpath) 's Twitter Profile Photo

Research indicates that Nectin-4 is expressed in 84% of upper tract and 83% of bladder urothelial carcinoma cases. Its expression patterns correlate with tumor grade and stage, suggesting potential implications for patient management strategies. bit.ly/4l577V9 #VIAR

Springer Pathology (@springerpath) 's Twitter Profile Photo

Virchows Archiv reports on a study using deep learning to analyze microscopic images of central giant cell granuloma (CGCG). The aim was to predict biological behavior based on features like cortical expansion and tooth displacement. bit.ly/4klw1ih

Springer Pathology (@springerpath) 's Twitter Profile Photo

A prospective study evaluated immunohistochemical testing of CLDN18.2 in gastric cancer tissues across Germany, Austria, and Switzerland. The overall accuracy of the tests reached 91%, highlighting the importance of staining quality in results. bit.ly/46oIgHj

Ankur Sangoi (@slusagar) 's Twitter Profile Photo

TURP for BPH, with focal (subtle!) incidental Gleason grade 3+3 Although not specific for prostate cancer, to quote my #GUpath mentor & friend Jesse McKenney: "respect the crystalloid"

TURP for BPH, with focal (subtle!) incidental Gleason grade 3+3 

Although not specific for prostate cancer, to quote my #GUpath mentor & friend Jesse McKenney:

"respect the crystalloid"
DavidSusterMD (@mdsuster) 's Twitter Profile Photo

Polypoid Kaposi Sarcoma Involving the Lower Gastrointestinal Tract: Clinicopathologic Study of 15 Cases pubmed.ncbi.nlm.nih.gov/39246073/ #surgpath #pathtwitter #bstpath

Polypoid Kaposi Sarcoma Involving the Lower Gastrointestinal Tract: Clinicopathologic Study of 15 Cases

pubmed.ncbi.nlm.nih.gov/39246073/

#surgpath #pathtwitter #bstpath
Sanjay Mukhopadhyay (@smlungpathguy) 's Twitter Profile Photo

Smoking and the lung: Landmark papers (1929–2023) : Journal of Diagnostic and Academic Pathology journals.lww.com/jdap/fulltext/…

Appl Immunohistochem Mol Morphol Journal (@aimmjournal) 's Twitter Profile Photo

Check out our Current Issue!! Figure from "Telomerase Immunocytochemistry in Lymphocytes From Chronic Lymphocytic Leukemia” by Sučić, et al. 🔗 Read the full article here: journals.lww.com/appliedimmunoh…

Check out our Current Issue!!  

Figure from "Telomerase Immunocytochemistry in Lymphocytes From Chronic Lymphocytic Leukemia” by Sučić, et al. 

🔗 Read the full article here: journals.lww.com/appliedimmunoh…
Ankur Sangoi (@slusagar) 's Twitter Profile Photo

#GUpath TURBT: this non-invasive pap uro ca is predominantly low grade with subset high grade ▪️WHO states that 5% cutoff can be used to label as outright high grade ▪️in my practice when tumor approaching this cutoff, I tend to say "mixed low/high grade" and given %s

#GUpath TURBT:

this non-invasive pap uro ca is predominantly low grade with subset high grade
▪️WHO states that 5% cutoff can be used to label as outright high grade
▪️in my practice when tumor approaching this cutoff, I tend to say "mixed low/high grade" and given %s
Liang Cheng, MD (@liangchengmd) 's Twitter Profile Photo

Happy to share that our paper was just accepted by Endocrine Pathology Endocrine Pathology — the best Independence Day gift!  Also, huge congratulations to Prof. Ozgur Mete for his extraordinary leadership. Under his guidance, the journal has reached a record-high impact factor of 14.7 -

Happy to share that our paper was just accepted by Endocrine Pathology <a href="/EndoPath/">Endocrine Pathology</a> — the best Independence Day gift! 

Also, huge congratulations to Prof. Ozgur Mete for his extraordinary leadership. Under his guidance, the journal has reached a record-high impact factor of 14.7 -
Katrina Collins, MD || Pathologist (@katcollmd) 's Twitter Profile Photo

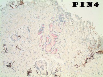
#openaccess 50 days free access to the article, click on this link before August 23, 2025!! #gupath #digipath 🔗 authors.elsevier.com/c/1lNZJ3CaTZbc…

SEPNA (@sepna_egypt) 's Twitter Profile Photo

Please join us on July 12th,12pm EST,7pm Cairo time, for our lecture “Gleason Grading System from the 70’s to ISUP & GUPS” Presented by: Dr. Ahmed Shabaik, Professor of Pathology at UCSD. Join Zoom Meeting us02web.zoom.us/j/3865657768?p… Meeting ID: 386 565 7768 Passcode: 883804

Andrew Bellizzi 🇺🇦 (@ihc_guy) 's Twitter Profile Photo

I'm delighted to share that the recording of Dr. Dabbs' ISIMM Web webinar has been added to our website: isimm.org/2025/07/05/fro… I'm also sharing several #wallhangers from the webinar and a link to the preprint of the HER2 CASI Study (1/2) papers.ssrn.com/sol3/papers.cf…

I'm delighted to share that the recording of Dr. Dabbs'
<a href="/ISIMMweb/">ISIMM Web</a> webinar has been added to our website: isimm.org/2025/07/05/fro…

I'm also sharing several #wallhangers from the webinar and a link to the preprint of the HER2 CASI Study (1/2)

papers.ssrn.com/sol3/papers.cf…